10. tbl. 107. árg. 2021
Fræðigrein
Breytingar í lungnavef á tölvusneiðmyndum sjúklinga með kórónuveirusjúkdóm 2019 (COVID-19)
Parenchymal lung changes on CT in patients with coronavirus disease 2019 (COVID-19)
Ágrip
Inngangur
Sýking af völdum kórónuveiru sem veldur kórónuveirusjúkdómi 2019 (COVID-19) getur leitt til lungnabólgu sem í sumum tilvikum er lífshættuleg eða jafnvel banvæn. Þekkt er að þeir sem fá alvarlegri sjúkdóm hafa meiri breytingar í lungnavef á tölvusneiðmyndum (TS) af brjóstholi. Tilgangur rannsóknarinnar var að lýsa myndbreytingum í lungum í bráðafasa COVID-19 og í eftirliti og um leið að meta hvort umfang lungnabreytinga á TS hefði tengsl við alvarleika sjúkdómsins, bakgrunnsþætti og fyrra heilsufar.
Efniviður og aðferðir
Rannsóknin náði til allra einstaklinga með staðfest COVID-19 sem komu í eftirlit á göngudeild og fóru í TS eftirlitsrannsókn af brjóstholi á Landspítala frá 6. maí 2020 til 24. september 2020. Upplýsingar um sjúkrasögu sjúklinga voru fengnar úr gagnagrunni Landspítala á afturskyggnan máta. Allar tölvusneiðmyndir voru endurskoðaðar og notað var við alþjóðlegt stigunarkerfi til að meta umfang lungnabreytinga.
Niðurstöður
Alls voru 85 þátttakendur í rannsókninni, meðalaldur var 59 ár og karlar í meirihluta (52%). Sextíu (71%) lögðust inn á sjúkrahús, þar af 18 (21%) á gjörgæslu. Útbreiddari lungnabreytingar sáust oftar hjá karlmönnum og sjúklingum sem voru inniliggjandi á gjörgæslu. Jafnframt voru þeir líklegri til að þurfa öndunarvélameðferð. Í eftirliti sáust marktæk tengsl færri TS-stiga við kvenkyn en marktæk tengsl fleiri TS-stiga voru við hækkandi aldur, gjörgæslulegu og lengd gjörgæslulegu. Lungnabreytingar voru horfnar hjá tæplega þriðjungi þátttakenda við eftirlit (að miðgildi 68,5 dögum eftir bráðarannsókn).
Ályktun
Einstaklingar með alvarlegan COVID-19 hafa umfangsmeiri lungnabreytingar í bráðum veikindum og við eftirlit en þeir sem fá vægari sjúkdóm. Eldri einstaklingar og karlmenn eru í aukinni áhættu.
Greinin barst blaðinu 26. apríl 2021, samþykkt til birtingar 12. september 2021.
Inngangur
Nýtt afbrigði kórónuveiru kom fram í Wuhanborg í Kína í desember 2019 sem olli smitsjúkdómi í mönnum. Veiran var nefnd severe acute respiratory syndrome coronavirus 2 (SARS-CoV-2). Sýking af völdum hennar nær meðal annars til öndunarfæra og getur leitt til lífshættulegrar og stundum banvænnar lungnabólgu.1,2 Sjúkdómurinn var nefndur kórónuveirusjúkdómur 2019 (COVID-19). Veiran smitast auðveldlega milli manna og í mars 2020 gaf Alþjóðaheilbrigðisstofnunin (WHO) út að um heimsfaraldur væri að ræða.3 Síðan þá hefur fjöldi smita og dauðsfalla af völdum sjúkdómsins farið stöðugt vaxandi.
Fljótlega eftir að fyrstu tilfellin greindust í byrjun mars 2020 var komið á fót COVID-19 göngudeild á Landspítala. Þessi deild sá um eftirlit allra greindra COVID-19 sjúklinga í bráðum fasa sjúkdómsins. Um var að ræða símaeftirlit en ef einkenni voru metin alvarleg voru einstaklingar kallaðir inn til frekari rannsókna.4 Í fyrstu bylgju faraldursins, sem stóð frá 28. febrúar 2020 til 14. júní 2020, greindust 1810 einstaklingar með COVID-19. Af þeim lögðust 118 inn á spítala og 10 létust.5
Einkenni COVID-19 eru oftast frá öndunarfærum og þegar líður á sjúkdóminn getur orðið bólga og bjúgur í lungum.6 Í sumum tilfellum leiðir þetta til bráðs andnauðarheilkennis (e. acute respiratory distress syndrome, ARDS) sem er ein meginorsök dauðsfalla í COVID-19.7 Útlit COVID-19 lungnabólgu í bráðafasa sjúkdómsins er oft dæmigert á tölvusneiðmynd (TS). TS hefur nýst sem hjálpartæki við greiningu bráðveikra sjúklinga og ef RT-PCR (e. Reverse transcription polymerase chain reaction) er falskt neikvætt8,9 en næmi TS í COVID-19 er mjög hátt.10
Meinmyndun sjúkdómsins í lungum byggir á því að SARS-CoV-2 fjölgar sér innan lungnablöðrufrumna, sem leiðir til frumuskemmda. Við það verður staðbundið bólgusvar sem leiðir til aukins gegndræpis smáæða og bjúgs í millivefjum og loftrýmum.9,11 Á TS myndar þessi bjúgur hélubreytingar (e. ground-glass opacities) í lungnavef en það eru íferðir sem afmá ekki útlínur æða eða berkja. Þetta er í snemmfasa sjúkdómsins sem er um fyrstu fjórir dagarnir frá upphafi einkenna. Þá eru stöku íferðarflákar í lungum sem oftast eru jaðarlægir og í neðri lungnablöðum.12
Áframhaldandi bólgusvar leiðir svo til bjúgs og ífarandi frumna í millibleðlaskiptum (e. interlobular septa) eða innanbleðlaskiptum (e. intralobular septa). Fæst þá mynstur í lungnavef sem kennt er við hellulögn (e. crazy paving).9 Við frekari frumuskemmdir og bólgusvar eykst umfang frumna og próteina í loftrýmum og hélubreytingar verða alþéttar íferðir (e. consolidation).2,9 Þetta gerist í ágengum fasa (e. progressive stage) og hámarksfasa sjúkdómsins (e. peak stage). Samhliða tilkomu hellulagnamynsturs og alþéttra íferða er útbreiðsla hélubreytinga að aukast og hlutfall lungnavefs sem bólgan nær til fer hækkandi. Um tveimur vikum frá upphafi einkenna hefst frásogsfasi (e. absorption stage) sem er þegar íferðirnar dofna smám saman og millivefsþéttingar hverfa. Eftir sitja hélubreytingar og bandlaga þéttingar innan við fleiðru (e. sub-pleural banding) sem minnka með tímanum.12,13
Frásogsfasinn getur þó hafist allt að tveimur vikum síðar og getur staðið yfir í margar vikur eða lengur.12,14 Bandlaga þéttingar við fleiðru sjást fyrst í hámarksfasa COVID-19. Þær benda til bandvefsmyndunar í lungum og þar með gróanda á sködduðum lungnavef.9,15 Rannsóknir hafa bent til að þær tengist mögulega verri horfum og langvinnum breytingum á lungnavef.16
Vísbendingar eru til staðar um að þeir sem fá alvarlegri sjúkdóm hafi meiri breytingar í lungnavef á TS17 en ekki er mikið vitað um lungnabreytingar í COVID-19 til lengri tíma. Tilgangur þessarar rannsóknar var að lýsa myndbreytingum í lungum í bráðafasa COVID-19 á Íslandi og þróun lungnabreytinga við eftirlit tveimur til þremur mánuðum eftir að einkenni hófust og að meta hvort umfang þeirra héldist í hendur við alvarleika sjúkdómsins og fyrra heilsufar sjúklinga. Til viðbótar var metið hvort fylgni væri milli umfangs lungnabreytinga í bráðum veikindum og í eftirliti.
Efniviður og aðferðir
Sjúklingahópur og forsendur þátttöku
Rannsóknin náði til allra einstaklinga með COVID-19 sem fóru í TS-eftirlitsrannsókn af brjóstholi á Landspítala frá 6. maí 2020 til 24. september 2020. Þetta var hluti af klínísku eftirliti á göngudeild á vegum lungnadeildar Landspítala og stóð þeim sjúklingum til boða sem sýndu merki um neðri öndunarvegasýkingu. Um er að ræða 85 einstaklinga sem allir veiktust í fyrstu bylgju faraldursins á Íslandi og markmiðið var að eftirlitið færi fram tveimur til þremur mánuðum eftir upphaf einkenna. Einstaklingum sem voru innlagðir eða komu í mat á COVID-19 göngudeild og uppfylltu eftirfarandi skilyrði var boðið að koma í eftirlit:
i) Súrefnismettun 94% eða lægri í hvíld án súrefnisgjafar.
ii) Fall í súrefnismettun við tveggja mínútna göngupróf um >3%.
Samkvæmt WHO flokkast sjúklingar í rannsókn þessari með miðlungs, alvarlegan eða hættulegan sjúkdóm.7 Hluti af þýðinu hafði einnig gengist undir TS-rannsókn í bráðum fasa sjúkdómsins og voru þeir skoðaðir sérstaklega. Um er að ræða 40 einstaklinga sem allir höfðu verið innlagðir á Landspítala vegna COVID-19. Hægt var að meta þróun lungnabreytinganna í COVID-19 með vissu hjá þessum undirhópi rannsóknarinnar. Einnig voru röntgenrannsóknir af lungum í bráðum sjúkdómsfasa yfirfarnar en þær voru til fyrir 69 einstaklinga. Leyfi fyrir rannsókn var fengið frá Vísindasiðanefnd. Númer leyfisins er VSN-20-078 (NBC-20-078).
Gagnaöflun og skráðar breytur um bakgrunnsþætti sjúklinga
Upplýsingar um sjúkrasögu og bakgrunnsþætti allra sjúklinga sem uppfylltu ofangreind skilyrði voru fengnar úr sjúkraskrám Landspítala á afturskyggnan máta. Skráð var kyn, aldur og líkamsþyngdarstuðull sjúklinga. Upphafsdagur einkenna og dagsetning PCR-greiningar var skráð, hvort og hvenær sjúklingar voru inniliggjandi á Landspítala eða hvort þeir hafi einungis verið í eftirliti á COVID-19 göngudeild. Ef sjúklingar voru meðhöndlaðir inniliggjandi var skráð hvort þeir hefðu legið inni á gjörgæslu (GG) og þá í hve marga daga og hvort þeir hefðu þurft öndunarvélameðferð.
Fengnar voru upplýsingar úr göngudeildarviðtölum um langvinna sjúkdóma. Þar má helst nefna háþrýsting, sykursýki, lungnasjúkdóma, hjartasjúkdóma og kæfisvefn. Einnig var skráð hvort, hvenær og hversu mikið sjúklingar höfðu reykt yfir ævina. Upplýsingar um dagsetningu myndrannsókna í bráðafasa og eftir-liti voru skráðar fyrir alla sjúklinga.
Röntgenrannsóknir af lungum
Notuð var fyrsta röntgenrannsókn af lungum sem framkvæmd var á sjúklingi í innlögn eða fyrsta lungnamyndin sem framkvæmd var á vegum COVID-19 göngudeildar ef sjúklingur lagðist ekki inn á sjúkrahúsið. Þær breytur sem voru skráðar út frá lungnamyndum voru hvort íferðir, millivefsþéttingar eða fleiðruvökvi voru til staðar. Þær upplýsingar voru fengnar úr skýrslu röntgenlæknis sem sá um úrlestur rannsóknarinnar. Það liðu 10 dagar að miðgildi frá upphafi einkenna að fyrstu röntgenrannsókn (vikmörk 4-38 dagar).
Aðferðalýsing TS-rannsókna
TS-tækin á Landspítala eru þrjú talsins, 80 sneiða, 320 sneiða og 640 sneiða Aquilion tæki frá Toshiba og Canon. TS og röntgenrannsóknir voru skoðaðar og metnar í myndgreiningarkerfinu Agfa HealthCare Enterprise Imaging©. Tölvusneiðmyndir voru allar metnar með eins millimetra sneiðaþykkt, með gluggamiðju (e. window level) 30 og gluggabreidd (e. window width) 400 til að meta mjúkvefi og gluggamiðju -500 og gluggabreidd 1500 til að meta lungun.
Í rannsóknarþýðinu liðu 13,5 dagar að miðgildi (vikmörk 5-41 dagur) frá upphafi einkenna að fyrstu TS-rannsókn og 73 dagar að miðgildi (vikmörk 30-178 dagar) frá upphafi einkenna sjúklings að TS-rannsókn í eftirliti. Hjá þeim sem áttu TS-í bráðum sjúkdómsfasa liðu 68,5 dagar að miðgildi (vikmörk 25-163 dagar) að eftirlitsrannsókn. Að jafnaði liðu því um tveir mánuðir milli rannsókna hjá meirihluta þýðisins. Ef fleiri en ein rannsókn var gerð í bráðum fasa sjúkdómsins, var rannsókn í hámarksfasa valin inn í rannsóknina. Ef minna en 8 vikur voru á milli TS-rannsókna í bráðafasa og eftirliti og sjúklingur átti nýlegri rannsókn var sú nýrri notuð fyrir rannsóknina. Allar TS-rannsóknir sem voru notaðar voru framkvæmdar á Landspítala nema ein sem tekin var á Heilbrigðisstofnun Suðurlands áður en sjúklingur fluttist á Landspítala.
Greining TS-rannsókna og stigun
Skráðar breytingar sem greindar voru á lungnaglugga voru hélubreytingar, alþéttar íferðir, netlaga millivefsmynstur (e. reticular interstitial pattern), bandlaga þéttingar við fleiðru, berkjuskúlk (e. bronchiectasis), þykknun á berkjuvegg og lungnaþemba (e. emphysema). Ef íferðir voru til staðar var skráð í hve mörgum lungnablöðum þær voru, hvort þær væru að mestu staðsettar ofan eða neðan til í lungum og hvort þær væru meiri í jaðri lungna (e. peripheral) eða miðlægt í brjóstholi (e. central). Á mjúkvefjaglugga voru metnar eitlastækkanir og fleiðruvökvi. Eitlar voru metnir stækkaðir ef þeir voru með skammássþvermál 10 mm eða meira. Stuðst var við staðfestan úrlestur röntgenlæknis fyrir þessa skráningu en ef ekki var tekin afstaða til ofangreindra breyta í skýrslunni var rannsóknin endurmetin með tilliti til þeirra.
Fyrirfram skilgreint stigunarkerfi var notað til að meta útbreiðslu COVID-19 í lungnavef. Hverju af lungnablöðunum fimm voru gefin stig eftir því hve stórt hlutfall þeirra var undirlagt af íferðum. Núll stig merkir að engar íferðir eru til staðar. Eitt stig fæst ef þær eru í minna en 5% lungnavefs, tvö stig ef í 5-25%, þrjú stig ef í 25-50%, fjögur stig ef í 50-75% og 5 stig ef meira en 75% lungnablaðsins er undirlagt af íferðum. Möguleg heildar-útbreiðslu-stig eru því á bilinu 0-25. Þessi aðferð var áður notuð í birtum rannsóknum og í þeim var sýnt fram á tengsl milli þessara útbreiðslustiga og alvarleika sjúkdóms.12,17,18 Mörg útbreiðslustig eru einnig talin spá fyrir um langvinnar trefjunarlíkar breytingar í lungum.18 Allar TS-rannsóknir voru stigaðar af tveimur læknum, sérnámslækni í myndgreiningu með tveggja ára reynslu og sérfræðingi í myndgreiningu. Myndskoðun var óháð hvorri annarri. Rannsóknirnar voru endurskoðaðar og komist að sameiginlegri niðurstöðu þegar ekki var samræmi í niðurstöðum þeirra.
Tölfræðileg úrvinnsla
Lýsandi tölfræði var unnin fyrir sjúklingahópinn í heild og er birt í töflu I. Þátttakendum var skipt upp í hópa eftir umfangi lungnabreytinga á TS í eftirliti, það er hvort þeir skoruðu 0 stig, milli 1 og 9 eða 10 eða fleiri og borið var saman meðaltal, miðgildi og hlutfall bakgrunnsþátta og þátta sem sögðu til um alvarleika veikinda milli þessara hópa. Til samanburðar voru notuð kí-kvaðrat, Fisher´s (e. Fisher‘s exact test), ANOVA og Kruskal-Wallis próf eftir því sem við átti. Upplýsingar vantaði um reykingasögu eins einstaklings en annars voru upplýsingar til um bakgrunnsþætti allra einstaklinga.
Könnuð voru tengsl bakgrunnsþátta og þátta sem vörðuðu alvarleika veikinda við TS-stig í legu (n = 40) og TS-stig í eftirliti (n = 85) sem og við bandlaga þéttingar við fleiðru í eftirliti (n = 85). Tengsl við TS-stig í legu voru könnuð með línulegri aðhvarfsgreiningu. Þar sem dreifing TS-stiga í eftirliti var langt frá normaldreifingu (mynd 1B) var notuð neikvæð tvíliða aðhvarfsgreining (e. negative binomial regression). Notuð var tvíkosta aðhvarfsgreining til að kanna tengsl við bandlaga þéttingar. Líkön með bakgrunnsþáttum voru án leiðréttingar fyrir blandandi þáttum en líkön sem sneru að alvarleika veikinda voru leiðrétt fyrir aldri og kyni þátttakenda. Fyrir gerð aðhvarfslíkana var fyllt inn í (e. impute) gagnaeyður með k-Nearest Neighbour algrími. Tölfræðiúrvinnsla var unnin í R, útgáfu 4.0.3.
Niðurstöður
Yfirlit yfir þátttakendur er sýnt í töflu I. Meðalaldur þátttakendanna var 59 ár og var 41 þeirra konur (48%). Sextíu lögðust inn á sjúkrahús (71%), þar af 18 á gjörgæslu (21%). Sjúklingar með reykingasögu voru 43 (51%) og af þeim höfðu 17 reykt pípu eða vindla (20%) og tveir reykt rafrettur. Þegar þátttakendur voru bornir saman eftir umfangi lungnabreytinga í eftirliti samkvæmt TS-útbreiðslustigun komu fram tengsl hærri aldurs, karlkyns, innlagnar og reykingasögu við meiri lungnabreytingar. Þeir sem lögðust inn á gjörgæslu og þeir sem þurftu öndunarvélameðferð höfðu oftar fleiri útbreiðslustig.

Myndrannsóknir í bráðum sjúkdómsfasa
Alls fóru 40 sjúklingar í TS af brjóstholi í bráðum sjúkdómsfasa og lögðust þeir allir inn á sjúkrahús. Allar TS-rannsóknir voru gerðar á meðan á innlögn stóð. Röntgenmynd var tekin af 69 sjúklingum (81%) en af þeim fór 31 einnig í TS. Sjö einstaklingar áttu enga myndrannsókn í bráðum sjúkdómsfasa. Mynd 2 sýnir algengustu breytingar sem lýst hefur verið á TS af brjóstholi hjá sjúklingum með COVID-19 og komu fram í rannsókn okkar.

Mynd 1 Dreifing TS-stiga í legu og í eftirliti. Útbreiðsla lungnabreytinga hjá COVID-19 sjúklingum var metin á tölvusneiðmyndum og stig gefin á bilinu 0-25 eftir því hve stórt hlutfall lungnavefs var undirlagt af breytingum. Núll stig eru gefin ef engar lungnabreytingar eru til staðar og 25 stig eru gefin ef >75% lungnavefs er undirlagður. Myndirnar sýna fjölda TS-stiga á x-ásnum og fjölda sjúklinga á y-ásnum. A er dreifing TS-stiga hjá þýðinu í bráðum sjúkdómsfasa og B er dreifing TS-stiga í eftirliti.
Miðgildi TS-stiga í bráðum sjúkdómsfasa var 15 og var dreifingin nokkuð jöfn (mynd 1A). Eins og sjá má í töflu II voru hélubreytingar til staðar hjá 38 af 40 sjúklingum (95%) (myndir 2A-C og 2E) og 32 höfðu þéttar íferðir (80%) (mynd 2C). Færri höfðu netlaga millivefsmynstur, eða 24 (60%) (mynd 2Ei), og 26 (65%) höfðu bandlaga þéttingar aðlægt fleiðrum (myndir 2A-2D). Flestir höfðu breytingar í öllum lungnablöðum en þó voru TS-stig fleiri í neðri lungnablöðum en í þeim efri (tafla II). Íferðir voru mestar í neðri hlutum lungna hjá 11 (27,5%), í efri hlutum lungna hjá 3 (8%) en umfang þeirra var sambærilegt í bæði efri og neðri hlutum lungna hjá 23 (58%). Dreifing íferða á TS í bráðum sjúkdómsfasa var að mestu jaðarlæg hjá 26 (65%) og íferðir voru bæði jaðarlægar og miðlægar hjá 13 (33%). Tíu einstaklingar voru með stækkaða eitla í brjóstholi (25%), þrír voru með fleiðruvökva og þrír með þykknun á berkjuvegg.
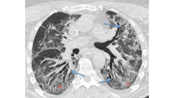
Mynd 2 TS-rannsóknir í bráðafasa og við eftirlit. Hver bókstafur táknar mismunandi sjúkling og mynd merkt i er í bráðum sjúkdómsfasa og mynd merkt ii er sama sneið í eftirliti.

Ai er af COVID-19 sjúklingi á 12. degi veikinda (TS-stig 19/25). Meirihluti lungnavefs er undirlagður af hélubreytingum (rauðar stjörnur) og bandlaga þétting aðlægt fleiðru er í hægra lunga (blá ör).

Á Aii í eftirliti 8 vikum síðar hafa íferðir hreinsast upp og engar langvinnar COVID-19 lungnabreytingar eru til staðar (TS-stig 0/25).

Bi er sjúklingur með alvarlegan COVID-19 á 30. degi veikinda. Á fyrri myndinni eru miklar íferðir enn til staðar þrátt fyrir að bráðafasi sjúkdómsins sé liðinn (TS-stig 23/25). Einnig eru til staðar berkjuskúlk (bláar örvar), hellulagnamynstur (rauðar stjörnur) og bandlaga þéttingar aðlægt fleiðrum.

Bii er tekin 6 vikum síðar (TS-stig 20/25) og eftir sitja trefjaðar (e. fibrotic) lungnabreytingar með breytingu á formgerð lungnanna þar sem íferðir voru mestar áður og berkjuskúlki (blá ör).

Ci er af COVID-19 sjúklingi á 13. degi veikinda og sýnir útbreiddar alþéttar íferðir (rauðar stjörnur) og hélubreytingar (blá ör) með TS-stig 25/25.

Cii er mynd fjórum mánuðum síðar. Þar sem áður voru þéttar íferðir eru nú þunnar bandlaga breytingar aðlægt fleiðrum (bláar örvar) ásamt daufum hélubreytingum. Því voru enn miklar lungnabreytingar til staðar þrátt fyrir langan tíma frá upphafi einkenna með útbreiðslustig 21/25.

Di er af COVID-19 sjúklingi á 30. degi veikinda og sýnir þykkar bandlaga breytingar við fleiðru aftantil í lungum (bláar örvar) og ekki teljandi hélubreytingar (TS-stig 20/25).

Dii er um 7 vikum síðar og eru bandlaga breytingarnar nú mun þynnri en áður. Einnig eru tilkomnar daufar hélubreytingar aðlægt þeim (bláar örvar) (TS-stig 14/25).

Ei er af COVID-19 sjúklingi á 24. degi veikinda með alþéttar íferðir og hélubreytingar ásamt hellulagnamynstri aftan til í öllum lungnablöðum (bláir hringir, TS-stig 24/25).

Eii er tekin tæplega tveimur mánuðum síðar. Engar bandlaga breytingar voru til staðar þá í lungum heldur mjög daufar en útbreiddar hélubreytingar (TS-stig 17/25).
Af þeim 69 sem fóru í lungnamynd greindust 55 (80%) með íferðir í lungum, flestar jaðarlægar, og tæpur helmingur (32 sjúklingar) hafði millivefsbreytingar (tafla II).

Sýnt var fram á minni alvarleika lungnabreytinga hjá konum (beta = ₋5,6; > p = 0,016) þegar tengsl milli alvarleika lungnabreytinga í formi TS stiga í bráðafasa voru borin saman við bakgrunnsþætti og sjúkrahúslegu. TS-stig voru fleiri hjá sjúklingum sem lágu á gjörgæslu (beta = 6,8; > p = 0,0013), hjá þeim sem lágu lengur á gjörgæslu (beta = 0,51; > p = 0,0011) og fengu öndunarvélameðferð (beta = 5,1; > p = 0,0032) (tafla III). Líkön sem snéru að alvarleika veikinda voru leiðrétt fyrir aldri og kyni.

Myndrannsóknir í eftirliti
Miðgildi TS-stiga í eftirliti var 4 og voru engar breytingar hjá um þriðjungi sjúklinga (31%) (mynd 2Aii). Af þeim 38 sem voru með lungnabreytingar í bráðafasa voru 33 (82,5%) ennþá með breytingar í eftirliti. Hélubreytingar (68%) voru mun algengari en þéttari íferðir (4%) (myndir 2B og 2D-E), netlaga millivefsmynstur (14%) (mynd 2Ei) og bandlaga þéttingar við fleiðru (34%) (myndir 2C-D). Berkjuskúlk var til staðar hjá 10 sjúklingum í eftirliti (12%) en hjá 7 sem fóru í TS-rannsókn í bráðum sjúkdómsfasa (18%) (myndir 2B). Yfirlit yfir myndbreytingar í bráðum sjúkdómsfasa og í eftirliti má sjá í töflu II.
Tafla IV sýnir tengsl bakgrunnsþátta við myndbreytingar í eftirliti og klíníska þætti tengda alvarleika lungnasjúkdómsins. Hærri aldur (hlutfall væntra TS-stiga (HVS) = 1,04; p = 9,0×10-6), meðferðarstig (HVS fyrir gjörgæslu = 4,39; p = 4,9×10-5), dagar á gjörgæslu (HVS = 1,05; p = 0,034) og TS-stig í legu (HVS = 1,09; p = 4,3×10-6) tengdust auknum fjölda TS-stiga í eftirliti. Aftur á móti tengdist kvenkyn (HVS = 0,40; p = 0,0007) lægri TS-stigafjölda í eftirliti. Svipuð tengsl mátti sjá við bandlaga þéttingar, það er tengsl þeirra við hækkandi aldur (OR = 1,06; p = 0,0054), kyn (OR fyrir kvenkyn = 0,34; p = 0,025), innlögn á gjörgæslu (OR = 11,4, p = 0.011), legutíma á gjörgæsludeild (OR á dag = 1,35; p = 0,0084) og TS-stig í legu (OR =1,22; p = 0,0072) (Tafla IV).

Umræður
Hér er myndbreytingum lýst hjá sjúklingum með að miðlungi alvarlegan eða alvarlegan COVID-19 samkvæmt skilgreiningu WHO7, bæði í bráðum veikindum og í eftirliti tveimur til þremur mánuðum síðar. Úrtakið náði til allra sem komu á Landspítala í fyrstu bylgju COVID-19 faraldursins á Íslandi. Sjúklingar höfðu almennt miklar breytingar í lungum á myndrannsóknum í bráðum veikindum og af þeim voru hélubreytingar algengastar. Myndbreytingar í eftirliti voru talsvert minni og voru þar bandlaga þéttingar aðlægt fleiðru áberandi en þó voru hélubreytingar áfram algengastar. Myndbreytingar í bráðafasa veikinda höfðu sterk tengsl við alvarleika þeirra og tengdust kyni þátttakenda en ekki öðrum bakgrunnsþáttum. Myndbreytingar við eftirlit höfðu tengsl við umfang myndbreytinga í legu og alvarleika veikinda auk aldurs og kyns. Ekki fundust marktæk tengsl milli lungnabreytinga og þess tíma sem leið frá upphafi veikinda að TS-eftirlitsrannsókn og hefur hann því ekki marktæk tölfræðileg áhrif á niðurstöður.
Líkt og í mörgum öðrum rannsóknum var meirihluti þýðisins með hélubreytingar í bráðafasanum14,19–21 en nokkrir myndfundir voru algengari í rannsókn okkar en lýst hefur verið annars staðar, til að mynda alþéttar íferðir (80%),15,17,19,21,22 bandlaga þéttingar við fleiðru (65%)19,21,22 og eitlastækkanir (25%).16 Það gæti skýrst af því að í rannsókn okkar fóru margir sjúklingar í TS nokkuð seint í bráðum sjúkdómsfasa. Algengi annarra skráðra lungnabreytinga í bráðafasa og dreifing þeirra var svipuð öðrum rannsóknum.14–17,19,20
Minnkandi umfang myndbreytinga í endurteknum TS-rannsóknum er í samræmi við erlendar rannsóknir.23–25 Sömuleiðis var meirihluti sjúklinga enn með lungnabreytingar, þá helst hélubreytingar og bandlaga þéttingar við fleiðru, um tveimur mánuðum eftir TS-mynd í bráðafasa (69%) en algengi langvinnra breytinga í lungum og gerð þeirra var sambærileg öðrum rannsóknum.18,24,26 Þannig sýndu tvær rannsóknir að um 70% sjúklinga voru enn með breytingar við þriggja mánaða eftirlit23,27 og í rannsóknum frá Kína og Ítalíu höfðu 62% og 72% sjúklinga enn óeðlilega TS af lungum við 6 mánaða eftirlit.18,28 Umfang TS-breytinga í bráðum sjúkdómsfasa hafði marktæk tengsl við TS-stig í eftirliti, sem er sambærilegt við niðurstöður annarra.18,24 Útbreiðslustig á TS og aldur höfðu tengsl við alvarleika sjúkdómsins í rannsókn okkar, sem er einnig sambærilegt öðrum rannsóknum12,21 sem hafa sýnt tengsl aldurs við meiri lungnabreytingar, bandlaga þéttingar við fleiðru,19 og trefjunarbreytingar á TS í eftirliti.18 Trefjunarbreytingar í eftirliti voru einnig tengdar meðferð á gjörgæslu og því að hafa 18 útbreiðslustig eða fleiri á TS í bráðum sjúkdómsfasa.18 Í rannsókn Han og félaga var miðgildi TS-stiga 15 eftir 6 mánuði, sem er það sama og í rannsókn okkar við um tveggja mánaða eftirlit.18
Athygli vekur að í rannsókn okkar fundust ekki tengsl COVID-19 breytinga í bráðum sjúkdómi né í eftirliti við undirliggjandi lungnasjúkdóma eða reykingar. Sumar erlendar rannsóknir hafa sýnt fram á tengsl reykinga við auknar lungnabreytingar eftir COVID-19 í eins árs eftirliti.29 Einnig tengsl undirliggjandi lungnasjúkdóma og langvinnra COVID-19 breytinga við 6 mánaða eftirlit18 en tvær aðrar rannsóknir sýndu ekki fram á þessi tengsl.24,28 Nærtæk skýring á því að engin tengsl fundust við reykingar eða lungnasjúkdóma í þessari rannsókn getur verið lág tíðni reykinga í þýðinu og að upplýsingar um undirliggjandi lungnasjúkdóma fengust hjá þátttakendunum sjálfum án stuðnings við annað greiningarkerfi. Því er líklegt að skortur sé á tölfræðilegu afli til að meta með vissu tengsl þessara þátta við bráðar eða langvinnar COVID-19 breytingar.
Ekki er vitað með vissu hve langan tíma það tekur COVID-19 bólguíferðir að hverfa og hvort lungnavefurinn jafnar sig að fullu. Fyrri rannsóknir benda þó til þess að margir sjúklingar í SARS (e. severe acute respiratory syndrome) faraldrinum 2002-2003 hafi verið með hélubreytingar og bandlaga þéttingar í lungum allt að 15 árum eftir sýkinguna.25 Margir MERS (e. Middle-Eastern respiratory syndrome) sjúklingar hafa merki um bandvefsmyndun í lungnavef og formbreytingu á þeim mörgum mánuðum eftir sjúkdóminn.30 Bæði SARS og MERS eru sjúkdómar í neðri öndunarfærum sem kórónuveirur ollu. Að auki hefur langvinnum breytingum í lungnavef verið lýst hjá sjúklingum sem fengið hafa ARDS (e. acute respiratory distress syndrome).31
Bandlaga þéttingar undir fleiðru eru þær breytingar sem helst eru taldar geta orðið langvinnar og verið merki um bandvefsmyndun í gróandaferli lungnanna.9,15,16 Algengi þessara breytinga við þá eftirfylgd sem hér er lýst vekur grun um að COVID-19 geti haft langvinnar lungnabreytingar í för með sér hjá sumum sjúklingum. Af sjúklingum í þessari rannsókn voru 34% (n=29) með bandlaga þéttingar í eftirliti, eða 49% af þeim sem voru enn með COVID-19 lungnabreytingar. Í bráðum sjúkdómsfasa voru 26 (65%) með bandlaga þéttingar við fleiðru. Tengsl bandlaga þéttinga og TS-stiga í eftirliti við alvarleika sjúkdómsins og bakgrunnsþætti sjúklinga gefa einnig vísbendingar um hvaða hópur sé í mestri hættu á langvinnum lungnabreytingum. Þó er um að ræða stutta eftirfylgd og í raun á tíminn eftir að leiða í ljós hve lengi þessar breytingar vara. Athyglisvert er að áhættuþættir fyrir auknum COVID-19 breytingum eru karlkyn, hár aldur og saga um reykingar, sem einnig eru áhættuþættir algengustu millivefslungnasjúkdóma.32
Þessi rannsókn nær til allra sjúklinga sem uppfylltu skilyrði um alvarleg COVID-19 veikindi og voru greindir og meðhöndlaðir á Landspítala og er það styrkleiki rannsóknarinnar. Ekkert brottfall var af sjúklingum og því um tæmandi uppgjör að ræða. Myndgreiningar voru gerðar á samskonar tölvusneiðmyndatækjum og voru allar lesnar af sömu einstaklingum. Óháð stigun mynda af að minnsta kosti tveimur læknum á röntgendeild tryggði samstöðu (e. consensus) um niðurstöðu. Kerfisbundin skráning upplýsinga í sérhæfðan gagnagrunn tryggði gæði gagna um sjúklinga með COVID-19 á Landspítala.
Þessar niðurstöður ber að skoða í ljósi nokkurra takmarkana. Í fyrsta lagi var rannsóknin fámenn og skorti því tölfræðilegt afl að sumu leyti, til dæmis til að fullyrða um hvort sjaldgæfari atriði í heilsufarssögu þátttakenda hefðu tengsl við myndbreytingar eða til að greina algengi ákveðinna myndbreytinga milli aldurshópa. Gagnaeyður og ófullkomin skráning komu fyrir í gögnunum, eins og gera má ráð fyrir þegar um klínísk gögn er að ræða. Í öðru lagi má nefna að þó að tímasetning myndgreiningar í eftirliti hafi verið nokkuð stöðluð var tímasetning myndgreiningar í legu það ekki, ekki var regla á því hvort sjúklingar undirgengust myndgreiningu í byrjun eða lok legu. Breytileiki á því hvenær sjúklingar fóru í myndrannsókn í eftirliti hafði þó ekki marktæk tengsl við umfang lungnabreytinga á þeim rannsóknum. Í þriðja lagi eru Íslendingar einsleit þjóð í erfðafræðilegu tilliti og því gildir það sama um þýði þessarar rannsóknar. Að lokum má nefna að alvarleiki veikinda var metinn út frá staðgengilsbreytum því ekki var til staðar staðlað mat á einkennamynd í legu. Sem dæmi um staðgengilsbreytu í rannsókninni er þegar alvarleiki veikinda er metinn út frá því hvort sjúklingur lagðist inn á gjörgæslu eða ekki.
Niðurstöðurnar sýna hlutfallslegt algengi og gerð myndbreytinga hjá sjúklingum með að miðlungi alvarlegan eða alvarlegan COVID-19. Einnig er langvarandi breytingum á tölvusneiðmyndum eftir COVID-19 lýst og sýnt fram á hvaða sjúklingahópar eru í mestri áhættu á að hafa slíkar breytingar. Framþróun og klínísk þýðing þessara breytinga er efni frekari rannsókna. Mikilvægt er að fylgja þessum niðurstöðum eftir með því að kanna lungnaástand þeirra sem enn voru með lungnabreytingar í eftirlitstölvusneiðmynd af brjóstholi þegar frá líður, til dæmis eftir ár, til að kanna hvort einhverjar breytinganna séu varanlegar.
Þakkir
Sérstakar þakkir fá Thor Aspelund, prófessor í líftölfræði við Læknadeild Háskóla Íslands, Sigríður Erla Sigurðardóttir hjúkrunarfræðingur og Runólfur Pálsson, forstöðumaður lyflækningasviðs Landspítala.
Heimildir
| 1. Huang C, Wang Y, Li X, et al. Clinical features of patients infected with 2019 novel coronavirus in Wuhan, China. Lancet 2020; 3 95: 497-506. https://doi.org/10.1016/S0140-6736(20)30183-5 |
||||
| 2. Wiersinga WJ, Rhodes A, Cheng AC, et al. Pathophysiology, Transmission, Diagnosis, and Treatment of Coronavirus Disease 2019 (COVID-19): A Review. JAMA 2020; 324: 782-93. https://doi.org/10.1001/jama.2020.12839 PMid:32648899 |
||||
| 3. WHO Director-General's opening remarks at the media briefing on COVID-19-11 March 2020 - 12. mars 2021. | ||||
| 4. Helgason D, Eythorsson E, Olafsdottir LB, et al. Beating the odds with systematic individualized care: Nationwide prospective follow-up of all patients with COVID-19 in Iceland. J Intern Med 2021; 289: 255-8. https://doi.org/10.1111/joim.13135 PMid:32558969 PMCid:PMC7323355 |
||||
| 5. COVID-19 á Íslandi - Tölfræði frá 28.02 til og með 14.06 covid.is/tolulegar-upplysingar-gamalt. - mars 2021. | ||||
| 6. Eythorsson E, Helgason D, Ingvarsson RF, et al. Clinical spectrum of coronavirus disease 2019 in Iceland: Population based cohort study. BMJ 2020; 371. https://doi.org/10.1136/bmj.m4529 PMid:33268329 PMCid:PMC7708618 |
||||
| 7. who.int -Covid-19 Clinical management: Living guidance. www.who.int - janúar 2021. | ||||
| 8. Rubin GD, Ryerson CJ, Haramati LB, et al. The role of chest imaging in patient management during the covid-19 pandemic: A multinational consensus statement from the fleischner society. Radiology 2020; 296: 172-80. https://doi.org/10.1148/radiol.2020201365 PMid:32255413 PMCid:PMC7233395 |
||||
| 9. Carotti M, Salaffi F, Sarzi-Puttini P, et al. Chest CT features of coronavirus disease 2019 (COVID-19) pneumonia: key points for radiologists. Radiol Medica 2020; 125: 636-46. https://doi.org/10.1007/s11547-020-01237-4 PMid:32500509 PMCid:PMC7270744 |
||||
| 10. Xu B, Xing Y, Peng J, et al. Chest CT for detecting COVID-19: a systematic review and meta-analysis of diagnostic accuracy. Eur Radiol 2020; 30: 5720-7. https://doi.org/10.1007/s00330-020-06934-2 PMid:32415585 PMCid:PMC7227176 |
||||
| 11. Mason RJ. Pathogenesis of COVID-19 from a cell biology perspective. Eur Respir J 2020; 55. https://doi.org/10.1183/13993003.00607-2020 PMid:32269085 PMCid:PMC7144260 |
||||
| 12. Pan F, Ye T, Sun P, et al. Time course of lung changes at chest CT during recovery from Coronavirus disease 2019 (COVID-19). Radiology 2020; 295: 715-21. https://doi.org/10.1148/radiol.2020200370 PMid:32053470 PMCid:PMC7233367 |
||||
| 13. Ding X, Xu J, Zhou J, et al. Chest CT findings of COVID-19 pneumonia by duration of symptoms. Eur J Radiol 2020; 127: 109009. https://doi.org/10.1016/j.ejrad.2020.109009 PMid:32325282 PMCid:PMC7165099 |
||||
| 14. Salehi S, Abedi A, Balakrishnan S, et al. Coronavirus disease 2019 (COVID-19): A systematic review of imaging findings in 919 patients. Am J Roentgenol 2020; 215: 87-93. https://doi.org/10.2214/AJR.20.23034 PMid:32174129 |
||||
| 15. Nagpal P, Narayanasamy S, Vidholia A, et al. Imaging of COVID-19 pneumonia: Patterns, pathogenesis, and advances. Br J Radiol 2020; 93: 20200538. https://doi.org/10.1259/bjr.20200538 PMid:32758014 PMCid:PMC7465853 |
||||
| 16. Ali TF, Tawab MA, ElHariri MA. CT chest of COVID-19 patients: what should a radio-logist know? Egypt J Radiol Nucl Med 2020; 51: 120. https://doi.org/10.1186/s43055-020-00245-8 PMCid:PMC7339797 |
||||
| 17. Francone M, Iafrate F, Masci GM, et al. Chest CT score in COVID-19 patients: correlation with disease severity and short-term prognosis. Eur Radiol 2020; 30: 6808-17. https://doi.org/10.1007/s00330-020-07033-y PMid:32623505 PMCid:PMC7334627 |
||||
| 18. Han X, Fan Y, Alwalid O, et al. Six-Month Follow-up Chest CT findings after Severe COVID-19 Pneumonia. Radiology 2021: 203153. https://doi.org/10.1148/radiol.2021203153 PMid:33497317 PMCid:PMC7841877 |
||||
| 19. Ojha V, Mani A, Pandey NN, et al. CT in coronavirus disease 2019 (COVID-19): a systematic review of chest CT findings in 4410 adult patients. Eur Radiol 2020; 30: 6129-38. https://doi.org/10.1007/s00330-020-06975-7 PMid:32474632 PMCid:PMC7261039 |
||||
| 20. Parry AH, Wani AH, Yaseen M, et al. Spectrum of chest computed tomographic (CT) findings in coronavirus disease-19 (COVID-19) patients in India. Eur J Radiol 2020; 129. https://doi.org/10.1016/j.ejrad.2020.109147 PMid:32623113 PMCid:PMC7313528 |
||||
| 21. Malpani Dhoot N, Goenka U, Ghosh S, et al. Assigning computed tomography involvement score in COVID-19 patients: prognosis prediction and impact on management. BJR|Open 2020; 2: 20200024. https://doi.org/10.1259/bjro.20200024 |
||||
| 22. Bernheim A, Mei X, Huang M, et al. Chest CT findings in coronavirus disease 2019 (COVID-19): Relationship to duration of infection. Radiology 2020; 295: 685-91. https://doi.org/10.1148/radiol.2020200463 PMid:32077789 PMCid:PMC7233369 |
||||
| 23. Liu N, He G, Yang X, et al. Dynamic changes of Chest CT follow-up in Coronavirus Disease-19 (COVID-19) pneumonia: relationship to clinical typing. BMC Med Imaging 2020; 20: 92. https://doi.org/10.1186/s12880-020-00491-2 PMid:32758155 PMCid:PMC7403785 |
||||
| 24 Tabatabaei SMH, Rajebi H, Moghaddas F, et al. Chest CT in COVID-19 pneumonia: what are the findings in mid-term follow-up? Emerg Radiol 2020; 27: 711-9. https://doi.org/10.1007/s10140-020-01869-z PMid:33165674 PMCid:PMC7649573 |
||||
| 25. Zhang P, Li J, Liu H, et al. Long-term bone and lung consequences associated with hospital-acquired severe acute respiratory syndrome: a 15-year follow-up from a prospective cohort study. Bone Res 2020; 8. https://doi.org/10.1038/s41413-020-00113-1 PMCid:PMC7502357 |
||||
| 26. Lerum TV, Aaløkken TM, Brønstad E, et al. Dyspnoea, lung function and CT findings three months after hospital admission for COVID-19. Eur Respir J 2020: 2003448. https://doi.org/10.1183/13993003.03448-2020 PMid:33303540 PMCid:PMC7736755 |
||||
| 27. Zhao Y-miao, Shang Y-min, Song W-bin, et al. Follow-up study of the pulmonary function and related physiological characteristics of COVID-19 survivors three months after recovery. EClinicalMedicine 2020; 25: 100463. https://doi.org/10.1016/j.eclinm.2020.100463 PMid:32838236 PMCid:PMC7361108 |
||||
| 28. Caruso D, Guido G, Zerunian M, et al. Postacute Sequelae of COVID-19 Pneumonia: 6-month Chest CT Follow-up. Radiology 2021: 210834. https://doi.org/10.1148/radiol.2021210834 PMid:34313468 PMCid:PMC8335814 |
||||
| 29. Chen Y, Ding C, Yu L, et al. One-year follow-up of chest CT findings in patients after SARS-CoV-2 infection. BMC Med 2021 191 2021; 19: 1-11. https://doi.org/10.1186/s12916-021-02056-8 PMid:34365975 PMCid:PMC8349604 |
||||
| 30. Das KM, Lee EY, Singh R, et al. Follow-up chest radiographic findings in patients with MERS-CoV after recovery. Indian J Radiol Imaging 2017; 27: 342-9. https://doi.org/10.4103/ijri.IJRI_469_16 PMid:29089687 PMCid:PMC5644332 |
||||
| 31. Sheard S, Rao P, Devaraj A. Imaging of acute respiratory distress syndrome. Respir Care 2012; 57: 607-612. https://doi.org/10.4187/respcare.01731 PMid:22472500 |
||||
| 32. Choi W Il, Dauti S, Kim HJ, Park SH, Park JS, Lee CW. Risk factors for interstitial lung disease: A 9-year Nationwide population-based study. BMC Pulm Med 2018; 18. https://doi.org/10.1186/s12890-018-0660-2 PMid:29866093 PMCid:PMC5987651 |
||||
