04. tbl. 98. árg. 2012
Fræðigrein
Karlmaður með lækkað natríum, slappleika og megrun vegna æxlis í heiladingli
A 78 year-old man with hyponatremia, malaise and weight loss caused by a pituitary mass
Ágrip
Tæplega áttræður karlmaður var lagður inn á sjúkrahús til endurhæfingar eftir aflimun á fæti þremur mánuðum fyrr. Vegna vöðvarýrnunar og slappleika var fyrirhugaðri þjálfun með gervilim frestað. Líðan sjúklings hrakaði jafnt og þétt og rannsóknir sýndu meiri lækkun á natríum í sermi. Uppvinnsla leiddi í ljós skort á heiladingulshormónum sem reyndist stafa af æxli í heiladingli. Eftir að uppbótarmeðferð með kortisóli, þýroxíni og testósteróni var hafin lagaðist ástand sjúklings til muna og natríumgildi leiðréttust.
Tilfelli
78 ára karlmaður með sögu um útæðasjúkdóm og sykursýki af tegund 2 var staddur erlendis þegar hann braut hægri lærleggsháls eftir fall. Skipt var um mjaðmalið á sjúkrahúsi en mánuði síðar komst drep í hælsárið og þurfti að taka af hægri fótlegg neðan við hné. Vegna þrekleysis sjúklings var ekki hægt að hefja sjúkraþjálfun. Blóðrannsóknir á honum sýndu lækkað natríum í sermi, 128 mmól/lítra, en ekki voru gerðar frekari rannsóknir á blóðsöltum. Sjúklingnum voru gefnar salttöflur og hafin sjúkraþjálfun sem gekk hægt. Þremur mánuðum síðar var hann fluttur á sjúkrahús til frekari endurhæfingar. Við komu var sjúklingur sljór og ekki áttaður að fullu. Hann var 1,75 m að hæð og vó 54 kg, eða 9 kg léttari en við mælingu tveimur árum fyrr. Við skoðun sást áberandi vöðvarýrnun. Röntgenmynd af lungum og tölvusneiðmynd af höfði voru eðlilegar, og slitbreytingar og beingisnun sáust á röntgenmyndum af hægra hné. Sjúklingur var áfram þreklaus og hafði litla matarlyst. Endurteknar mælingar sýndu lækkandi natríum í sermi, úr 135 í 125 mmól/lítra. Talið var að sjúklingurinn hefði heilkenni óviðeigandi losunar þvagskerðihormóns (SIADH, syndrome of inappropriate ADH secretion) og voru fengnar tölvusneiðmyndir af heila, brjóstholi og kviðarholi en þær voru taldar eðlilegar. Nokkrum dögum síðar mældist natríum í sermi aðeins 119 mmól/lítra og sjúklingurinn var orðinn mjög þreklítill og kvartaði yfir ógleði. Fengin var morgunmæling á kortisóli í sermi sem sýndi verulega lækkað gildi, eða 48 nmól/l (viðmiðunargildi 170-550 nmól/l) og vaknaði þá grunur um vanstarfsemi á heiladingli. Frekari blóðrannsóknir eru sýndar í töflu I, en þær sýndu lækkuð gildi þýroxíns (fT4) og þríjoðþýroníns (fT3) og testósteróns, LH og IGF-1 (tafla I). FSH (follicular stimulating hormone, kynfrumnakveikja)var nálægt neðri mörkum, ACTH (adrenocorticotropic hormone, nýrilbarkarhvati)og TSH (thyroid stimulating hormone, skjaldvakakveikja) voru innan eðlilegra marka en prólaktín lítillega hækkað.
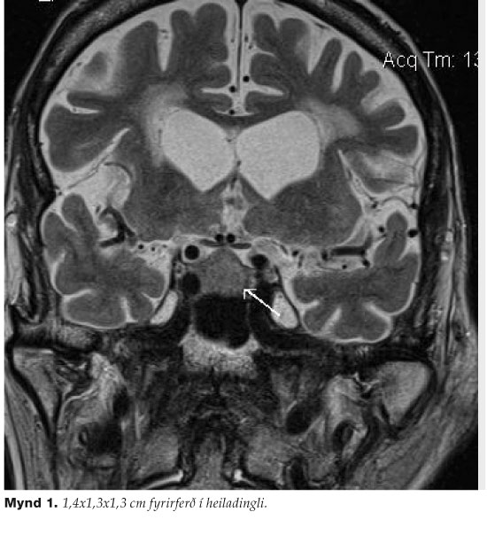
Sterkur grunur vaknaði um sjúkdóm í heiladingli sem ylli skertri framleiðslu heiladingulshormóns. Segul---ómun af tyrkjasöðli (mynd 1) sýndi 1,4 x 1,3 x 1,3 cm fyrirferð í heiladingli sem óx upp að sjóntaugavíxlum (chiasma opticum) og innri hálsslagæð hægra megin. Sjónsviðsmæling sýndi væga skerðingu gagnaugamegin á vinstri hlið. Útlitið var talið samrýmast góðkynja kirtilæxli í heiladingli. Eftir samráð við heilaskurðlækna var ákveðið að bíða með skurðaðgerð og endurmeta æxlið þremur mánuðum síðar.
Gefið var ACTH (Synacthen) í vöðva sem hækkaði kortisól í sermi úr 172 í 399 nmól/l eftir 30 mínútur og í 446 nmól/l eftir klukkustund. Svörunin var metin ófullnægjandi en óvart hafði verið gefinn of hár skammtur af nýrilbarkahvata, 1000 ug í stað 250 ug. Hafin var meðferð með hýdrókortísóntöflum og skömmu síðar einnig með þýroxíni (Levaxín) og testósteróni.
Eftir lyfjameðferð hurfu einkenni sjúklings á nokkrum vikum. Þrek og matarlyst jókst og þreyta og sljóleiki gengu til baka. Þremur vikum síðar mældist þýroxín í sermi 15,3 pmól/l í stað 10,6 pmól/l áður, og natríum hækkaði úr 122 mmól/l í 136 á 5 dögum. Hann þyngdist um 12 kg á tveimur mánuðum, gat hafið endurhæfingu, lært að nota gervifót og var útskrifaður á dvalarheimili. Endurteknar segulómanir þremur og 12 mánuðum eftir innlögn sýndu óbreytta stærð heiladinguls og ekki höfðu komið fram nýjar sjónsviðstruflanir. Því var ákveðið að bíða með skurðaðgerð.
Umræður
Góðkynja kirtilæxli er algengasta fyrirferðin í heiladingli1 og eru æxli yfir 1 cm í þvermál skilgreind sem stórkirtilæxli en önnur sem smákirtilæxli. Þessi æxli eru ýmist seytandi eða ekki-seytandi. Mjólkurhormónsæxli (prolactinoma) eru algengust kirtilæxla, eða í um helmingi tilfella, síðan ekki-seytandi æxli (35-40%), vaxtarhormónsseytandi æxli (8-9%), nýrilbarkarhvata-seytandi (ACTH, 2-4%) og loks skjaldvakakveikju-seytandi (TSH, 1-2%).2 Í þessu tilfelli var æxlið ekki-seytandi og olli algjörri vanstarfsemi á heiladingli (panhypopituitarism) með skorti á ACTH, TSH, LH og FSH. Þá eru blóðgildi viðkomandi hormóna lækkuð eða innan neðri helmings viðmiðunarmarka. Heiladingulsbilunin skýrist af beinum þrýstingsáhrifum æxlisins á kirtilvefinn eða truflun á blóðrás til eða frá heiladingli. Niðurstöður Synacthen-prófs bentu til kortisólskorts en hæsta gildi yfir 550 nmól/l er talið útiloka kortisólskort.3 Til að staðfesta greiningu kortisólskorts má einnig framkvæma insúlínþolpróf sem metur starfsemi allra hormóna í undirstúku-heiladingulsöxlinum. Loks benti lækkað IGF-1 til skorts á vaxtarhormóni,4 en til að staðfesta það er gert insúlínþolpróf eða vaxtarhormónshvata- og arginín (GHRH+Arginine) próf. Hár aldur sjúklings var metinn sem frábending fyrir meðferð með vaxtarhormóni og var hugsanlegur vaxtarhormónsskortur því ekki rannsakaður nánar.
Dópamín bælir framleiðslu mjólkurhormóns úr heiladingli en fyrirferð í heiladingli eða undirstúku geta hindrað þessa bælingu og skýrir það væga hækkun mjólkurhormóns í þessu tilfelli. Þegar um er að ræða æxli sem framleiða mjólkurhormón er hækkun á mjólkurhormóni hins vegar mun meiri.
Hjá sjúklingum með ekki-seytandi stórkirtilæxli án brottfallseinkenna frá miðtaugakerfi eins og sjóntruflanir, er oftast beðið með skurðagerð og fylgst með sjúklingum með endurteknum segulómskoðunum af höfði og sjónsviðsmælingum. Annars er æxlið numið á brott í gegnum nef og gert gat á fleygholsbein (transsphenoidal) til að komast að æxlinu.
Algengasta orsök lækkaðs natríums í sermi er SIADH en skortur á kortisóli eða þýroxíni getur einnig valdið þessu.6 Skýringin er talin vera aukin losun á þvagskerðihormóni sem veldur vatnssöfnun í líkamanum og þar með minni þéttni natríums í blóði.5
Í þessu tilfelli liðu margir mánuðir þar til undirliggjandi orsök natríumlækkunar greindist, en einkennin voru almenn eðlis, aðallega slappleiki og þreyta. Spurning er hvort fylgikvilla beinbrots megi að einhverju leyti rekja til heiladingulsbilunar en máttleysi gæti hafa þátt í því að sjúklingur datt og beinþynning stafað af skorti á vaxtarhormóni. Auk þess getur vannæring vegna hormónaskorts tafið gróandi sára eins og sykursýki sem sjúklingurinn var með.
Minnkað natríum í sermi er algengt vandamál á sjúkrahúsum og undirstrikar þetta sjúkratilfelli mikilvægi þess að hafa kortisólskort í huga sem orsök.
Þakkir fá ritstjórn Læknablaðsins fyrir yfirlestur og úrbætur og Kristinn Grétar Harðarson fyrir aðstoð við myndvinnslu.
Heimildir
- Jagannathan J, Kanter AS, Sheehan JP, Jane JA Jr, Laws ER Jr. Benign brain tumors: sellar/parasellar tumors. Neurol Clin 2007; 25: 1231-49.
- Raappana A, Koivukangas J, Ebeling T, Pirilä T. Incidence of pituitary adenomas in Northern Finland in 1992-2007. J Clin Endocrinol Metab 2010; 95: 4268-75.
- Agha A, Tomlinson JW, Clark PM, Holder G, Stewart PM. The long-term predictive accuracy of the short synacthen (corticotropin) stimulation rest for assessment of the hypothalamic-pituitary-adrenal axis. J Clin Endocrinol Metab 2006; 91: 43-7.
- Biller BM, Samuels MH, Zagar A, Cook DM, Arafah BM, Bonert V, et al. Sensitivity and specificity of six tests for the diagnosis of adult GH deficiency. J Clin Endocrinol Metab 2002; 87: 2067-79.
- Reynolds RM, Seckl JR. Hyponatraemia for the clinical endocrinologist. Clin Endocrinol 2005; 63: 366-74.
- Verbalis JG, Goldsmith SR, Greenberg A, Schrier RW, Sterns RH. Hyponatremia treatment guidelines 2007: expert panel recommendations. Am J Med 2007; 120: S1.
