12. tbl. 109. árg. 2023
Fræðigrein
De Garengeot-kviðslit • Sjúkratilfelli •
Höfundar fengu leyfi sjúklingsins fyrir þessari umfjöllun og birtingu.
Ágrip
Læriskviðslit er ein mismunagreining fyrirferðar í nára. Í sjaldgæfum tilfellum inniheldur slíkt kviðslit botnlangann og kallast þá De Garengeot-kviðslit eftir skurðlækninum sem lýsti því fyrstur. Hér á eftir verður farið yfir tilfelli 79 ára gamallar konu sem var greind og meðhöndluð á kviðarholsskurðdeild Landspítala vegna slíks kviðslits.
Greinin barst til blaðsins 14. september 2023, samþykkt til birtingar 10. nóvember 2023.
Inngangur
De Garengeot-kviðslit er læriskviðslit (femoral hernia) sem inniheldur botnlangann og er nefnt eftir franska skurðlækninum René-Jacques Croissant De Garengeot sem lýsti þessu fyrstur árið 1731. Fjórum árum síðar var fyrsta skráða botnlangatakan framkvæmd og þá vildi svo til að botnlanginn var staðsettur í nárakviðsliti (inguinal hernia) en það fyrirbæri tekur nafn sitt frá öðrum frönskum skurðlækni og kallast Amyand-kviðslit.1 Læriskviðslit eru einungis 3% allra kviðslita og þar af eru De Garengeot-kviðslit aðeins um 1%. Enn sjaldgæfara er þegar bólginn botnlangi er til staðar en það kemur fyrir í 0,08-0,13% allra læriskviðslita. Læriskviðslit eru algengari hjá konum og kemur því ekki á óvart að það sama eigi við um De Garengeot-kviðslit en þar er hlutfallið einn karl á móti hverjum fjórum konum.2 Hér er lýst tilfelli af De Garengeot-kviðsliti með bólgnum botnlanga hjá 79 ára gamalli konu.
Tilfelli
Um var að ræða 79 ára gamla konu með sögu um frumkomið rauðkornablæði (polycythemia vera), gláku og háþrýsting. Fyrri aðgerðarsaga er markverð fyrir legnám og gallblöðrutöku þar sem hún reyndist óvænt vera með gallblöðrukrabbamein og gekkst því í kjölfarið undir hlutabrottnám á lifur.
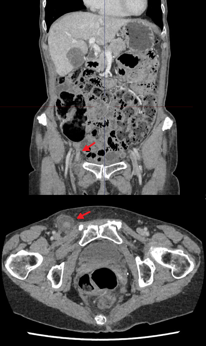
Henni var vísað til mats á kviðarholsskurðdeild vegna tæplega tveggja vikna sögu um fyrirferð í hægri nára ásamt verkjum í neðri hluta kviðar. Hún hafði ekki verið með hita, ógleði eða lystarleysi. Við skoðun var hún ekki bráðveikindaleg að sjá né meðtekin af verk og lífsmörk voru eðlileg. Kviðurinn þreifaðist mjúkur og var eymslalaus en í hægri nára þreifaðist hörð, um það bil þriggja cm stór fyrirferð. Það var ekki roði, hiti né bólga yfir fyrirferðinni en væg eymsli. Tölvusneiðmynd af kviðarholi sýndi nárakviðslit sem innihélt botnlangann. Það sáust einnig bólgumerki og vökvi umhverfis botnlangann (mynd 1).

Mynd 1. Tölvusneiðmynd af kviðarholi sem sýnir læriskviðslitið með kviðslitssekk sem inniheldur botnlangann í ennis- og áslægu sniði (rauð ör).
Eftir að greining lá fyrir var reynt að ýta innihaldi kviðslitsins aftur inn, sem tókst ekki. Hún var tekin samdægurs til opinnar kviðslitsaðgerðar að hætti Nyhus og reyndist þá vera með innklemmt (incarcerated) læriskviðslit. Kviðslitssekkurinn var dreginn til baka úr lærisganginum (femoral canal) og opnaður. Í honum var bólginn botnlangi og því tekin ákvörðun um að fjarlægja hann (mynd 1 og 2).

Mynd 2. Frá aðgerð. Kviðslitssekkurinn þegar búið er að fjarlægja hann úr lærisganginum (A) og botnlanginn þegar kviðslitssekkurinn hefur verið opnaður. Endi botnlangans er þrútinn og bólginn (ör) (B).
Því næst var komið fyrir neti sem huldi lærisganginn og síðan var skurðinum lokað. Konan útskrifaðist heim degi síðar og við eftirlit fjórum vikum síðar var hún við ágæta heilsu og skurðsárið vel gróið. Vefja-rannsókn á botnlanganum sýndi bólguíferð í gegnum öll vegglög botnlangans.
Umræða
Eins og áður kom fram er De Garengeot-kviðslit algengara í konum, en það hefur verið rakið til breytinga sem eiga sér stað á meðgöngu. Aðrir þættir eru meðal annars aukinn þrýstingur í kviðarholi, hækkandi aldur, reykingar og vöðva- og bandvefssjúkdómar.3,4
Tilhneiging botnlangans að leita í lærisganginn má hugsanlega rekja til aukinnar stærðar og hreyfanleika botnristils (caecum), botnristils sem liggur neðarlega í grindarholinu á grunni vansnúnings (malrotation) á görn eða ef um er að ræða langan botnlanga. Botnlangabólga í De Garengeot-kviðsliti er yfirleitt í kjölfar utanaðkomandi þrýstings frá lærisganginum fremur en vegna hindrunar innan botnlangans, til dæmis vegna hægðasteins, líkt og algengara er við hefðbundna botnlangabólgu.1
Algengasta birtingarmynd De Garengeot-kviðslits er aum fyrirferð í nára en yfirgnæfandi fjöldi þeirra koma fyrir hægra megin. Roði í nára finnst í þriðjungi tilfella en er algengari ef um er að ræða rof (perforation) á botnlanganum. Það er meiri hætta á að læriskviðslit séu innklemmd eða að innihald kviðslits verði fyrir blóðþurrð (strangulation) samanborið við önnur kviðslit og stafar það líklega af því hversu þröngur lærisgangurinn er. Þessi líffærafræðilegu þrengsli gera það hins vegar að verkum að líkur á að sýking dreifist yfir í kviðarholið eru minni en ef botnlanginn er innan kviðarhols og því yfirleitt ekki merki um lífhimnubólgu hjá einstaklingum með De Garengeot-kviðslit.1,3 Mismunagreiningar við De Garengeot-kviðslit eru meðal annars aðrar gerðir læriskviðslits, nárakviðslit, stækkaðir náraeitlar, fituæxli, ígerð og bláæðabólga.5
De Garengeot-kviðslit greinast oftast í aðgerð en einungis þriðjungur tilfella hefur staðfesta greiningu fyrir aðgerð og þá oftast með tölvusneiðmynd eins og í ofangreindu tilfelli. Tölvusneiðmynd hefur þó aðeins í kringum 60-70% næmi í að greina De Garengeot-kviðslit.1,2,6 Staðfest greining fyrir aðgerð hefur verið tengd við lægri tíðni fylgikvilla og styttri sjúkrahússlegu í kjölfar aðgerðar.1
Vegna þess hve sjaldgæf de Garengeot-kviðslit eru, hafa engar rannsóknir verið gerðar þar sem mismunandi meðferðarúrræði hafa verið skoðuð. Meðferðin er háð reynslu og mati skurðlæknisins ásamt ástandi sjúklingsins hverju sinni.2 Almennt er mælt með botnlangatöku og síðan viðgerð á kviðslitinu, með eða án nets.7 Guenther og félagar lögðu til flokkunarkerfi á de Garengeot-kviðsliti með tilliti til þess hve bólginn botnlanginn er við aðgerð (tafla I) ásamt fjórum tillögum sem er ætlað að aðstoða við frekari ákvörðun á meðferð.
Samkvæmt þeirra kerfi á að íhuga kviðsjáraðgerð hjá klínískt stöðugum einstaklingum með fyrirfram greint De Garengeot-kviðslit en varast það ef grunur er um rof á botnlanga eða ígerð (abscess) í kjölfar þess (flokkur 5). Þá leggja þeir til botnlangatöku hjá öllum þeim sem eru með bólginn botnlanga (flokkur 2 og hærra) en ef botnlangi er eðlilegur þarf að skoða hvert tilfelli fyrir sig með tilliti til þess hvort æskilegt sé að fjarlægja hann. Ef framkvæmd er opin aðgerð og það er mögulegt að fá botnlangann í heild sinni fram í sárið þá er ekki talin þörf á að fara inn í kviðarhol. Hins vegar þarf að íhuga kviðsjárspeglun ef um er að ræða einkenni garnastíflu, ef myndrannsóknir fyrir aðgerð sýna annað innhald í lærisganginum fyrir utan botnlangann eða ef ekki er hægt að tryggja að hægt sé að draga kviðslitssekkinn til baka að fullu. Loks er ráðlagt að leggja net ef lítill grunur er um mengað aðgerðarsvæði þegar kviðslitið er lagfært til að minnka líkur á endurkomu.1 Almennt er samstaða um það að ef botnlanginn er ekki rofinn eða ígerð á aðgerðarsvæðinu að þá sé mögulegt að leggja net án aukinnar sýkingarhættu.2,3,5
Þrátt fyrir að De Garengeot-kviðslit sé sjaldgæft fyrirbæri er mikilvægt að hafa það í huga sem mismunagreiningu við uppvinnslu á sjúklingi með fyrirferð í nára. Á það sérstaklega við um eldri konur með einkenni og teikn um blóðþurrð í innihaldi kviðslitsins. Íhuga ætti tölvusneiðmynd fyrir aðgerð ef ástand sjúklings leyfir þar sem það hefur verið tengt við betri árangur. Mikilvægt er fyrir skurðlækna að vera viðbúna því að taka ákvörðun um meðferð ef De Garengeot-kviðslit greinist fyrir eða í aðgerð.
Heimildir
| 1. Guenther TM, Theodorou CM, Grace NL, et al. De Garengeot hernia: a systematic re--view. Surg Endoscopy 2021; 35: 503-13. https://doi.org/10.1007/s00464-020-07934-5 PMid:32880011 PMCid:PMC7855214 |
||||
| 2. Fousekis FS, Christou PA, Gkogkos S, et al. A case of De Garengeot's hernia with acute appendicitis and literature review. Int J Surg Case Rep 2018; 49: 55-7. https://doi.org/10.1016/j.ijscr.2018.06.007 PMid:29960210 PMCid:PMC6039706 |
||||
| 3. Kalles V, Mekras A, Mekras D, et al. De Garengeot's hernia: a comprehensive review. Hernia 2013; 17: 177-82. https://doi.org/10.1007/s10029-012-0993-3 PMid:22983696 |
||||
| 4. Talini C, Oliveira LO, Araújo ACF, et al. De Garengeot hernia: Case report and review. Int J Surg Case Reports 2015; 8: 35-7. https://doi.org/10.1016/j.ijscr.2014.12.042 PMid:25622240 PMCid:PMC4353942 |
||||
| 5. Sommerhalder B, Burger R, Bueter M, et al. An unusual reason for an inguinal swelling: De Garengeot's hernia. J Surg Case Rep 2021; 3: rjab083. https://doi.org/10.1093/jscr/rjab083 PMid:33777353 PMCid:PMC7984844 |
||||
| 6. Linder S, Linder G, Månsson C. Treatment of de Garengeot's hernia: a meta-analysis. Hernia 2019; 23: 131-41. https://doi.org/10.1007/s10029-018-1862-5 PMid:30536122 PMCid:PMC6394699 |
||||
| 7. Piperos T, Kalles V, Al Ahwal Y, et al. Clinical significance of de Garengeot's hernia: A case of acute appendicitis and review of the literature. Int J Surg Case Rep 2012; 3: 116-7. https://doi.org/10.1016/j.ijscr.2011.12.003 PMid:22288062 PMCid:PMC3267278 |
||||
