09. tbl. 109. árg. 2023
Fræðigrein
Hin mörgu andlit streptókokka af flokki A: Tilfellaröð ífarandi sýkinga af barnadeild
Ágrip
Á síðastliðnum mánuðum hefur nýgengi ífarandi sýkinga af völdum streptókokka af flokki A (Streptococcus pyogenes) farið vaxandi alls staðar í heiminum. Á Barnaspítala Hringsins greindust 20 slík tilfelli á fjögurra mánaða tímabili, en fram að því höfðu að meðaltali eitt til tvö börn greinst með ífarandi GAS-sýkingu árlega. Til þess að sýna fram á breytilega birtingarmynd þessara ífarandi sýkinga hjá börnum voru valin fjögur tilfelli til umfjöllunar í þessari tilfellaröð. Greint er frá ígerð í fleiðruholi með heilkenni sýklaeiturslosts, heilahimnubólgu, ígerð í augntótt og fellsbólgu í fæti.
Greinin barst til blaðsins 26. maí 2023, samþykkt til birtingar 3. júlí 2023.
Inngangur
Streptókokkar af flokki A (GAS) (Streptococcus pyogenes), eru bakteríur af gerð Gram-jákvæðra kokka sem vaxa í keðjum. Rannsóknir hafa sýnt að allt að 14% barna eru einkennalausir berar1 en GAS eru líka algengir sýkingarvaldar og geta haft margvíslegar klínískar birtingarmyndir. Algengastar eru einfaldar sýkingar eins og hálsbólga, skarlatssótt og húðsýkingar en ífarandi og alvarlegar sýkingar eins og blóðsýkingar, beina- og liðsýkingar, djúpar mjúkvefjasýkingar, heilahimnubólgur og lungnabólgur þekkjast einnig. Í kjölfar streptókokkasýkinga geta svo fylgt ýmsir ónæmisfræðilegir fylgikvillar, svo sem gigtsótt (rheumatic fever) og gauklabólga (postinfectious glomerulonephritis).2-4
Sýkingar af völdum GAS eru níundu algengustu dánarorsakir af völdum smitsjúkdóma í heiminum samkvæmt Alþjóðaheilbrigðisstofnuninni5 og þar vega ífarandi sýkingar þungt, ásamt ónæmisfræðilegum fylgikvillum. Nýgengi ífarandi sýkinga hjá börnum hefur verið á bilinu 1-3/100.000 börn árlega í vestrænum löndum6,7 en seinni part ársins 2022 tók að bera á vaxandi nýgengi slíkra sýkinga í ýmsum Evrópulöndum og víðar í heiminum.8,9 Á legudeild Barnaspítala Hringsins hefur einnig fjölgað innlögnum af völdum ífarandi sýkinga af völdum GAS. Samkvæmt upplýsingum frá sýkla- og veirufræðideild Landspítala hafa að meðaltali eitt til tvö börn greinst með ífarandi GAS-sýkingu á ári síðastliðin 50 ár á Íslandi en frá 1. desember 2022 til 1. apríl 2023 hafa greinst 20 slík tilfelli. Markmiðið með þessari tilfellaröð er að sýna fram á fjölbreytta birtingarmynd þessara sýkinga.
Efniviður og aðferðir
Kerfisbundið var farið yfir innlagnir á legudeild Barnaspítala Hringsins frá 1. desember 2022 til 1. apríl 2023 og borin kennsl á börn og ungmenni sem greinst höfðu með ífarandi sýkingu af völdum GAS. Við skilgreindum ífarandi sýkingu sem ræktun á GAS frá venjulega örverulausum líkamsholum eða jákvætt hraðpróf eða bakteríuræktun úr hálsi fyrir GAS, auk alvarlegra fylgikvilla eins og ígerðar í fleiðruholi. Tilfellin voru flokkuð eftir staðsetningu sýkingar og eitt tilfelli úr hverjum flokki óvenjulegra eða alvarlegra sýkinga valið til umfjöllunar. Gögn um sjúklinga voru fengin úr sjúkraskrárkerfi Landspítala. Forsjáraðilar allra barnanna undirrituðu upplýst samþykki fyrir notkun gagnanna og birtingu.
Niðurstöður
Tilfelli 1 – Ígerð í fleiðruholi og heilkenni sýklaeiturslosts
Fjögurra ára gömul stúlka kom á bráðamóttöku barna að kvöldi vegna tveggja daga sögu um hita, hálsbólgu, beinverki og vanlíðan. Fyrr um kvöldið höfðu einkenni farið versnandi, hún hafði sofið mikið og foreldrar haft áhyggjur af stynjandi öndun. Stúlkan var með vægan hósta en ekki önnur kvefeinkenni, hún drakk en hafði minnkuð þvaglát. Við komu gekk hún sjálf inn, reyndist með háan hita 40,7°C, púls var 170 slög á mínútu, öndunartíðni 38/mínútu og mettun 97% án viðbótarsúrefnis. Hún var bráðveik að sjá og með fölva í kringum varir. Útlæg háræðafylling var seinkuð, eða 5 sekúndur, og miðlæg háræðafylling þrjár sekúndur. Lungu voru bæði loftuð við hlustun en með vægt minnkuðum öndunarhljóðum neðst yfir vinstra lunga. Stúlkan stundi en erfiðaði ekki við öndun að öðru leyti. Hún var með væga stækkun á eitlum framanvert á hálsi, í koki sást mikill roði en ekki hvítar skánir. Á húð mátti sjá útbrot sem samrýmdust skarlatssótt og einnig sáust stöku húðblæðingar. Við komu voru hvít blóðkorn 7,8x10E9/L og CRP 455 mg/L. Natríum var 127 mmól/L og kreatínín var hækkað, 95 µmól/L. Talsverð blóðsýring var til staðar með pH 7,27, kolsýra var 15 mmól/L og laktat hækkað, 5,7 mmól/L. Einnig voru blæðingarpróf (PT og APTT) lengd. Hraðpróf fyrir GAS var tekið úr hálsi og reyndist jákvætt.
Í ljósi þess að stúlkan var metin bráðveik var strax unnið að því að koma upp æðaaðgengi og gefa vökva í æð og sýklalyf (ceftriaxone). Rúmri klukkustund eftir komu á bráðamóttöku fór ástand stúlkunnar versnandi. Hún var slappari að sjá, húðlitur á útlimum var orðinn dökkur og stúlkan var köld viðkomu. Blóðþrýstingur mældist lágur, <80 mmHg í útfallsfasa. Þegar var unnið að því að koma upp öðrum æðalegg og fékk hún endurtekna inndælingu af vökva (ringer acetate). Þrátt fyrir það var blóðþrýstingur viðvarandi lágur og klínískt ástand stúlkunnar áfram versnandi. Á þessum tímapunkti vaknaði grunur um sýklaeiturslost (toxic shock syndrome) og clindamycin bætt við meðferð ásamt ónæmisglóbúlínum. Hringt var eftir aðstoð frá gjörgæsluteymi og stúlkan lögð inn á gjörgæslu. Rannsóknir á gjörgæslu leiddu í ljós lungnabólgu í vinstra lunga með talsverðum fleiðruvökva (mynd 1) og var stúlkan lögð í öndunarvél auk þess sem settur var fleiðrukeri þaðan sem kom graftarkenndur vökvi (empyema). GAS ræktaðist bæði úr blóði og fleiðruvökva.
Mynd 1. Röntgenmynd af lungum við innlögn á gjörgæslu. Fleiðruvökvi sést meðfram vinstra lunga ásamt samfalli á lungnavef neðarlega vinstra megin og þéttu vinstra lunga.
Stúlkan var á öndunarvél í 8 sólarhringa og fluttist á barnadeild degi síðar. Fyrst um sinn gekk vel á deildinni en um fjórum sólarhringum seinna fór ástand hennar aftur versnandi með hækkandi hita, aukinni súrefnisþörf og hækkandi sýkingarmerkjum í blóði. Einnig reyndist blóðrauði lækkaður (62 g/L). Hún var því flutt aftur á gjörgæslu 5 sólarhringum eftir komu á deild þar sem hún þurfti aftur öndunarvélarmeðferð í tvo sólarhringa. Ástæða versnunar var talin versnandi sýking og vökvaofhleðsla. Stúlkan fékk blóðgjöf og sýklalyfjameðferð var breikkuð í micafungin og meropenem en ekki tókst að sýna fram á annan upprunastað sýkingar en áður var þekktur. Þessu til viðbótar fékk stúlkan kröftuga þvagræsandi meðferð og batnaði ástand hennar fljótt í kjölfarið. Stúlkan fluttist aftur á barnadeild eftir þriggja daga innlögn á gjörgæslu og útskrifast síðan heim við ágæta líðan 5 dögum síðar. Sýklalyfjagjöf var hætt á útskriftardegi og var hún því á sýklalyfjum í 22 sólarhringa alls.
Tilfelli 2 – Fellsbólga í fæti
Fjórtán mánaða gömul stúlka með sögu um slagæðavíxlun (transposition of the great arteries) og aðgerð vegna þess leitaði á bráðamóttöku barna vegna hita og roða í kringum sár. Hún hafði þá fengið lítið núningssár á ökkla viku fyrr, en daginn fyrir komu fékk hún 40°C hita og roði fór að koma fram í kringum sárið (mynd 2).
Mynd 2. Sár og vægur roði í kring, mynd tekin kvöldið fyrir komu á bráðamóttöku barna.
Að morgni komudags hafði roðinn breitt úr sér umhverfis ökklann og stúlkan verið áfram með hita og vansæl. Stúlkan var með hita við komu en lífsmörk að öðru leyti innan marka. Við skoðun var lítið þurrt sár hliðlægt á hægri ökkla og vel afmarkaður roði í kringum ökklann, upp á miðjan kálfa en ekki niður fyrir hæl. Hafði stúlkan mikil óþægindi yfir rauða svæðinu og grét við snertingu. Að öðru leyti var skoðun ómarkverð. Hraðpróf fyrir streptókokkum var neikvætt, CRP var 116 mg/L og hvít blóðkorn 12,3 x10E9/L. Tekin var ákvörðun um innlögn og hafin sýklalyfjameðferð með cloxacillin og clindamycin vegna gruns um heimakomu (erysipelas). Daginn eftir innlögn hafði roði dreift enn frekar úr sér og náði hann þá niður að tám og upp að hné auk þess sem blöðrumyndun var í húð miðlægt á fótlegg rétt ofan við ökkla (mynd 3).
Mynd 3. Dreifður og útbreiddur roði umhverfis fót og fótlegg, einnig sést blöðrumyndun. Mynd tekin að morgni aðgerðardags, einum og hálfum sólarhring eftir að roði kom fram.
Stúlkan var áfram með mikla verki á svæðinu og engdist um við létta snertingu, jafnvel þó hún væri skoðuð sofandi. Sýkingarmerki í blóði reyndust þá hækkandi, CRP 209 mg/L. Á þessum tímapunkti vaknaði grunur um drepmyndandi fellsbólgu (necrotising fascitis) í fótlegg og var fellsbólga staðfest síðar þann sama dag með segulómun (mynd 4).
Mynd 4. Segulómun af fótlegg sem sýnir þykknuð fell og mikla bólgu.
Stúlkan var þá flutt á skurðstofu þar sem gerðir voru fjórir skurðir á sýkta svæðinu. Þar sáust ummerki um mikla bólgu í undirhúð og felli en ekki merki um drep. Gert var GAS-hraðpróf á vökva úr vöðvahólfi í aðgerð, sem var jákvætt. Í lok aðgerðar var sett sárasuga og stúlkan flutt á gjörgæslu í kjölfarið. Þar var hún meðhöndluð með pensilíni og clindamycin ásamt því að fá staka gjöf af ónæmisglóbúlínum. Á gjörgæslu var hún í fjóra sólarhringa og þar af var hún tvo sólarhringa í öndunarvél, þá helst vegna opinna sára og sáraskipta. Klínískur bati var nokkuð hraður og sárum var lokað 6 sólarhringum eftir fyrstu aðgerð. Hún lauk sýklalyfjameðferð í æð tveimur vikum eftir greiningu og útskrifaðist þá á cefalexin-mixtúru sem hún tók í viku til viðbótar. Stúlkunni hefur vegnað vel eftir útskrift.
Tilfelli 3 – Heilahimnubólga
Fjögurra ára drengur var sendur á bráðamóttöku barna frá heilsugæslu vegna gruns um heilahimnubólgu. Hafði hann þá verið lasinn í fjóra daga með uppköst, hita og vaxandi verk í höfði og eyra. Á komudegi hafði hann verið afar slappur og kvartað yfir nýtilkomnum verk aftan í hálsi. Foreldrar greindu frá því að hann þyrfti orðið aðstoð við gang og að það hafi verið erfitt að vekja hann um morguninn. Til viðbótar hafði hann lítið sem ekkert nærst dagana fyrir komu.
Við skoðun var drengurinn slappur að sjá og þögull, svaraði spurningum en vissi ekki alltaf svörin sem hann átti samkvæmt foreldrum að vera með á hreinu. Hiti var 39,7 °C, súrefnismettun 95% og púls 113 slög á mínútu. Ekkert athugavert kom fram við skoðun á hjarta, lungum eða kvið. Úr vinstra eyra lak gröftur. Drengurinn var metinn hnakkastífur og ljósfælinn. Sjáöldur voru samhverf og brugðust eðlilega við ljósi. Ekki sáust útbrot á húð. Blóðprufur sýndu hvít blóðkorn 22 x10E9/L, CRP 193 mg/L, natríum 128 mmól/L og kolsýru 19 mmól/L. Gerð var mænuástunga, mænuvökvi var skýjaður og mældust hvít blóðkorn 1587, þar af 82% daufkyrningar, glúkósi var lágur, 2,2 mmól/L, og prótein hækkuð, 804 mg/L. Úr mænuvökva ræktuðust GAS.
Drengurinn fékk ceftriaxone og lagðist inn á legudeild Barnaspítala Hringsins. Hann var mjög vansæll og hafði mikla verki fyrstu tvo sólarhringana en á þriðja degi sýndi hann mikil batamerki og komst þá fljótt heim í leyfi á milli sýklalyfjagjafa. Í legu var tekin tölvusneiðmynd af höfði sem sýndi bólgu í vinstra miðeyra en ekki stikilsbólgu (mastoiditis). Drengurinn útskrifaðist við ágæta líðan eftir 9 daga innlögn og kláraði sýklalyfjameðferð um munn. Enn sem komið er hafa heyrnarmælingar verið eðlilegar og ekki hefur orðið vart við aðra fylgikvilla sýkingarinnar.
Tilfelli 4 – Ígerð í augntótt
Átta ára gamall drengur með sögu um astma og endurteknar hálsbólgur af völdum GAS kom á bráðamóttöku vegna augnsýkingar í vinstra auga. Hann hafði þá vaknað með bólgu í augnlokum vinstra megin en verið með kvefeinkenni, hósta og hita í þrjá sólarhringa. Í þeirri komu voru augnhreyfingar óskertar og drengurinn talinn vera með húðsýkingu utan augntóttar. Því var meðferð hafin með amoxicillin + klavulansýru um munn og drengurinn fór heim.
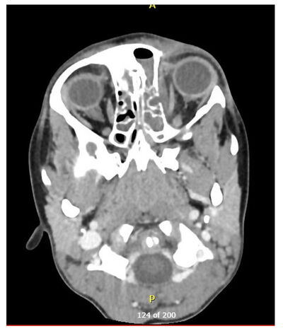
Hálfum sólarhring síðar kom drengurinn aftur á bráðamóttöku, þá með hratt vaxandi einkenni. Mikill og skarplega afmarkaður roði hafði komið fram í kringum bólgna svæðið og einnig hafði drengurinn nýtilkomna verki við allar augnhreyfingar ásamt ljósfælni. Hann hafði vægan roða í koki en kverkeitlar voru eðlilegir og engar eitlastækkanir á hálsi. Drengurinn var með 38°C hita sem svaraði illa hitalækkandi meðferð en lífsmörk voru annars innan eðlilegra marka. Blóðrannsóknir sýndu CRP 89 mg/L og 14,4 x10E9/L hvít blóðkorn. Tölvusneiðmynd af auga sýndi skútabólgu og beinhimnuígerð miðlægt í vinstri augntótt, 20 x 4 mm að stærð (mynd 5), og var hafin meðferð með ceftriaxone og clindamycin í æð.

Mynd 5. Tölvusneiðmynd tekin á innlagnardegi sem sýnir ígerð miðlægt í vinstri augntótt og alskyggða skúta.
Á öðrum degi var gerð aðgerð, þar sem farið var í gegnum nasir og skúta og ígerð þannig tæmd úr augntóttinni. Úr stroki frá bæði nefi og úr skúta ræktaðist GAS. Eftir aðgerð var klínískur gangur góður og einkenni smám saman minnkandi. Clindamycin var stöðvað eftir fjóra sólarhringa en alls hlaut drengurinn 7 daga sýklalyfjameðferð í æð og síðar 10 daga til viðbótar um munn með augmentin.
Önnur tilfelli
Auk ofangreindra tilfella hafa mörg börn til viðbótar greinst með sýkingu af völdum GAS á tímabilinu. Sýkingarstaðir hafa verið fjölbreyttir. Algengastar hafa verið hálsbólgur án fylgikvilla eða minniháttar húðsýkingar, eins hafa eitlabólgur (lymphadenitis) verið talsvert algengar og nokkrar með umtalsverðum einkennum. Einn drengur var með fyrirferðaraukningu á hálsi vegna eitlastækkana sem orsakaði öndunarörðugleika í svefni (mynd 6) og annar drengur reyndist með kverkargrenndarkýli (peritonsillar abscess).
Mynd 6. Bólga í eitlum og grynnri mjúkvefjum í hálsi.
Aðrar ífarandi sýkingar hafa verið til að mynda stikilbólgur (mastoiditis) (mynd 7), blóðsýkingar og mjúkvefjasýkingar.
Mynd 7. Stikilbólga, mikill roði og þroti fyrir aftan eyra sem stendur út.
Í einu tilfelli til viðbótar við fellsbólgu í fæti sem greint var frá að ofan vaknaði grunur um drepmyndandi fellsbólgu í holhönd og vöðvum í brjóstkassa hjá 12 ára stúlku með afar slæma verki og sýkingarlegar blóðprufur. Í því tilfelli reyndist vera ígerð í holhönd, margir vökvapollar í vöðvum, drep í eitlum og mikil bólga á svæðinu en ekki drep í öðrum vefjum. Hún var þó með eitrunarlost og þurfti gjörgæslumeðferð. Fjöldamörg börn með ígerð í fleiðruholi líkt og í tilfelli 1 hafa lagst inn og þurft kera ýmist öðru megin eða beggja vegna. Alls þurftu 8 af 20 börnum með ífarandi GAS-sýkingu á gjörgæslumeðferð að halda.
Umræður
Tilfellin sem hér hefur verið farið yfir eru einungis brot af þeim ífarandi sýkingum sem komið hafa upp síðastliðna mánuði en þau eru ólík og endurspegla þá breidd í birtingarmynd sýkinga af völdum GAS sem sést hefur á Barnaspítala Hringsins á tímabilinu. Það eru nokkrir þættir sem tilfellin eiga sameiginlega, þar ber helst að nefna háan hita og hraðan gang veikinda eða skyndilega mikla versnun einkenna. Í þremur tilfellanna sem greint var frá þurfti skurðtækt inngrip til viðbótar við sýklalyfjameðferð en öll börnin voru meðhöndluð með ceftriaxone eða pensilíni og clindamycin í æð. GAS eru vel næmir fyrir pensilíni og því var stundum skipt í pensilíni eftir að niðurstöður ræktana lágu fyrir. Clindamycin hefur ábendingu í ífarandi streptókokkasýkingum og hamlar eiturefnamyndun bakteríunnar,10 sem hefur samlegðaráhrif með bakteríudrepandi eiginleikum pensilíns.11 Þau börn sem þurftu gjörgæslumeðferð fengu einnig ónæmisglóbúlín í þeim tilgangi að hindra virkni fjölræsivaka (superantigen). Vísbendingar hafa verið um að slík meðferð geti bætt horfur við heilkenni sýklasóttarlosts og er í flestum meðferðarleiðbeiningum þó rannsóknir hafi ekki sýnt fram á marktækan mun á lifun.12,13
Það er ýmislegt sem vert er að velta fyrir sér hvað varðar vinnulag við greiningar á streptókokkasýkingum í samhengi við þessa auknu tíðni ífarandi og alvarlegra sýkinga. Klínískar leiðbeiningar kveða á um að ekki skuli gera hraðpróf sem leitar að streptókokkum í hálsi hjá börnum undir þriggja ára aldri í ljósi hárrar beratíðni.14 Þar kemur einnig fram að hjá eldri börnum skuli einungis taka hraðpróf ef þau uppfylla að minnsta kosti þrjú Centor-lykileinkenni (hiti >38,5°C, aumir/bólgnir eitlar á hálsi, skán á kverkeitlum, enginn hósti).14 Það er ljóst að ekki hefur gagnast að fylgja þessum leiðbeiningum í þeim faraldri sem nú geisar. Til að mynda hefur fjöldi barna þurft á innlögn að halda vegna GAS-sýkinga sem ekki hafa náð þriggja ára aldri, auk þess sem mörg barnanna höfðu skýr einkenni veirusýkingar í upphafi veikinda. Í samræmi við þetta hefur verklagið tímabundið breyst á Barnaspítalanum og víðar og ábendingar fyrir hraðprófum verið rýmri. Þegar faraldurinn líður undir lok verður væntanlega horfið aftur til fyrri verkferla. Þá er einnig ljóst af þessum tilfellum að þegar viðlíka faraldur geisar í samfélaginu er mikilvægt að íhuga möguleika á byrjandi ífarandi GAS-sýkingu sem annars væri talinn ólíklegur sýkingarvaldur eins og í miðeyrnabólgu og heilahimnubólgu. Í þessu samhengi er einnig vert að minnast á að næmi hraðprófa er í kringum 85-95%15 og það þarf alltaf að hafa í huga ef grunur leikur á að sýking geti verið af völdum GAS þrátt fyrir neikvætt hraðpróf. Einnig útilokar neikvætt hraðpróf fyrir GAS úr hálsi ekki GAS-sýkingu á öðrum stöðum í líkamanum.
Almennt er dánartíðni ífarandi streptókokka sýkinga hjá börnum talin vera 2-8%7,16,17 og þrátt fyrir að þó nokkur börn hafi þurft á gjörgæslumeðferð að halda vegna þeirra síðastliðna mánuði, hefur ekkert barn látist á tímabilinu vegna GAS-sýkinga og engin staðfest einkenni langvinnra fylgikvilla. Þessu má líklega þakka hraðri greiningu, lítilli töf á upphafi meðferðar og góðu aðgengi að gjörgæslu. Því verður árangur meðferðar við þessum sýkingum að teljast almennt góður.
Orsökin að baki þessarar miklu aukningar á nýgengi ífarandi GAS-sýkinga er umhugsunarefni. Mögulegt er að nýir og meinvirkari stofnar af GAS hafi komist í dreifingu eða að samspil óvenjulegs fjölda af veirusýkingum, svo sem RSV (respiratory syncytial virus) og inflúensu, leiki mikilvægt hlutverk. Þekkt er að ífarandi sýkingar af völdum GAS koma gjarnan í kjölfarið á veirusýkingum – og sýnt hefur verið fram á tengsl í tíma milli faraldurs inflúensu og aukinnar tíðni -GAS-sýkinga.18 Einnig er vel þekkt samband hlaupabólu og ífarandi GAS-sýkinga19 og því mögulegt að ef bólusetningar gegn hlaupabólu væru ekki hluti af bólusetningaskema íslenskra barna hefði faraldurinn verið enn verri en raun bar vitni. Mögulegt er að lítil útsetning barna fyrir veirusýkingum á COVID tímabilinu valdi því að ýmsar veirur nái tímabundið aukinni útbreiðslu og þar af leiðandi verði aukin hætta á ífarandi bakteríusýkingum.20 Önnur tilgáta er að fyrri COVID-19-sýking geri fólk á einhvern hátt útsettara fyrir ífarandi bakteríusýkingum. Ljóst er að tilefni er til frekari rannsókna á algengi ífarandi sýkinga á næstu árum.
Þakkir
Höfundar kunna Sigurði Björnssyni barnaskurðlækni bestu þakkir fyrir veitta aðstoð við val á mynd 4 og úrlestur.
Heimildir
| 1. Rahmadhany A, Advani N, Djer MM, et al. Prevalence and predicting factors of Group A beta-hemolytic Streptococcus carrier state in primary schoolchildren. Ann Pediatr Cardiol 2021; 14: 471-5. https://doi.org/10.4103/apc.apc_280_20 PMid:35527766 PMCid:PMC9075561 |
||||
| 2. Dietrich ML, Steele RW. Group A Streptococcus. Pediatr Rev 2018; 39: 379-91. https://doi.org/10.1542/pir.2017-0207 PMid:30068739 |
||||
| 3. Walker MJ, Barnett TC, McArthur JD, et al. Disease Manifestations and Pathogenic Mechanisms of Group A Streptococcus. Clin Microbiol Rev 2014; 27: 264-301. https://doi.org/10.1128/CMR.00101-13 PMid:24696436 PMCid:PMC3993104 |
||||
| 4. Stevens DL. Invasive group A streptococcus infections. Clin Infect Dis 1992; 14: 2-11. https://doi.org/10.1093/clinids/14.1.2 PMid:1571429 |
||||
| 5. Carapetis JR, Steer AC, Mulholland EK, et al. The global burden of group A streptococcal diseases. Lancet Infect Dis 2005; 5: 685-94. https://doi.org/10.1016/S1473-3099(05)70267-X PMid:16253886 |
||||
| 6. Nelson GE, Pondo T, Toews KA, et al. Epidemiology of Invasive Group A Streptococcal Infections in the United States, 2005-2012. Clin Infect Dis 2016; 63: 478-86. https://doi.org/10.1093/cid/ciw248 PMid:27105747 PMCid:PMC5776658 |
||||
| 7. Tapiainen T, Launonen S, Renko M, et al. Invasive Group A Streptococcal Infections in Children: A Nationwide Survey in Finland. Pediatr Infect Dis J 2016; 35: 123-8. https://doi.org/10.1097/INF.0000000000000945 PMid:26440814 |
||||
| 8. World Health Organization disease outbreak news: Increased incidence of scarlet fever and invasive Group A Streptococcus infection - multi-country. who.int/emergencies/disease-outbreak-news/item/2022-DON429 - júlí 2023. | ||||
| 9. Increase in Invasive Group A streptococcal infections among children in Europe, including fatalities [press release]. European Centre for Disease Prevention and Control 2022. | ||||
| 10. Smieja M. Current indications for the use of clindamycin: A critical review. Can J Infect Dis 1998; 9: 22-8. https://doi.org/10.1155/1998/538090 PMid:22346533 PMCid:PMC3250868 |
||||
| 11. Yocum RR, Rasmussen JR, Strominger JL. The mechanism of action of penicillin. Penicillin acylates the active site of Bacillus stearothermophilus D-alanine carboxypeptidase. J Biol Chem 1980; 255: 3977-86. https://doi.org/10.1016/S0021-9258(19)85621-1 PMid:7372662 |
||||
| 12. Darenberg J, Ihendyane N, Sjölin J, et al. Intravenous Immunoglobulin G Therapy in Streptococcal Toxic Shock Syndrome: A European Randomized, Double-Blind, Placebo-Controlled Trial. Clin Infect Dis 2003; 37: 333-40. https://doi.org/10.1086/376630 PMid:12884156 |
||||
| 13. Tarnutzer A, Andreoni F, Keller N, et al. Human polyspecific immunoglobulin attenuates group A streptococcal virulence factor activity and reduces disease severity in a murine necrotizing fasciitis model. Clin Microbiol Infect 2019; 25: 512. e7-.e13. https://doi.org/10.1016/j.cmi.2018.07.007 PMid:30025835 |
||||
| 14. Hálsbólga: Þróunarmiðstöð íslenskrar heilsugæslu. throunarmidstod.is/leidbeiningar/strama-verkefnid/halsbolga/ - júlí 2023. | ||||
| 15. Cohen JF, Bertille N, Cohen R, Chalumeau M. Rapid antigen detection test for group A streptococcus in children with pharyngitis. Cochr Database Syst Rev 2016; 7: Cd010502. https://doi.org/10.1002/14651858.CD010502.pub2 |
||||
| 16. Megged O, Yinnon AM, Raveh D, et al. Group A streptococcus bacteraemia: comparison of adults and children in a single medical centre. Clin Microbiol Infect 2006; 12: 156-62. https://doi.org/10.1111/j.1469-0691.2005.01311.x PMid:16441454 |
||||
| 17. Gauguet S, Ahmed AA, Zhou J, et al. Group A streptococcal bacteremia without a source is associated with less severe disease in children. Pediatr Infect Dis J 2015; 34: 447-9. https://doi.org/10.1097/INF.0000000000000587 PMid:25319760 PMCid:PMC4357552 |
||||
| 18. de Gier B, Vlaminckx BJM, Woudt SHS, et al. Associations between common respiratory viruses and invasive group A streptococcal infection: A time-series analysis. Influenza Other Respir Viruses 2019; 13: 453-8. https://doi.org/10.1111/irv.12658 PMid:31237087 PMCid:PMC6692538 |
||||
| 19. Laupland KB, Davies HD, Low DE, et al. Invasive group A streptococcal disease in children and association with varicella-zoster virus infection. Ontario Group A Streptococcal Study Group. Pediatr 2000; 105: E60. https://doi.org/10.1542/peds.105.5.e60 PMid:10799624 |
||||
| 20. Cobo-Vázquez E, Aguilera-Alonso D, Carrasco-Colom J, et al. Increasing incidence and severity of invasive Group A streptococcal disease in Spanish children in 2019-2022. Lancet Reg Health Eur 2023; 27: 100597. https://doi.org/10.1016/j.lanepe.2023.100597 PMid:36895202 PMCid:PMC9989682 |
||||
