07/08. tbl. 105. árg. 2019
Fræðigrein
Asbest og áhrif þess á heilsufar Íslendinga - yfirlitsgrein
doi: 10.17992/lb.2019.0708.241
ÁGRIP
Asbest eru þráðlaga kristölluð sílikat-steinefni sem hafa mismunandi byggingu og eiginleika. Asbestþræðir eru mjög slitsterkir og þola mjög mikinn hita. Það var því algengt að asbest væri notað sem brunavarnarefni, hitaeinangrun og þar sem mikill hiti er notaður. Asbest hefur verið bannað á Íslandi frá 1983 en enn er mikið magn af því í byggingum, skipum og í hitaveituleiðslum. Innflutningur á Íslandi var mikill árin fyrir bann en minnkaði svo ört og er nánast enginn í dag.Við vinnu með asbest myndast nálar- eða þráðlaga asbestryk. Það er þetta ryk sem er hættulegt heilsunni. Biðtími frá útsetningu að sjúkdómi getur verið allt að 40 ár. Asbest berst í lungun við innöndun og getur valdið asbestveiki sem er lungnatrefjunarsjúkdómur með hæga framþróun. Asbest getur einnig valdið góðkynja fleiðruvökva, fleiðruskellum og dreifðum fleiðruþykknunum. Asbest er líka krabbameinsvaldandi. Algengast er lungnakrabbamein en asbest er áhættuþáttur fyrir krabbameinum í fleiri líffærum. Illkynja miðþekjuæxli er algengast í lungnafleiðru en getur sést í fleiri himnum. Nýgengi þessara æxla er hátt á Íslandi og er enn vaxandi hjá körlum. Dánartíðni er hæst á Íslandi af Evrópulöndum. Mikilvægt er fyrir lækna að hafa asbestútsetningu í mismunagreiningu við sjúkdómum í lungum og fleiðru og við greiningu krabbameina.
Barst til blaðsins 20. febrúar 2019, samþykkt til birtingar 17. j´úní 2019.
Inngangur
Hvað er asbest
Orðið asbest kemur úr grísku og merkir það sem ekki eyðist. Asbest er samheiti yfir nokkrar steintegundir sem allar eiga það sameiginlegt að mynda þráðkennda kristalla.1 Þannig er um að ræða þráðlaga kristölluð sílikat-steinefni sem hafa mismunandi byggingu og eiginleika. Þau algengustu eru krýsótíl (hvítt asbest), sem er um 90% af asbestframleiðslu heimsins, krókídólít (blátt asbest), amósít (brúnt asbest), antófyllít, tremólít og aktínólít.2 Asbest er unnið úr námum á svæðum þar sem mikið finnst af því og það er flutt til frekari vinnslu í verksmiðjur þar sem það er molað niður og þræðirnir aðskildir.1,2 Asbest sem steinefni finnst í mjög litlu magni í náttúru Íslands. Kristallabygging asbests gerir það að verkum að hægt er að kljúfa það að endilöngu en þræðirnir eru mun sterkari á lengdina og er það eitt af einkennum á asbestþræði. Ef asbestögn á að teljast þráður verður lengdin að vera að minnsta kosti þrisvar sinnum meiri en breiddin.1,2
Asbestþræðir eru mjög slitsterkir og þola mjög mikinn hita. Það var því algengt að asbest væri notað sem brunavarnarefni, hitaeinangrun og við ýmiss konar iðnað þar sem mikill hiti er notaður. Asbest er enn notað í miklu magni í heiminum, ekki síst í þróunarríkjunum.1 Þar eru í notkun eldri innfluttar vélar frá Vesturlöndum sem framleiða asbestafurðir. Þann 1. janúar 2005 gekk í gildi allsherjarbann við notkun asbests á Evrópska efnahagssvæðinu. Í dag er því bannað að flytja inn, framleiða eða nota asbest á Íslandi.
Við vinnu með asbest þyrlast upp nálar- eða þráðlaga asbestryk.2 Það er þetta ryk sem er hættulegt heilsunni. Margar rykagnirnar eru mjög smáar og léttar og geta svifið um í marga daga. Stærð og lögun þráðanna hafa áhrif á hversu vel þeim gengur að komast inn í líkamann.2
Saga asbestnotkunar
Asbest og eiginleikar þess hafa verið þekktir um árþúsundir og efnið verið notað allan þann tíma.1,3 Fyrir iðnbyltinguna var það þó sjaldgæft og dýrt efni og í fornöld voru þekktustu námurnar á Kýpur. Sem dæmi má nefna að Faraóar í Egyptalandi voru vafðir með asbestvafningum á tímabilinu frá 2000 til 3000 fyrir Krist. Marco Polo skoðaði asbestnámur í Kína í kringum 1300 til 1400 og Benjamin Franklín kom árið 1724 með tösku úr asbesti til Englands.4 Í iðnbyltingunni í kringum 1880 jókst notkun á asbesti mikið þegar fór að vanta hitaeinangrun fyrir gufuvélar. Þegar tekið var að framleiða farartæki úr málmi í stað timburs þurfti betri einangrun en til þess hentaði asbestið vel. Eftir 1945 jókst notkun á asbesti í heiminum og í kringum 1970 var asbest notað í þúsundir ólíkra vörutegunda í misjafnlega miklu magni. Dæmi um efni eða vörur sem innihéldu asbest eru ýmis byggingarefni, eins og þakklæðningar, veggklæðningar, efni í eldvarnaveggjum, gólfefni, pípulagnir og hitaeinangrun.
Á seinni hluta nítjándu aldar og fyrri hluta tuttugustu aldar voru áhrif asbests á heilsu ekki almennt þekkt og notkun á asbesti var ekki háð neinum takmörkunum. Á áratugnum milli 1920 og 1929 var asbestveiki fyrst lýst.5,6,7 Árið 1930 birtust niðurstöður faraldsfræðirannsókna sem tengdu asbestveiki við útsetningu fyrir asbesti í vinnu.8 Greinin ályktaði að asbestveiki væri atvinnusjúkdómur sem hægt væri að koma í veg fyrir. Í kringum 1935 var þekkt að þeim sem vinna við asbest er hættara við lungnakrabbameini og uppúr 1950 var orðið ljóst að asbest er krabbameinsvaldur.9,10,11 Árið 1960 voru birtar rannsóknir sem sýndu tengsl asbests við miðþekjuæxli í fleiðru í asbestnámumönnum í Suður Afríku.12 Fljótlega eftir það var miðþekjuæxlum lýst í fleiri líffærum. Notkun asbests hélt þó áfram í miklum mæli, ekki síst vegna þess hversu þýðingarmikið það var í efnahagslegu tilliti. Það var ekki fyrr enn uppúr 1970 að reynt var að takmarka notkun asbests.14 Það er síðan árið 1983 sem fyrsta íslenska reglugerðin sem takmarkar notkun á asbesti kom fram.
Hættan sem fylgir asbesti er enn til staðar á Íslandi í dag því mikið magn asbests finnst enn í byggingum, lögnum, vélum og bátum sem þarf að rífa eða gera við. Þessi staðreynd setur þær kröfur á stjórnvöld og fyrirtæki að til séu reglur sem hægt er að vísa til í slíkum tilfellum til að koma í veg fyrir frekara heilsutjón sem getur hlotist af asbesti. Vinnueftirlitið hefur sett slíkar reglur og heldur námskeið til að fræða þá sem eru að vinna við niðurrif asbests.
Almennt má skipta útsetningu fyrir asbesti í þrennt. Í fyrsta hópi eru þeir sem vinna í námum þar sem asbest er sótt úr jarðefnum. Í þessum hópi eru einnig þeir sem starfa í verksmiðjum sem vinna asbest og búa til afurðir eins og asbestsement. Þessi hópur verður fyrir mestri útsetningu. Í hópi tvö eru þeir sem hafa unnið með asbestafurðir. Þar má nefna pípulagningamenn, trésmiði og byggingaverkamenn. Einnig skipasmíði og þá sem hafa unnið við einangrun á hitaveitu- og öðrum rörum. Þá má einnig nefna bifvélavirkja og sjómenn, einkum þá sem unnu í vélarrúmi skipa. Þessi hópur hefur verið minna útsettur fyrir asbesti en þeir sem taldir eru að ofan. Í þriðja hópi eru þeir sem hafa verið útsettir fyrir minna magni af asbesti og oft í skamman tíma. Þar getur verið um að ræða fjölskyldumeðlimi þeirra sem tilheyrðu hinum hópunum eða fólk sem bjó nærri stöðum þar sem unnið var með asbest.15 Einnig þeir sem unnu eða bjuggu í byggingum sem innihéldu asbest.16 Aldrei hefur verið nein námuvinnsla með asbest á Íslandi og því enginn í þeim flokki hér. Hins vegar voru margir í byggingariðnaði, sjómenn og þeir sem unnu í jarðhitaiðnaði sem voru útsettir á Íslandi. Einnig fjöldamargir í þriðja flokki sem lýst var hér að framan. Það sem ræður mestu um hættuna á asbestmengun er hve mikið af asbesttrefjum eru í efninu og hve auðveldlega þær losna og þyrlast upp í andrúmsloftinu. Asbesttrefjar geta losnað úr öllum varningi sem inniheldur efnið og myndað asbest-ryk en líkur á rykmyndun aukast við það að varan skemmist.17
Asbestinnflutningur til Íslands
Til eru tölur frá Hagstofu Íslands um árlegan innflutning á asbesti frá 1976 til 2014 og er hann sýndur eftir árum í mynd 1 .18 Innflutningur á asbesti náði hámarki árið 1980 og nam þá 3500 tonnum eða sem samsvarar 1500 tonnum á 100.000 íbúa eða 15 kg á íbúa á ári. Þessi mikli innflutningur á milli 1970 og 1980 var vegna umfangsmikilla hitaveituframkvæmda um allt land á þeim tíma þegar allar meginflutningsleiðslur voru einangraðar með asbestsementi og lagðar voru allt að 20 til 50 kílómetra langar leiðslur til að koma á hitaveitu í öllum helstu þéttbýliskjörnum með yfir 10.000 íbúum. Bann við innflutningi asbests tók gildi árið 1983 og minnkaði innflutningur við það mikið en jókst síðan aftur yfir fimm ára tímabil og náði hámarki í 800 tonnum árið 1992 sem samsvarar 299 tonnum á 100.000 íbúa eða 0,3 kg á íbúa á ári og minnkaði svo aftur eftir það. Ekki er vitað um hversvegna svo mikið magn var flutt inn árið 1992 en það er ljóst að það er mun meira magn en kemur í bremsuborðum og öðrum bílavarahlutum því innflutningur hefur verið minna en eitt tonn síðustu ár.
Hver eru áhrif asbests á mannslíkamann?
Asbest brotnar mjög auðveldlega niður og myndar fínsallað asbest-ryk. Rykið er af þeirri stærð að það kemst niður í lungu við innöndun. Rykið líkist helst litlum nálum, sem gerir að verkum að það festist í lungunum við innöndun. Skaðinn kemur oft ekki fram fyrr en 20-40 árum seinna og þá oftast sem asbestveiki (asbestosis), lungnakrabbamein eða fleiðrukrabbamein (mesothelioma) eins og sést í töflu I . Síðustu áratugi hafa fjölmargar rannsóknir sýnt fram á að tíðni krabbameins er meiri hjá þeim hópum sem vinna með asbest en öðrum sambærilegum hópum.19 Vinna með asbest eykur líkurnar á mörgum gerðum krabbameina. Önnur krabbamein sem hafa verið tengd asbesti eru krabbamein í barkakýli, munnholi og koki, nýra, vélinda, og gallvegum.17 Allar þekktar tegundir af asb-esti hafa þessi áhrif.20 Sökum þess hve sjúkdómarnir eru alvarlegir, og af því að þeir gera ekki vart við sig fyrr en löngu eftir að skaðinn er skeður, hafa heilbrigðisyfirvöld í fjöldamörgum löndum tekið þá ákvörðun að banna notkun asbests þegar líklegt þykir að það valdi auknu asbestryki í andrúmslofti. Notkun í bremsuborðum í bílum var hins vegar leyfð til skamms tíma en þar er um að ræða mjög lítið magn. Frá 1. janúar 2005 var slíkt einnig bannað. Reykingar eru mikilvægur áhættuþáttur. Reykingamenn án asbestútsetningar höfðu 11-falda áhættu á lungnakrabbameini en reykingar og asbestútsetning juku áhættuna 59-falt.20 Gildir þetta væntanlega einnig um samspil annarra krabbameinsvalda og asbests þó slíku sé ekki eins vel lýst.
Notkun asbests á Íslandi
Byggingar
Mikið magn af asbesti var notað í ýmsar byggingar á Keflavíkurflugvelli eins og stór flugskýli sem byggð voru fyrir bandaríska herinn. Þá var asbest einnig notað í útihús hjá bændum eins og fjárhús og fjós.
Skip
Vegna eiginleika asbests sem eldvarnarefni, hitaeinangrun og hljóðeinangrun var það mikið notað í íslenskum skipum sem smíðuð voru allt frá 1945 og fram til 1980. Það var sérstaklega mikið notað í vélarrúmum skipa og því voru margir íslenskir vélstjórar útsettir fyrir asbesti.
Hitaveitulagnir
Margar hitaveitur á Íslandi voru stofnaðar eða efldar mikið á árunum milli 1970 og 1980. Asbest var mikið notað til einangrunar á hitaveitulögnum. Búið er að skipta út mörgum af þessum lögnum nú. Þeir sem unnu við uppsetningu þessara hitaveitukerfa og viðhald þeirra urðu fyrir umtalsverðri asbestútsetningu.
Staðan í dag
Í dag er öll vinna við asbest bönnuð nema vegna viðhaldsverkefna þar sem verið er að fjarlægja asbest. Umfang þessarar vinnu er mikið en allir sem koma að slíkri vinnu þurfa að sækja námskeið um hvernig þetta er gert með öruggum hætti. Flestir þeirra sem sótt hafa slík námskeið hafa gert það í tengslum við tiltekin verk. Í dag hafa fleiri en 900 einstaklingar sótt slík námskeið, sem veitir rétt til að fjarlægja asbesteiningar, en gera má ráð fyrir að um sé að ræða yfir 200 verk á síðastliðnum 20 árum. Þessi verkefni hafa verið alls staðar á landinu, í öllum tegundum bygginga og mannvirkja, opinberum sem einkaheimilum sem flest hver hafa verið reist á árunum eftir stríð fram til 1980. Fjöldi verka er ekki að minnka en á árinu 2018 hafa verið veitt 35 leyfi til slíks niðurrifs og gera verður ráð fyrir að fjöldi þessara verkefna muni aukast þegar kemur að stórviðhaldi mannvirkja eftirstríðsáranna fram til 1980. Grundvallaratriði við þessa vinnu er að tryggja réttan hlífðarbúnað og notkun á réttum öndunargrímum við verkið.
Verkefni vegna lauss asbests eru fá og hafa flest tengst veru Bandaríkjahers hér á landi. Vinna vegna slíks krefst mjög sérhæfðrar þjálfunar vegna mikillar hættu á rykmengun. Asbesti ber að farga á viðurkenndum förgunarstöðum.
Asbesttengdir sjúkdómar
Asbestveiki/Asbestosis
Um er að ræða dreifða lungnatrefjun með hægri framþróun sem stafar af innöndun á asbestþráðum.21 Hún er yfirleitt staðsett í neðri blöðum lungnanna og rétt undir fleiðrunni eins og sést á mynd 2 . Í vefjasýnum frá lungum sjást asbestþræðir í tengslum við svæði með bandvefsmyndun í millivef. Vefjamynstrið samræmist mynstri venjulegrar millivefslungnabólgu en ekki sjást mörg trefjafrumuknippi og það sést bandvefsmyndun í fleiðru.22 Einkenni koma oftast fram 20-30 árum eftir asbestútsetningu. Einkennin grundvallast á því að örvefsmyndunin eyðileggur teygjanleika lungnanna. Algengust er vaxandi mæði við áreynslu og brakhljóð geta heyrst við lungnahlustun.23 Við lungnarannsóknir kemur fram herpa með skertum rúmmálum og skerðing á loftdreifiprófi fyrir kolmónoxíði.21,24 Háskerputölvusneiðmynd af lungum sýnir línulegar þéttingar af mismunandi lengd sem liggja rétt undir fleiðru og eru samsíða fleiðrunni.24 Einnig sést í neðri- og afturhlutum lungna bandvefsmyndun með trefjun.25 Það geta verið grófir strengir í lungnavef sem eru 2-5 cm að lengd og tengjast fleiðrunni. Í langt gengnum sjúkdómi sést býkúpumynstur.26 Fleiðruskellur geta sést og eru mikilvægar til að greina frá öðrum gerðum millivefslungnasjúkdóma. Þegar fleiðruvökvi fer saman við millivefslungnasjúkdóm er ástæða til að gruna asbestútsetningu.27 Þrátt fyrir að við greiningu á asbestveiki þá liggi fyrir röntgengreinanlegar breytingar þarf að hafa í huga að starfrænar breytingar geta verið komnar fyrr.28
Hjá sumum leiðir sjúkdómurinn til öndunarbilunar. Engin sérhæfð meðferðarúrræði eru til en almenn stuðningsmeðferð eins og súrefnisgjöf þegar það á við getur hjálpað. Þá getur greinst lungnakrabbamein hjá þeim sem hafa asbestveiki.
Fleiðrusjúkdómar
Góðkynja fleiðruvökvi (benign pleural effusion)
Fleiðruvökvi tengdur asbestútsetningu er oftast eingöngu öðru megin og í litlu magni.29 Hann getur komið fram mörgum árum á undan lungnatrefjun.30 Tíminn á milli asbestútsetningar og tilkomu fleiðruvökva getur verið á bilinu 15 til 45 ár. Einkenni geta verið brjóstverkir og mæði en þegar asbestútsettu fólki hefur verið fylgt eftir með röntgenmyndum hefur fundist að allt að tveir þriðju einstaklinga eru einkennalausir.31 Fleiðruvökvinn getur verið einn sér eða með fleiðruskellum, dreifðum fleiðruþykknunum og kölkunum í fleiðru. Mynd 2 sýnir fleiðruvökva. Fleiðrusamvextir geta myndað vanþenslu útlægt í lunga sem kallað er hringvanþensla vegna lögunar og asbestútsetning er ein algengasta orsök þessa.32 Vökvinn er vilsa og getur verið blóðugur og inniheldur gjarnan rauðkyrninga. Góðkynja fleiðruvökvi getur horfið án meðferðar en getur einnig staðið mánuðum saman.33 Hann getur komið aftur. Fleiðruvökvi er ekki talinn auka áhættu á miðþekjuæxli umfram það sem asbestútsetning skapar.
Fleiðruskella (pleural plaque) og dreifðar fleiðruþykknanir (diffuse pleural thickening)
Fleiðruskellur eru kollagenskellur á fleiðruhimunni og finnast í allt að 60% einstaklinga sem hafa verið útsettir fyrir asbesti í vinnu.34 Þær eru mest áberandi undir rifjum á veggfleiðru. Þær eru beggja vegna og oft eru kalkanir í þeim.35 Fleiðruskellur eru mest áberandi í neðri hlutum lungna og á þind. Dreifðar fleiðruþykknanir eru að jafnaði þykkari en 3 mm og 8 cm að lengd.36 Þessar breytingar auka ekki hættuna á að fá illkynja sjúkdóma sem tengjast asbesti. Myndir 2 og 3 eru tölvusneiðmyndir af fleiðruskellum og á mynd 4 sést vefjasneið frá fleiðruskellu.
Illkynja sjúkdómar
Lungnakrabbamein
Lungnakrabbamein tengt asbesti getur bæði verið af smáfrumugerð og annarri vefjagerð en smáfrumugerð. Oftast líða að minnsta kosti 15–20 ár frá því að einstaklingur er fyrst útsettur fyrir asbesti þar til krabbamein myndast.37 Hollensk rannsókn sýndi fram á að asbestútsetning jók áhættu á lungnakrabbameini meira en þrefalt.20 Önnur rannsókn sýndi að asbestútsetning jók áhættu á lungnakrabbameini sexfalt hjá þeim sem ekki höfðu reykt.38 Þannig eru reykingamenn í mun meiri áhættu á að fá asbestveiki og sjúkdóma tengda henni.
Miðþekjuþekjuæxli í fleiðru/mesóþelíóma
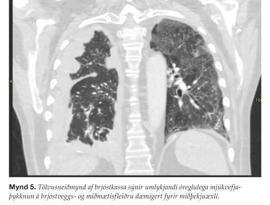
Miðþekjuæxli er krabbamein sem oftast kemur fyrir í lungna-fleiðru en getur þó myndast í öðrum himnum eins og lífhimnu og gollurshúsi.39,40 Þau hafa sterk tengsl við asbest þó aðrir orsakavaldar, svo sem ullarsteinn, séu einnig þekktir orsakavaldar. Biðtími frá asbestútsetningu og þar til æxli greinist er langur, allt að 20-50 ár.41,42 Einkenni eru ósértæk eins og brjóstverkur, hósti og nætursviti. Viðbótareinkenni geta komið fram við innvöxt í önnur líffæri. Miðþekjuæxli þekkist einnig hjá aðstandendum asb-estverkamanna sem komast í snertingu við asbestið með því að meðhöndla klæðnað þess sem vinnur við asbestið.41,42 Mynd 5 er af miðþekjuæxli í fleiðru. Þau greinast oftast með vefjasýni sem gjarna er tekið með nál sem stungið er milli rifja undir leiðsögn tölvusneiðmynda- eða ómtækis. Í öðrum tilvikum fæst greining með brjóstholsspeglun. Frumurannsókn á fleiðruvökva hefur ekki gott næmi til greiningar. Miðþekjuæxli hafa afar slæmar horfur og er lifun oft talin um 9-17 mánuðir. Meðferð beinist fyrst og fremst að því að draga úr einkennum, minnka verki og bæta lífsgæði. Til þess er beitt skurðaðgerðum, geislameðferð og frumudrepandi lyfj-um. Oftast eru notuð fleiri en eitt meðferðarform.43
Veikindi af völdum asbests eru tilkynningarskyld til Vinnueftirlitsins en þau eru skráð í svokallaða atvinnusjúkdómaskrá. Það er á ábyrgð lækna að sjá um tilkynninguna.
Rannsóknir á áhrifum asbests á heilsufar Íslendinga
Árið 1988 skrifuðu Vilhjálmur Rafnsson og samstarfsfólk grein í Scandinavian Journal of Work and Envoronmental Health.44 Greinin fjallaði um íslenska vélstjóra sem útskrifast höfðu úr skóla á árunum 1936 til 1955 og dánarorsakir þeirra og dánartíðni samanborið við aðra Íslendinga. Rannsóknin byggði á gögnum Íslensku krabbameinsskrárinnar frá 1955 til 1982. Stuðst var við dánarmeinaskrá Hagstofu Íslands til að kanna dánarorsakir á árunum 1951 til 1982. Dánartíðni var hærri hjá vélstjórum en hjá almennu þýði. Krabbamein í barka, berkjum og lungum höfðu hærri dánartíðni hjá vélstjórum en í almennu þýði. Hvorki tíðni þessara né annara krabbameina var hærri hjá vélstjórum. Reykingar voru minni hjá vélstjórunum en hjá almennu þýði. Þær ályktanir voru dregnar að atvinnutengdir þættir eins og asbestútsetning gætu átt þátt í hærri dánartíði af völdum lungnakrabbameina.
Árið 2016 birtist í tímaritinu Journal of Occupational Medicine and Toxicology grein eftir Kristin Tómasson og félaga um faraldsfræði illkynja miðþekjuæxla á Íslandi.18 Um var að ræða rannsókn sem byggði á gögnum Íslensku krabbameinsskrárinnar sem hefur verið til frá 1955. Hún skráir ekki tengsl við útsetningu við efni eins og asbest. Stuðst var við dánarmeinaskrá Hagstofu Íslands til að kanna dánarorsakir. Hægt var að meta dánartíðni af völdum miðþekjuæxlis á tímabilinu 1996 til 2014. Til að meta nýgengi miðþekjuæxla var nefnarinn sem notaður var fjöldi tilfella á 10 ára tímabili 1965–1974, 1975–1984, 1985–1994, 1995–2004, og 2005–2014, með samsvarandi mannfjöldatölum 15 ára og eldri sem voru fengnar frá Hagstofu Íslands. Tíu ára tíðnitölurnar voru bornar saman við fyrsta tímabilið 1965–1974, og reiknuð út hlutfallsleg áhætta (RR), og 95 % öryggismörk (CI). Á sama hátt voru dánartölur áætlaðar í átta ára og tíu ára tímabilum 1996-2004 og 2005-2014. Í töflu II sést fjöldi tilfella af illkynja miðþekjuæxlum, tíu ára árlegt nýgengi og 95% öryggismörk fyrir karla og konur. Hjá körlum var stöðug aukning í nýgengi yfir þessi 50 ár sem skoðuð voru en hjá konum voru tölurnar lágar og og ekki augljós aukning. Í töflu III sést aldursdreifing tilfella af illkynja miðþekjuæxlum etir kyni og sést að flestir voru í aldurshópnum 70 til 79 ára. Í töflu IV er sýndur fjöldi tilfella í 10 ára tímabilum frá 1965 til 2014 og hlutfallsleg áhætta þar sem fyrsta tíu ára tímabilið 1965 til 1974 var viðmiðun. Hjá körlum jókst áhættuhlutfall marktækt með tímanum en ekki eins augljóslega hjá konum þótt áhættan ykist með árunum en var ekki tölfræðilega marktæk. Dánartíðni jókst ekki marktækt á 18 ára tímabilinu sem skoðað var. Nýgengi miðþekjuæxla á síðasta tíu ára tímabili rannsóknarinnar var há og er í samræmi við háar nýgengitölur annarra landa í heiminum. Einungis Ástralía, Stóra-Bretland, Belgía og Holland voru með hærri tölur. Þetta er athyglivert í ljósi þess að það eru engar asbestnámur á Íslandi og það hefur heldur ekki verið asbestframleiðsla á Íslandi. Hins vegar var notkun mikil eins og innflutningstölurnar sýna. Í skýrslu um sjúkdómsbyrði vegna asbests í Evrópulöndum var aldursstöðluð dánartíðni af völdum illkynja miðþekjuæxlis hæst á Íslandi, eða 25 á milljón íbúa eins og sjá má í töflu V 45. Það er svipuð tala eins og sást í rannsókn Kristins og félaga eða 22,2 tilfelli á milljón íbúa. Ekki eru til upplýsingar um tengsl asbests við önnur krabbamein á Íslandi. Lungnakrabbamein er mun algengara en miðþekjuæxli en erfitt að meta tengsl þess við asbest og einnig eru reykingar truflandi þáttur. Ef notast er við líkön sem gerð hafa verið til að meta tengsl asbests við lungnakrabbamein má áætla að 6,6 til 9,3% lungnakrabbameina á Íslandi tengist asbestútsetningu.
Ekki er til nein vísindagrein um miðþekjuæxli í fleiðru á Íslandi en í fylgiriti Læknablaðsins birtist útdráttur um frumkomin fleiðruæxli á Íslandi á tímabilinu 1985 til 2016.46 Þar kom fram að á rannsóknartímanum greindust 56 sjúklingar með miðþekjuæxli. Þar af voru einungis 6 konur og meðalaldur hópsins var 71 ár. Algengasta kvörtunin var mæði (80%) og brjóstverkur (55%). Tæp 90% höfðu reykt og 61% verið útsett fyrir asbesti. Við greiningu voru 21% sjúklinga á stigi I, 9% á stigi II og 70% á stigum III eða IV; tæpur helmingur með fjarmeinvörp. Eins og fimm ára lifun var 33% og 3,6%.
Samantekt
Asbest var mikið notað á Íslandi fram að innflutningsbanni árið 1983 og í nokkru magni eftir það. Asbesttengdir sjúkdómar geta bæði verið góðkynja og illkynja og koma einkum fram í fleiðru og lungum. Biðtími eftir að fá asbesttengda sjúkdóma er langur, allt að 40 árum og því eru þeir en að koma fram og verða í talsvert mörg ár til viðbótar. Tíðni illkynja miðþekjuæxla er enn vaxandi á Íslandi en þau hafa mjög sterk tengsl við asbestútsetningu. Ljóst er að vegna umfangs asbests sem ætla má að sé enn í mannvirkjum er þekking á asbesttengdum sjúkdómum enn brýn og verður það á komandi áratugum. Til að greina asbesttengda sjúkdóma er mikilvægt að taka nákvæma atvinnusögu og búsetusögu. Mikilvægt er að muna eftir hugsanlegum tengslum ákveðinna sjúkdóma við asbestútsetningu.
Þakkir
Höfundar þakka Gunnari Júlíussyni lækni og Gunnari Andréssyni lækni fyrir aðstoð við öflun tölvusneiðmynda. Einnig fær Vigdís Pétursdóttir þakkir fyrir mynd af fleiðruskellu. Þá fær Jóhannes Helgason þakkir fyrir yfirlestur og ábendingar.
Heimildir
| 1. Luus K. Asbestos: mining exposure, health effects and policy implications. Mcgill J Med. 2007;10:121-6. | |
| 2. Lippmann M. Effects of fiber characteristics on lung deposition, retention, and disease. Environ Health Perspect. 1990;88:311-7. https://doi.org/10.1289/ehp.9088311 PMid:2272328 PMCid:PMC1568011 |
|
| 3. Ross M, Nolan R. History of asbestos discovery and use and asbestos-related disease in context with the occurrence of asbestos within ophiolite complexes. Geological Society of America, Special Paper 373; 2003. p. 447-70. https://doi.org/10.1130/0-8137-2373-6.447 |
|
| 4. Marco Polo. The Travel of Marco Polo the Venetian. London: JM Dent, 1908. | |
| 5. Cooke WE. Fibrosis of the lungs due to the inhalation of asbestos dust. Br Med J 1924;2:147. https://doi.org/10.1136/bmj.2.3317.147 PMid:20771679 PMCid:PMC2304688 |
|
| 6. Cooke WE. Pulmonary asbestosis. Br Med J 1927;2:1024-5. https://doi.org/10.1136/bmj.2.3491.1024 PMid:20773543 PMCid:PMC2525313 |
|
| 7. McDonald S. Histology of pulmonary asbestosis. Br Med J 1927;2:1025-6. https://doi.org/10.1136/bmj.2.3491.1025 PMid:20773544 PMCid:PMC2525302 |
|
| 8. Tweedale G, Hansen P. Protecting the workers: the medical board and the asbestos industry, 1930s-1960s. Med Hist. 1998;42:439-57. https://doi.org/10.1017/S0025727300064346 PMid:10505398 PMCid:PMC1044072 |
|
| 9. Gloyne SR, Merewether ER. Asbestos. Occupation and Health: encyclopedia of hygiene, pathology, and social welfare. Ginevra: International Labour Office 1938;S1-15. | |
| 10. Doll R. Mortality from lung cancer in asbestos workers. Br J Ind Med 1955;12:81-6. https://doi.org/10.1136/oem.12.2.81 PMid:14363586 PMCid:PMC1037613 |
|
| 11. Nicholson WJ. The carcinogenicity of chrysotile asbestos - a review. Ind Health. 2001;39:57-64. https://doi.org/10.2486/indhealth.39.57 PMid:11341559 |
|
| 12. Wagner JC, Sleggs CA, Marchand P. Diffuse pleural mesothelioma and asbestos exposure in the North Western Cape Province. Br J Ind Med. 1960; 17:260-71. https://doi.org/10.1136/oem.17.4.260 PMid:13782506 PMCid:PMC1038078 |
|
| 13. Keal EE. Asbestosis and abdominal neoplasms. Lancet 1960;2:1211-6. https://doi.org/10.1016/S0140-6736(60)92413-2 |
|
| 14. International Ban Asbestos Secretariat. Graphics: Charts and Maps. Available online: http://www.ibasecretariat.org/graphics_page.php | |
| 15. Reid A, Franklin P, Olsen N, Sleith J, Samuel L, Aboagye-Sarfo P, de Klerk N, Musk AW et al. All-cause mortality and cancer incidence among adults exposed to blue asbestos during childhood. Am J Ind Med. 2013;56:133-45. https://doi.org/10.1002/ajim.22103 PMid:22886909 |
|
| 16. Olsen NJ, Franklin PJ, Reid A, de Klerk NH, Threlfall TJ, Shilkin K, Musk B. Increasing incidence of malignant mesothelioma after exposure to asbestos during home maintenance and renovation. Med J Aust. 2011;195:271-274. https://doi.org/10.5694/mja11.10125 PMid:21895596 |
|
| 17. Wolff H, Vehmas T, Oksa P, Rantanen J, Vainio H. Asbestos, asbestosis, and cancer, the Helsinki criteria for diagnosis and attribution 2014: recommendations. Scand J Work Environ Health 2015;41:5-15. https://doi.org/10.5271/sjweh.3462 PMid:25299403 |
|
| 18. Tomasson K, Gudmundsson G, Briem H, Rafnsson V. Malignant mesothelioma incidence by nation-wide cancer registry: a population-based study. J Occup Med Toxicol. 2016;11:37. https://doi.org/10.1186/s12995-016-0127-4 PMid:27462362 PMCid:PMC4960893 |
|
| 19. Selikoff IJ, Churg J, Hammond E. Asbestos exposure and neoplasia. JAMA. 1964;188:22-6. https://doi.org/10.1001/jama.1964.03060270028006 PMid:14107207 |
|
| 20. van Loon AJ, Kant IJ, Swaen GM, Goldbohm RA, Kremer AM, van den Brandt PA et al. Occupational exposure to carcinogens and risk of lung cancer: results from The Netherlands cohort study. Occup Environ Med 1997; 54:817-24. https://doi.org/10.1136/oem.54.11.817 PMid:9538355 PMCid:PMC1128954 |
|
| 21. Berman DW, Crump KS. A meta-analysis of asbestos- related cancer risk that addresses fiber size and mineral type. Crit Rev Toxicol. 2008;38:49-73. https://doi.org/10.1080/10408440802273156 PMid:18686078 |
|
| 22. Schwartz DA, Davis CS, Merchant JA, Bunn WB, Galvin JR, Van Fossen DS, et al. Longitudinal changes in lung function among asbestos-exposed workers. Am J Respir Crit Care Med 1994; 150:1243-9. https://doi.org/10.1164/ajrccm.150.5.7952547 PMid:7952547 |
|
| 23. Roggli VL, Gibbs AR, Attanoos R, Churg A, Popper H, Cagle P et al. Pathology of asbestosis- An update of the diagnostic criteria: Report of the asbestosis committee of the college of american pathologists and pulmonary pathology society. Arch Pathol Lab Med 2010; 134:462-80. | |
| 24. Elmes PC. The epidemiology and clinical features of asbestosis and related diseases. Postgrad Med J. 1966;42:623-35. https://doi.org/10.1136/pgmj.42.492.623 PMid:5331866 PMCid:PMC2466051 |
|
| 25. Sette A, Neder JA, Nery LE, Kavakama J, Rodrigues RT, Terra-Filho M et al. Thin-section CT abnormalities and pulmonary gas exchange impairment in workers exposed to asbestos. Radiology 2004; 232:66-74. https://doi.org/10.1148/radiol.2321030392 PMid:15220494 |
|
| 26. Arakawa H, Kishimoto T, Ashizawa K, Kato K, Okamoto K, Honma K et al. Asbestosis and other pulmonary fibrosis in asbestos-exposed workers: high-resolution CT features with pathological correlations. Eur Radiol. 2016;26:1485-92. https://doi.org/10.1007/s00330-015-3973-z PMid:26334510 |
|
| 27. Aberle DR, Gamsu G, Ray CS. High-resolution CT of benign asbestos-related diseases: clinical and radiographic correlation. AJR Am J Roentgenol 1988; 151:883-91. https://doi.org/10.2214/ajr.151.5.883 PMid:3263018 |
|
| 28. Wilken D, Velasco Garrido M, Manuwald U, Baur X. Lung function in asbestos-exposed workers, a systematic review and meta-analysis. J Occup Med Toxicol. 2011 Jul 26;6:21. https://doi.org/10.1186/1745-6673-6-21 PMid:21791077 PMCid:PMC3164601 |
|
| 29. Robinson BW, Musk AW. Benign asbestos pleural effusion: diagnosis and course. Thorax 1981; 36:896-900. https://doi.org/10.1136/thx.36.12.896 PMid:7336367 PMCid:PMC471853 |
|
| 30. Copley SJ, Wells AU, Rubens MB, Chabat F, Sheehan RE, Musk AW, et al. Functional consequences of pleural disease evaluated with chest radiography and CT. Radiology. 2001;220:237-43. https://doi.org/10.1148/radiology.220.1.r01jl27237 PMid:11426004 |
|
| 31. Fujimoto N, Gemba K, Aoe K, Kato K, Yokoyama T, Usami I et al. Clinical Investigation of Benign Asbestos Pleural Effusion. Pulm Med 2015; 2015:416179. https://doi.org/10.1155/2015/416179 PMid:26689234 PMCid:PMC4672131 |
|
| 32. Hillerdal G. Rounded atelectasis. Clinical experience with 74 patients. Chest 1989; 95:836. https://doi.org/10.1378/chest.95.4.836 PMid:2924612 |
|
| 33. Eisenstadt HB. Benign asbestos pleurisy. JAMA. 1965;192:419-21. https://doi.org/10.1001/jama.1965.03080180077029 PMid:14282524 |
|
| 34. Paris C, Thierry S, Brochard P, Letourneux M, Schorle E, Stoufflet A, et al. Pleural plaques and asbestosis: dose- and time-response relationships based on HRCT data. Eur Respir J 2009; 34:72-9. https://doi.org/10.1183/09031936.00094008 PMid:19129281 |
|
| 35. Hillerdal G, Lindgren A. Pleural plaques: correlation of autopsy findings to radiographic findings and occupational history. Eur J Respir Dis. 1980;61:315-19. | |
| 36. Jeebun V, Stenton SC. The presentation and natural history of asbestos-induced diffuse pleural thickening. Occup Med (Lond). 2012;62:266-8. https://doi.org/10.1093/occmed/kqs028 PMid:22539640 |
|
| 37. Nielsen LS, Baelum J, Rasmussen J, Dahl S, Olsen KE, Albin M et al. Occupational asbestos exposure and lung cancer-a systematic review of the literature. Arch Environ Occup Health. 2014;69:191-206. https://doi.org/10.1080/19338244.2013.863752 PMid:24410115 |
|
| 38. Hammond EC, Selikoff IJ, Seidman H. Asbestos exposure, cigarette smoking and death rates. Ann N Y Acad Sci 1979; 330:473-90. https://doi.org/10.1111/j.1749-6632.1979.tb18749.x PMid:294198 |
|
| 39. Kradin RL, Eng G, Christiani DC. Diffuse peritoneal mesothelioma: A case series of 62 patients including paraoccupational exposures to chrysotile asbestos. Am J Ind Med 2017; 60:963-7. https://doi.org/10.1002/ajim.22768 PMid:28940402 |
|
| 40. Marsh GM, Riordan AS, Keeton KA, Benson SM. Non-occupational exposure to asbestos and risk of pleural mesothelioma: review and meta-analysis. Occup Environ Med 2017; 74:838-46. https://doi.org/10.1136/oemed-2017-104383 PMid:28935666 |
|
| 41. Hodgson JT, McElvenny DM, Darnton AJ, Price MJ, Peto J et al. The expected burden of mesothelioma mortality in Great Britain from 2002 to 2050. Br J Cancer. 2005;92:587-93. https://doi.org/10.1038/sj.bjc.6602307 PMid:15668716 PMCid:PMC2362088 |
|
| 42. Lacourt A, Lévêque E, Guichard E, Gilg Soit Ilg A, Sylvestre MP, Leffondré K. et al. Dose-time-response association between occupational asbestos exposure and pleural mesothelioma. Occup Environ Med. 2017;74:691-7. https://doi.org/10.1136/oemed-2016-104133 PMid:28501798 |
|
| 43. Kindler HL, Ismaila N, Armato SG 3rd, et al. Treatment of Malignant Pleural Mesothelioma: American Society of Clinical Oncology Clinical Practice Guideline. J Clin Oncol 2018; 36:1343. https://doi.org/10.1200/JCO.2017.76.6394 PMid:29346042 |
|
| 44. Rafnsson V, Jóhannesdóttir SG, Oddsson H, Benediktsson H, Tulinius H, Magnússon G. Mortality and cancer incidence among marine engineers and machinists in Iceland. Scand J Work Environ Health. 1988;:197-200. https://doi.org/10.5271/sjweh.1931 |
|
| 45. Kameda T, Takahashi K, Kim R, Jiang Y, Movahed M, Park EK, Rantanen J. Asbestos: use, bans and disease burden in Europe. Bull World Health Organ. 2014;92:790-7. https://doi.org/10.2471/BLT.13.132118 PMid:25378740 PMCid:PMC4221761 |
|
| 46. Guðmundsdóttir K, Valsdóttir E, Ragnarsson GB, Ísaksson HJ, Harðardóttir H, Ragnarsson S, et al. Frumkomin fleiðruæxli á Íslandi 1985-2016. Læknablaðið E29, fylgirit 93, 2017 | |
