01. tbl. 105. árg. 2019
Fræðigrein
Loftbrjóst beggja vegna eftir nálastungumeðferð á meðgöngu - sjúkratilfelli
Bilateral pneumothoraces in a pregnant woman following acupuncture - a case report
Ágrip
Hér er lýst tilfelli konu á fertugsaldri sem leitaði á bráðamóttöku vegna vaxandi takverks og mæði nokkrum klukkustundum eftir nálastungumeðferð. Nálastungurnar fékk hún vegna meðgönguógleði og uppkasta en hún var þá komin tæpar 15 vikur á leið. Við komu var hún með hvíldarmæði, aukna öndunartíðni og hjartsláttarhraða en súrefnismettun og blóðþrýstingur innan viðmiðunarmarka. Við hlustun voru skert öndunarhljóð yfir lungnatoppum og lungnamynd sýndi nánast algjört samfall á báðum lungum. Komið var fyrir brjóstholskerum beggja vegna sem fjarlægðir voru einum og tveimur dögum síðar og hún útskrifuð heim. Konunni heilsaðist vel eftir útskrift og meðgangan gekk vel í kjölfarið. Þetta tilfelli sýnir að loftbrjóst getur hlotist af nálastungumeðferð ef nálunum er stungið of djúpt í brjóstkassann. Í þessu tilviki hlaust af loftbrjóst beggja vegna sem getur reynst lífshættulegt.
Barst til blaðsins 18. ágúst 2018, samþykkt til birtingar 19. nóvember 2018.
Höfundar fengu samþykki sjúklings fyrir þessari umfjöllun og birtingu.
Inngangur
Loftbrjóst verður þegar loft berst inn í fleiðruholið sem umlykur lungað og veldur því að lungað fellur saman. Við samfallið minnkar rúmmál lungans og loftskipti um lungnablöðrur skerðast þannig að minna súrefni berst til blóðsins.1 Algjört samfall á öðru lunga veldur sjaldnast súrefnisskorti í hvíld ef hitt lungað starfar eðlilega. Hins vegar getur loftbrjóst öðrum megin hjá sjúklingum með dreifðan lungnasjúkdóm og skerta lungnastarfsemi valdið alvarlegum súrefnisskorti. Samfall beggja lungna samtímis getur valdið lífshættulegum súrefnisskorti, jafnvel hjá hraustum einstaklingum.1,2 Algengasta orsök loftbrjósts er rof á litlum blöðrum sem yfirleitt eru staðsettar á lungnatoppum.2 Í langflestum tilvikum verður loftbrjóst aðeins öðrum megin en í einstaka tilfellum getur það orðið beggja vegna; bæði sem sjálfsprottin loftbrjóst en mun oftar vegna áverka.2
Tilfelli
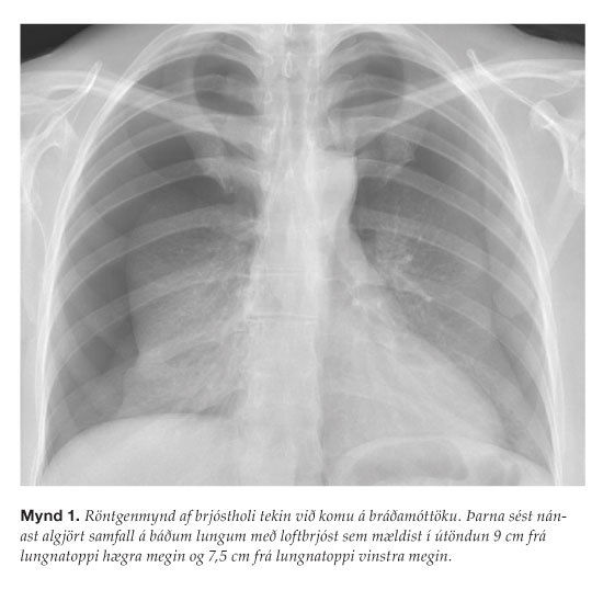
Kona á fertugsaldri sem hafði gengið með í tæpar 15 vikur leitaði á bráðamóttöku Landspítala vegna skyndilegrar mæði og takverks. Hún hafði glímt við ógleði og uppköst á meðgöngunni og því var reynd nálastungumeðferð sem framkvæmd var utan spítala. Að sögn sjúklingsins var fíngerðum nálum stungið neðan við herðablöð beggja vegna, aftan við axlir, en einnig í framanverðan brjóstkassa og neðri útlimi. Strax eftir stungurnar fann hún fyrir mæði og takverk sem ágerðust á næstu klukkustundum. Einkennin héldu áfram að versna og því leitaði hún á bráðamóttöku um 7 klukkustundum eftir nálastungumeðferðina. Við lungnahlustun heyrðust minnkuð öndunarhljóð yfir lungnatoppum beggja vegna. Öndunartíðni var 26/mín í hvíld (viðmið 12-20/mín), súrefnismettun 100% án súrefnis, púls mældist 99/mín og blóðþrýstingur 112/73 mmHg. Á röntgenmynd af lungum sást nánast algjört samfall á báðum lungum með ívið stærra loftbrjósti hægra megin ( mynd 1 ). Blóðrannsóknir voru eðlilegar nema hvít blóðkorn sem voru hækkuð (15,9 x109/L) og kalíum sem var lækkað (3,0 mmól/L). Skömmu eftir komu var brjóstholskerum komið fyrir í bæði fleiðruhol sem tengdir voru við sog og þöndust bæði lungu út við það ( mynd 2 ).
Degi síðar var enginn loftleki í kerunum og því var lokað fyrir þá og sá vinstri fjarlægður. Hægri kerinn var fjarlægður degi síðar. Fylgst var áfram með sjúklingnum á hjarta- og lungnaskurðdeild og hún útskrifuð heim við góða líðan þremur dögum frá komu. Við eftirlit viku síðar lét hún vel af sér og þess má geta að meðgangan gekk vel eftir þetta.
Umræða
Hér er lýst sjaldgæfum en lífshættulegum fylgikvilla eftir nálastungumeðferð á brjóstholi. Svipuðum tilfellum hefur verið lýst áður þar sem bæði lungu hafa fallið saman og eru dæmi um að af því hafi hlotist dauðsföll.4,6,7 Svo fór þó ekki í þessu tilfelli, enda súrefnismettun í hvíld eðlileg þrátt fyrir mikið samfall á báðum lungum. Einungis hefur einu öðru tilfelli verið lýst þar sem þunguð kona fékk loftbrjóst beggja vegna eftir nálastungur, en þeirri meðferð var beitt vegna astma.7
Nálastungumeðferð nýtur sífellt meiri vinsælda á Vestur-löndum. Árið 2002 fóru um 1% allra fullorðinna Bandaríkjamanna í nálastungumeðferð en árið 2012 var hlutfallið um 1,5% fullorðinna Bandaríkjamanna, eða um 3,5 milljónir manna.8,9 Slíkar tölur eru ekki til hér á landi, enda nálastungur sem inngrip ekki eftirlitsskylt. Þó er ljóst að nálastungumeðferð er víða beitt hérlendis við meðgönguógleði og heilbrigðisstofnanir bjóða til að mynda upp á slíka meðferð.10 Nálastungur sem meðferð við ógleði er umdeild, enda hafa niðurstöður verið misvísandi um ágæti hennar borið saman við hefðbundna lyfjameðferð.11,12 Þannig hafa tvær slembirannsóknir borið saman nálastungumeðferð og svokallaða gervinálastungur og reyndist árangurinn svipaður.12-14
Algengustu fylgikvillar nálastungumeðferðar eru verkir á stungustað, minniháttar blæðingar og yfirborðssýkingar.15-17 Alvarlegri fylgikvillar nálastungumeðferðar eru mun fátíðari og hafa stærri rannsóknir sýnt að tíðni loftbrjósts er á bilinu frá 1/50.000 til 125.000 meðferðir.15-18 Tíðni samfalls beggja lungna eftir nálastungumeðferð er hins vegar ekki þekkt en ljóst er að hún er mun lægri. Sýnt hefur verið fram á að þjálfun þess sem veitir meðferðina hefur áhrif á tíðni fylgikvilla15,16 en til að bæta öryggi mætti til dæmis nota nálar með bremsu svo þeim sé ekki stungið of djúpt.
Lokaorð
Þetta tilfelli er ágætis áminning um þá fylgikvilla sem hlotist geta af nálastungum og mikilvægi þess að upplýsa sjúklinga um þá fyrirfram. Hafa verður loftbrjóst í huga sem mismunagreiningu við bráðum brjóstverk og mæði hjá sjúklingi sem farið hefur í nálastungumeðferð.
Heimildir
| 1. Shields T, LoCicero W, Ponn J, Rusch RB VW, ed. General Thoracic Surgery. 6th Edition. Lippincott Williams & Wilkins, Fíladelfíu 2005. | |
| 2. Guðbjartsson T, Tómasdóttir GF, Björnsson J, Torfason B. Sjálfkrafa loftbrjóst. - Yfirlitsgrein. Læknablaðið 2007; 93: 415-24. | |
| 3. Bense L, Eklund G, Wiman LG. Smoking and the increased risk of contracting spontaneous pneumothorax. Chest 1987; 92: 1009-12. https://doi.org/10.1378/chest.92.6.1009 PMid:3677805  | 
|
| 4. Rim T, Bae JS, Yuk YS. Life-Threatening Simultaneous Bilateral Spontaneous Tension Pneumothorax - A case report -. Korean J Thorac Cardiovasc Surg 2011; 44: 253-6. https://doi.org/10.5090/kjtcs.2011.44.3.253 PMid:22263163 PMCid:PMC3249314  | 
|
| 5. Brettel HF. Acupuncture as a cause of death (author's transl). MMW Munch Med Wochenschr 1981; 123: 97-8. PMid:6782461  | 
|
| 6. Oskarsson P, Walker CA, Leigh-Smith S. Bilateral pneumothoraces following acupuncture. BMJ Case Rep 2017. https://doi.org/10.1136/bcr-2017-221310 PMid:28775110  | 
|
| 7. Wright RS, Kupperman JL, Liebhaber MI. Bilateral tension pneumothoraces after acupuncture. West J Med 1991; 154: 102-3. PMid:2024504 PMCid:PMC1002695  | 
|
| 8. Barnes PM, Powell-Griner E. Interview H. Complementary and Alternative Medicine Use Among Adults : United States 2002. 2004; (343). | |
| 9. Clarke TC, Black LI, Stussman BJ, Barnes PM, Nahin RL. Trends in the use of complementary health approaches among adults: United States, 2002-2012. Natl Health Stat Report 2015; 79: 1-16. | |
| 10. Ljósmæðravaktin - dagdeild. hss.is/index.php/skolaheilsugaesla/item/364-ljosmaedhravaktin-dagdeild . - júlí 2018. | |
| 11. Boelig RC, Barton SJ, Saccone G, Kelly AJ, Edwards SJ, Berghella V. Interventions for treating hyperemesis gravidarum. Cochr Datab Syst Rev - maí 2016. | |
| 12. Smith C, Crowther C, Beilby J. Acupuncture to treat nausea and vomiting in early pregnancy: a randomized controlled trial. Birth 2002; 29: 1-9. https://doi.org/10.1046/j.1523-536X.2002.00149.x PMid:11843784  | 
|
| 13. Knight B, Mudge C, Openshaw S, White A, Hart A. Effect of acupuncture on nausea of pregnancy: a randomized, controlled trial. Obstet Gynecol 2001; 97: 184-8. https://doi.org/10.1016/S0029-7844(00)01152-2 https://doi.org/10.1097/00006250-200102000-00005 PMid:11165579  | 
|
| 14. Matthews A, Haas DM, O'Mathúna DP, Dowswell T. Interventions for nausea and vomiting in early pregnancy. Cochr Datab Syst Rev - september 2015. | |
| 15. Ernst E, White AR. Prospective studies of the safety of acupuncture: a systematic review. Am J Med 2001; 110: 481-5. https://doi.org/10.1016/S0002-9343(01)00651-9  | 
|
| 16. Lao L, Hamilton GR, Fu J, Berman BM. Is acupuncture safe? A systematic review of case reports. Altern Ther Health Med 2003; 9: 72-83. PMid:12564354  | 
|
| 17. Melchart D, Weidenhammer W, Streng A, Reitmayr S, Hoppe A, Ernst E, et al. Prospective investigation of adverse effects of acupuncture in 97 733 patients. Arch Intern Med 2004; 164: 104-5. https://doi.org/10.1001/archinte.164.1.104 PMid:14718331  | 
|
| 18. Park J, Sohn Y, White AR, Lee H. The safety of acupuncture during pregnancy: a systematic review. Acupunct Med 2014; 32: 257-66. https://doi.org/10.1136/acupmed-2013-010480 PMid:24554789 PMCid:PMC4112450  | 
|
