05. tbl. 98. árg. 2012
Fræðigrein
Tilfelli mánaðarins: maður með sýklasótt og rauðkornasundrun
Saga
Sjötugur maður með insúlínháða sykursýki kom á bráðamóttöku með háan hita, verk um ofanverðan kvið og uppköst. Einkennin höfðu ágerst undanfarna þrjá sólarhringa. Við komu var hann með hita, 40,5°C, andaði 40 sinnum á mínútu, hjartsláttartíðni var 100 slög á mínútu en blóðþrýstingur var eðlilegur og súrefnismettun án súrefnis sömuleiðis. Hann var vakandi, meðvitund óskert, en litarhaft heiðgult. Eymsli fundust við þreifingu á kvið.
Hvít blóðkorn voru 23,0 x109/L (4,0-10,5), hemóglóbín 105 g/L (134-171), hematokrít 0,34 L/L, kreatínín 77 mmól/L (60-100), blóðflögur 355 x109/L (150-400), glúkósi 23,7 mmól/L (3,9-5,8), laktat 8,7 mmól/L (0,5-1,6) og CRP 152 mg/L (<10). Truflun var á lifrarprófum (ALP 216 IU/L [35-105], GGT 310 IU/L [<115], ALAT 140 IU/L [<70] og heildarbilirúbín 127 µmól/L [5-25]).
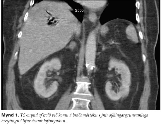
Settur var þvagleggur og kom þá lítið af dökkrauðu þvagi. Strimilpróf sýndi 4+ af sykri og 3+ af ketonum. TS-mynd af kvið sýndi loftmyndun í lifur (mynd 1). Hafin var meðferð með insúlíndreypi og vökva, teknar ræktanir og sjúklingur settur á Ampicillin, Cefuroxím og Metronidazól í æð. Útskilnaður var einungis 15 mL fyrstu fjórar klukkustundirnar og var hann því tengdur við nýrnaskilunarvél. Endurtekin blóðprufa sýndi hvít blóðkorn 21,3 x109/L, hemóglóbín 70 g/L, hematókrít 0,19 og blóðflögur 607 x109/L. Hann fékk samtals fjórar einingar af rauðkornaþykkni og sjö einingar af blóðflögum. Hann féll í blóðþrýstingi, var barkaþræddur og lagður í öndunarvél. Blóðsýni var afar óeðlilegt séð með berum augum, sermi svartleitt (mynd 2). Daginn eftir greindust gram-jákvæðar staflaga bakteríur í blóðræktun.
Hver er sjúkdómsgreiningin?
Svar við tilfelli mánaðarins
Svar og umræða
Sjúklingur var með sýklasóttarlost, blóðstorkusótt (disseminated intravascular coagulation) og bráða nýrnabilun ásamt gríðarlegri sundrun á rauðum blóðkornum (hemolysis). Úr blóðræktun ræktaðist Clostridium perfringens og Escherichia coli, en þvagræktun var neikvæð. Hann fékk blóðþrýstingshækkandi lyf, vökva, blóðgjöf og blóðflögur. Sýklalyfjameðferð var breytt í Piperacillin/Tazobactam í æð. Þrátt fyrir öfluga stuðningsmeðferð fór ástand hans versnandi, með fjöllíffærabilun, hjartastoppi og andláti að morgni þriðja legudags. Við krufningu sást kýli í lifur með drepsvæði í kring og við smásjárskoðun á lifrarvef sáust gram-jákvæðar staflaga bakteríur. Ekki greindust merki um illkynja vöxt eða rof á meltingarvegi.
Clostridium perfringens er loftfirrð, sporamyndandi gram-jákvæð staflaga baktería af ætt Clostridia. Bakterían er til staðar í náttúrunni, bæði í jarðvegi og getur verið hluti af eðlilegri bakteríuflóru í meltingarvegi hraustra manna og dýra. Ekki er óalgengt að C. perfringensvaldi matareitrun.1 Bakterían getur einnig valdið drepi með loftmyndun út frá sárasýkingum, eftir fæðingu, fóstureyðingu eða annað sem veldur rofi á húð eða slímhúðum, til dæmis í meltingarvegi eða gallvegum.2 Sýklasótt með C. perfringens verður oftast hjá ónæmisbældum sjúklingum, eða þeim sem eru með sykursýki og/eða illkynja sjúkdóma,2 en hefur einnig verið lýst hjá hraustum einstaklingum.3
Mikil sundrun á rauðum blóðkornum (massive hemolysis) er sjaldgæfur fylgikvilli C. perfringensblóðsýkingar og tengist afar hárri dánartíðni, 70-100%.4,5 Ástæða þessarar sundrunar er myndun bakteríunnar á a-toxíni, sem er eiturefni sem hefur meðal annars fosfólípasa C virkni.6 a-toxínið ræðst á frumuhimnu rauðra blóðkorna og sundrar þeim, þannig að frítt hemóglóbín lekur út í sermi og getur því orðið mikið misræmi á mæliniðurstöðum fyrir hemóglóbín og hematókrít. Aðeins fáeinar aðrar sýkingar geta valdið eyðingu eða sundrun á rauðum blóðkornum, þar á meðal malaría (sérstaklega Plasmodium falciparum), bartonellosis, babesiosis og sýkingar með shiga-toxínmyndandi bakteríum, þar sem E. coliO157:H7 er þekktasta dæmið (hemolytic-uremic syndrome, HUS, eða rauðkornasundrunar- og nýrnabilunarheilkenni). Ekki er hægt að útiloka þann fræðilega möguleika að E. coli hafi átt einhvern þátt í sjúkdómsmyndinni, enda þótt það hljóti að teljast fremur langsótt. Til viðbótar við a-toxín framleiðir C. perfringensnokkur önnur eiturefni, þar á meðal perfringolysin O sem hefur verið bendlað við blóðstorkusótt í sjúklingum með sýklasótt.7 C. perfringensblóðsýking getur leitt til nýrnabilunar sem getur verið afleiðing lágþrýstings, hemóglóbínmigu og myoglóbínmigu.
Sjúkdómar í lifur og gallvegum eru algengasta uppspretta C. perfringens blóðsýkinga eins og í þessu tilfelli.8 Meðaldánartíðni sjúklinga með C. perfringens sýkingu í blóði er 27%, en sýklasóttarlost, blóðstorkusótt og greinanleg loftmyndun tengist verri horfum8 eins og raunin varð hér. C. perfringens er yfirleitt vel næm fyrir mörgum sýklalyfjum, þar á meðal penicillín-samböndum og er oft mælt með penicillíni G við staðfestum sýkingum. Virkni kefalosporína hefur ekki verið mikið rannsökuð in vivo, enda þótt sýnt hafi verið fram á virkni þeirra in vitro. Upphafsmeðferð með Cefuroxími í æð er algeng hjá sjúklingum með kviðarholssýkingar á skurðdeildum, en telst ekki vera kjörmeðferð C. perfringens blóðsýkinga. Sýklalyfjameðferð var því breytt fljótlega eftir komu. Á hinn bóginn rennir þetta tilfelli og önnur áþekk stoðum undir þá kenningu að hinar slæmu horfur sjúklinga tengist að verulegu leyti myndun bakteríunnar á eiturefnum sem hugsanlega halda áfram að skaða sjúkling þótt bakteríurnar séu drepnar. Ekki er mælt með að gefa sýklalyf þegar um matareitrun af völdum C. perfringens er að ræða.
Heimildir
- Sparks SG, Carman RJ, Sarker MR, McClane BA. Genotyping of enterotoxigenic clostridium perfringens fecal isolates associated with antibiotic-associated diarrhea and food poisoning in north America. J Clin Microbiology 2001; 39: 883-8.
- Rechner PM, Agger WA, Mruz K, Cogbill TH. Clinical features of clostridial bacteremia: a review from a rural area. Clin Infect Dis 2001; 33: 349-53.
- Leal J, Gregson DB, Ross T, Church DL, Laupland KB. Epidemiology of Clostridium species bacteremia in Calgary, Canada, 2000-2006. J Infect 2008; 57: 198-203.
- Rogstad B, Ritland S, Lunde S, Hagen AG. Clostridium perfringens septicemia with massive hemolysis. Infection 1993; 21: 54-6.
- Kreidl KO, Green GR, Wren SM. Intravascular hemolysis from a Clostridium perfringens liver abscess. J Am Coll Surg 2002; 194: 387.
- Hubl W, Mostbeck B, Hartleb H, Pointner H, Kofler K, Bayer PM. Investigation of the pathogenesis of massive hemolysis in a case of Clostridium perfringens septicemia. Ann Hematol 1993; 67: 145-7.
- Bryant AE. Biology and pathogenesis of thrombosis and procoagulant activity in invasive infections caused by group A streptococci and Clostridium perfringens. Clin Microbiol Rev 2003; 16: 451-62.
- Fujita H, Nishimura S, Kurosawa S, Akiya I, Nakamura-Uchiyama F, Ohnishi K. Clinical and epidemiological features of Clostridium perfringens bacteremia: a review of 18 cases over 8 year-period in a tertiary care center in metropolitan Tokyo area in Japan. Intern Med 2010; 49: 2433-7.
