01. tbl. 112. árg. 2026
Fræðigrein
Fyrirspurnum svarar Hákon Örn Grímsson, hakonog@landspitali.is
Greinin barst 19. september 2025, samþykkt til birtingar 21. október 2025
Ágrip
Sjaldgæf orsök gallblöðrubólgu er bakteríusýking af völdum Salmonella. Fylgikvillar hennar geta verið mjög alvarlegir, en eru sjaldgæfir, en þar má nefna fistilmyndun, garnastíflu af völdum gallsteina eða bólgu og jafnvel drep og rof á aðlægum vef eða líffærum.
Hér er farið yfir tilfelli 70 ára karlmanns sem veiktist alvarlega af gallblöðrubólgu af völdum Salmonella. Sýkingin olli sýktu vökvasafni, fistilmyndun í skeifugörn ásamt slagæðabólgu með gúl á gallblöðruslagæð og garnastíflu af völdum gallsteina.
Inngangur
Gallblöðrubólga er nær daglegt viðfangsefni kviðarholsskurðdeildar Landspítala. Oftast stafar hún af gallsteinum sem hafa hindrað flæði galls frá gallblöðru og myndað þannig stíflu og bólguástand. Vari ástandið nógu lengi, leiðir það til sýkingar í gallblöðrunni, þá yfirleitt vegna gram-neikvæðra og/eða loftfælinna baktería. Meðferð við gallblöðrubólgu er aðgerð, en ef sýking hefur staðið yfir lengi er mælt með hægmeðferð (conservative treatment) með sýklalyfjum.
Ef bólguástand verður mikið eða langvarandi, getur myndast fistill frá gallblöðrunni, gjarnan til smágirnis eða ristils. Þá geta gallsteinar komist yfir í görn og getur slíkt valdið garnastíflu.
Bakteríur af stofni Escherichia coli, Klebsiella eða Enterobacter, greinast oft við sýklarannsóknir í gallblöðrubólgu. Salmonella er einnig gram-neikvæð baktería en sjaldgæfur sýkingarvaldur í gallblöðrubólgu, en dæmi eru um að salmonellusýking hreiðri um sig í gallblöðru í kjölfar iðrasýkingar.1
Hér er lýst tilfelli 70 ára karlmanns sem fékk gallblöðrubólgu af völdum salmonellu. Sýkingin olli fjölda alvarlegra fylgikvilla, fistli, garnastíflu og æðagúl.
Tilfelli
Sjötíu ára karlmaður með sögu um bakflæði og vanvirkan skjaldkirtil leitar á bráðamóttöku vegna kviðverkja. Nokkrum mánuðum fyrir núverandi einkenni hafði hann greinst með Salmonella paratyphi í hægðasýni sem höfðu verið tekin vegna langvarandi niðurgangs, kviðverkja og hita. Veikindin byrjuðu á ferðalagi um Suðaustur-Asíu og hafði hann þegar verið meðhöndlaður með sýklalyfjum í æð eftir heimkomu til Íslands. Samhliða því hafði hann fengið gallblöðrubólgu, sem meðhöndluð var með hægmeðferð og til stóð að vísa sjúklingi til kviðarholsskurðlækna með tilliti til gallblöðrutöku síðar.
Við komu á bráðamóttöku var maðurinn meðtekinn af kviðverkjum, fölur og með gulu. Einnig var hann með kaffikorglituð uppköst og svartar hægðir. Hann mældist með hita 38°C, blóðþrýstingur var 131/83 mmHg, púls 97 slög/mín og súrefnismettun 98%. Við skoðun var kviður þaninn með dreifð þreifieymsli, þó mest ofanvert. Grunur vaknaði um endurkomu á gallblöðrubólgu og hafin var meðferð með sýklalyfjum í æð, ceftriaxon og metrónídazól.
Tölvusneiðmynd var gerð sem sýndi vökvasafn í gallblöðrubeði og fistil milli gallblöðru og skeifugarnar. Í blóðprufum kom fram hækkun á lifrarprófum, ASAT 131 U/L (mörk <45 U/L), ALAT 167 U/L (mörk <70), ALP 381 U/L (mörk 35-105), gamma GT 766 U/L (mörk <115), bilirúbín 27 µmól/L (mörk 5-25), lípasi 553 U/L (mörk 13-60) og hækkun á bólgumerkjum CRP 48 mg/L (C-reactive protein, mörk <3), hvít blóðkorn 12,5 x109/L (mörk 4-10,5) sem og lækkun á blóðrauða 82 x1012/L (hemóglóbín, Hb, mörk 134-174). Í blóðprufum sem teknar höfðu verið fyrir komu á bráðamóttöku hafði maðurinn mælst með stöðugt langvinnt blóðleysi sem stóð til að vinna upp með maga- og ristilspeglun.
Maðurinn var lagður inn og var tveimur kerum (drain) komið fyrir í kviðarholi með aðstoð myndgreiningar, einu í gallblöðru og öðru í vökvasafni við gallblöðru. Teknar voru ræktanir frá báðum kerum þar sem ræktast Salmonella paratyphi B með næmi fyrir ceftriaxon. Þrátt fyrir meðferð með viðeigandi sýklalyfjum fékk hann áfram hitatoppa og bólgumerki í blóði og lifrarpróf fóru hækkandi. Því var skipt í breiðvirkara sýklalyf, piperacillin-tazobactam, og tekin ný tölvusneiðmynd sem sýndi óbreytt ástand.
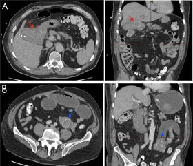
Klínískt ástand hélst óbreytt næstu þrjá daga þar til kviðverkirnir versnuðu til muna og þensla á kvið jókst. Ný tölvusneiðmynd sýndi að gallsteinn, sem áður hafði verið í gallblöðru, var í fjærenda dausgarnar (ileum) og olli garnastíflu (mynd 1).
Bráðaaðgerð var framkvæmd, opin kviðarholsaðgerð þar sem dausgörn var opnuð (enterotomy) og fjarlægður 4 x 5 sm gallsteinn. Í sömu aðgerð var gerð magaspeglun sem sýndi merki um blóðlifrar, en ekki sáust merki um virka blæðingu. Hann var á gjörgæslu yfir nótt en fluttur á legudeild næsta dag. Við komu á legudeild versnaði honum hratt, mældist þá með hraðan hjartslátt og lágan blóðþrýsting. Bráð sneiðmyndaræðarannsókn vakti grun um blæðingu frá gallblöðru og fistilsvæði og í framhaldi var gerð æðaþræðing. Í æðaþræðingu var sýnt fram á gúl á gallblöðruslagæð (pseudoaneurysm), en ekki tókst að þræða leiðara upp í hægri lifrarslagæð vegna æðasamdrátta. Ekki var þó talið að virk blæðing væri til staðar á þeim tíma sem inngripið var gert. Maðurinn var í framhaldi lagður inn á gjörgæslu til frekari stuðningsmeðferðar og eftirlits þar sem hann var í sólarhring og í framhaldi fluttur á legudeild eftir stuðningsmeðferð.
Sjö dögum eftir bráðaaðgerð fær hann kröftuga blæðingu um endaþarm og yfirlið. Ekki þreifast púls og hafin var endurlífgun. Hann varð fljótlega stöðugur og með meðvitund og púls sást við fyrstu taktgreiningu. Í framhaldi var hann fluttur á gjörgæslu með tilheyrandi stuðningsmeðferð. Gerð var ný tölvusneiðmynd sem sýndi vel afmarkaðan 11 mm æðagúl í gallblöðruslagæð (cystica), grein frá hægri lifrarslagæð (hepatica dexter). Gerð var æðaþræðing (mynd 2) og æðastíflun (embolisation) af inngripsröntgenlæknum.
Að því loknu var ástand mannsins stöðugra og fluttist hann að nýju á legudeild við ágætis líðan. Áfram hélt langvarandi sýklalyfja- og stuðningsmeðferð og ekki bar á frekari áföllum. Í veikindunum léttist hann um 25 kg. Hann var útskrifaður af Landspítala 28 dögum frá innlögn yfir á sjúkradeild í heimabyggð. Ástand hans var áfram stöðugt og komst hann heim tveimur dögum síðar á áframhaldandi sýklalyfjameðferð, trímetóprím og súlfametoxazól, um munn.
Eftirfylgd var með skipulagðri endurkomu á göngudeild kviðarholsskurðdeildar Landspítala viku frá útskrift, reglulegum símtölum frá sjúkradeild í heimabyggð og samráði við smitsjúkdómalækna.
Tólf dögum eftir útskrift frá Landspítala lagðist maðurinn aftur inn vegna slappleika og verkja neðarlega vinstra megin í kviði. Lífsmörk voru innan marka en CRP hafði hækkað að nýju. Tölvusneiðmynd sýndi áfram fistil milli gallblöðru og skeifugarnar, loft í gallvegum og þunnt vökvaborð milli gallblöðru og lifrar. Grunur vaknaði um endurtekna sýkingu. Hann fékk meðferð með piperacillin og tazobactam og fór klínískt batnandi að nýju og útskrifaður heim fjórum dögum síðar á dicloxacillin-töflum í samráði við smitsjúkdómalækna.
Á tölvusneiðmynd í eftirliti þremur mánuðum síðar sást að bólgubreytingar höfðu gengið til baka. Fistill var enn til staðar og merki um algjöra lokun á æðagúl. Ekki er talin þörf á að fjarlægja gallblöðruna þar sem fistill er yfir í skeifugörn og hún því vel opin. Nánast engin hætta er því á endurtekinni gallblöðrubólgu vegna þessa og sýkingin af völdum salmonellu hafði verið upprætt. Sjúklingur var útskrifaður úr eftirliti þremur mánuðum eftir innlögn á Landspítala.
Umræða
Nýgengi salmonellusýkinga á Íslandi hefur verið að meðaltali um 16,9-19,9/100.000 íbúa. Í meirihluta tilfella þar sem uppruni smits er þekkt smitast fólk erlendis.2,3 Þar af eru ífarandi sýkingar fáar, eða aðeins í um 4% tilfella.
Einkenni bráðrar salmonellu- iðrasýkingar eru meðal annars niðurgangur, kviðverkir og hiti líkt og í umræddu tilfelli. Einkennin koma oftast fram innan tveggja sólarhringa frá því smit á sér stað og standa veikindin yfirleitt yfir í 3-7 daga. Hafi sýkingin hins vegar dreift sér í blóð vara einkenni lengur og leggst sýkingin þyngra á sjúklinga og getur valdið taugaveiki (typhoid fever). Komist bakterían í blóðið kemst hún til blóðríkra líffæra, svo sem lifrar, milta og beinmergs, en einnig gallblöðru. Þar fjölgar hún sér og getur komist aftur í blóðið, með tilheyrandi slappleika og hita sem gjarna fer stigvaxandi. Bakterían getur dreift sér aftur frá gallblöðru í meltingarveg og valdið sáramyndun í görn (typhoid ulcer).1,2 Að salmonella valdi hins vegar bráðri gallblöðrubólgu, með eða án gallsteina, er sjaldgæfur fylgikvilli sýkingar.1,10 Fylgikvillar geta verið allt frá því að vera vægir yfir í lífshættulegir. Þar sem sjúkdómurinn er landlægur hefur verið lýst fylgikvillum taugaveiki í allt að 26% tilfella og því lengur sem líður að viðeigandi meðferð, því alvarlegri geta þeir orðið. Má þar meðal annars nefna blæðingar í meltingarveg, rof á görn, heilakvilla, hjartaþelsbólgu og gallblöðrubólgu.1
Við mikið bólguástand í gallblöðrunni, óháð ástæðu sýk-ingar, geta myndast samvextir við aðliggjandi vefi, oftast skeifugörn. Ef gallsteinar eru til staðar, geta þeir valdið þrýst-ingi sem getur haft í för með sér staðbundna blóðþurrð (necrosis) í aðlægum vef þannig að gangur, eða fistill, myndast milli hollíffæra. Þar um geta gallsteinar komist yfir í görn.6 Tíðni þessa er um 0,3-0,5% og er orsök garnastíflu í minna en 0,1% tilfella.4 Yfirleitt eru steinar sem valda stíflu stærri en 20 mm6 eða að meðaltali 40 mm í þvermál og valda stíflu í fjærenda dausgarnar (terminal ileum).5 Rof getur orðið á görn ef steinn festist vegna bólgu og þrýstingur þá leitt til blóðþurrðar og rofs. Slíkt er með sjaldgæfari fylgikvillum gallsteinasjúkdóms. Á heimsvísu er dánartíðni gallsteinaorsakaðrar garnastíflu há, eða 7-30%.4,6 Háa dánartíðni má að hluta rekja til þess að oft er um eldri einstaklinga að ræða með alvarlega undirliggjandi sjúkdóma og töf á greiningu.
Helsta greiningaraðferð er tölvusneiðmynd, sem hefur næmi yfir 90% hjá sjúklingum með einkenni garnastíflu, en oft er orsök garnastíflu ekki ljós fyrr en við aðgerð.4,6 Yfirleitt er þá steinninn fjarlægður líkt og í tilfellinu sem hér var lýst en gera þarf hlutabrottnám ef merki eru um blóðþurrð í dausgörn.
Æðagúlar í slagæðum til lifrar er mjög sjaldgæfur fylgikvilli alvarlegra veikinda og skurðaðgerða á lifur- og gallvegum. Fáum tilfellum slíkra æðagúla hefur verið lýst, eða um 70 tilfellum, en oftast myndast þeir í kjölfar aðgerða en gallblöðrubólga, brisbólga, æðabólga og slys eru einnig þekktir orsakavaldar.7,8,9
Í umræddu tilfelli má því telja að bólguástand í gallblöðru sem olli fistilmyndun yfir í smágirni hafi einnig valdið bólgu í slagæðavegg gallblöðruslagæðar með fyrrgreindum afleiðingum. Eingöngu tveimur slíkum tilfellum hefur verið lýst.7 Ekki er talið að ísetning kera í gallblöðru og vökvasafn hafi valdið myndun á æðargúl og gæti ísetning þeirra ekki skýrt myndun æðagúla innan lifrar.
Helstu einkenni æðagúla eru verkir í efri hluta kviðar, gula og blæðing í gallvegi (hemobilia) sem getur komið fram sem efri eða neðri meltingarvegarblæðing. Sjaldan fara öll þessi einkenni saman7,9 en í þessu tilfelli hafði sjúklingur sýnt öll umrædd teikn og þannig uppfyllt svokallaðan Quincke triad, sem er til staðar í 30% tilfella.9
Um er að ræða lífshættulegan fylgikvilla sem oft leiðir til blæðingarlosts.7
Ljóst er að umrætt tilfelli er nær einsdæmi, sér í lagi þar sem margir sjaldgæfir og alvarlegir fylgikvillar salmonellusýkingar og gallsteinasjúkdóms koma fram á skömmum tíma.

Mynd 1. Tölvusneiðmyndir A sýna að gallsteinn (ör) er í gallblöðru. B sýna að steinninn (ör) er kominn neðarlega í smágirni í hæð við mjaðmagrind. Myndirnar eru teknar með þriggja daga millibili.

Mynd 2. Æðaþræðingarmyndataka, hér sést æðagúll í gallblöðruslagæð (ör).
Heimildir
| 1. Marchello CS, Birkhold M, Crump JA. Complications and mortality of typhoid fever: A global systematic review and meta-analysis. Journal of Infection 2020;81:902-10. https://doi.org/10.1016/j.jinf.2020.10.030 PMid:33144193 PMCid:PMC7754788 | ||||
| 2. Ólafsson DÓ. Salmonella sýkingar á Íslandi 2005-2019: Samanburður á sjúklingum með ífarandi sýkingu og iðrasýkingu. Reykjavík: Háskóli Íslands; 2020. https://skemman.is/handle/1946/36889. | ||||
| 3. Sýkla- og veirufræðideild Landspítala. Staðfest tilfelli af Salmonella og Campylobacter í mönnum á Íslandi 1990-2021. Reykjavík: Landspítali; 2021. https://assets.ctfassets.net/8k0h54kbe6bj/6doHc5szxpLY9w5Op4gYyZ/87d41020325b3d10dbeaeb4f8fe40475/SalmCampSTEC_2024.pdf - mars 2025 | ||||
| 4. Turner AR, Sharma B, Mukherjee S. Gallstone Ileus. Í: StatPearls [Internet]. Treasure Island (FL): StatPearls Publishing; 2020. | ||||
| 5. Alemi F, Seiser N, Ayloo S. Gallstone Disease: Cholecystitis, Mirizzi Syndrome, Bouveret Syndrome, Gallstone Ileus. Surgical Clinics of North America 2019;99:231-44. https://doi.org/10.1016/j.suc.2018.12.006 PMid:30846032 | ||||
| 6. Chang L, Chang M, Chang HM, et al. Clinical and radiological diagnosis of gallstone ileus: a mini review. Emergency Radiology 2017;25:189-96. https://doi.org/10.1007/s10140-017-1568-5 PMid:29147883 PMCid:PMC5849656 | ||||
| 7. Patil NS, Kumar AH, Pamecha V, et al. Cystic artery pseudoaneurysm-a rare complication of acute cholecystitis: review of literature. Surgical Endoscopy/Surgical Endoscopy and Other Interventional Techniques 2021;36:871-80. https://doi.org/10.1007/s00464-021-08796-1 PMid:34811584 | ||||
| 8. Robbie R, Amrita R, Adrian C, et al. Cystic artery pseudoaneurysm. Radiology Case Reports 2024;19:1413-8. https://doi.org/10.1016/j.radcr.2023.12.058 PMid:38292804 PMCid:PMC10827550 | ||||
| 9. Zhao Y-Q, Yang Y-Y, Yao S-Y, et al. Hepatic artery pseudoaneurysm: three case reports and literature review. Frontiers in Medicine 2024;11. https://doi.org/10.3389/fmed.2024.1422895 PMid:39050537 PMCid:PMC11266017 | ||||
| 10. Lalitha MK, John R. Unusual manifestations of salmonellosis - a surgical problem. The Quarterly Journal of Medicine 1994;87:301-9. | ||||
