10. tbl. 111. árg. 2025
Fræðigrein
Grein barst 24. febrúar 2025, samþykkt til birtingar 14. júlí 2025
Fyrirspurnum svarar Kristín Huld Haraldsdóttir
Ágrip
Sarpar í gallblöðru eru sjaldgæfir og lítið hefur verið birt um þá í ritrýndum tímaritum. Gjarnan hafa þeir dæmigert útlit á myndgreiningu og oft er hægt að staðfesta greiningu með ómskoðun eða segulómskoðun á gallblöðru. Hér er lýst sjúkratilfelli 61 árs gamals einstaklings sem var vísað á Landspítala vegna margra mánaða sögu um óþægindi, aðallega þrýstingseinkenni, undir hægri rifjaboga. Uppvinnsla leiddi í ljós blöðrulíka fyrirferð á gallblöðru. Viðkomandi gekkst undir skurðaðgerð í kviðsjá þar sem gallblaðra var fjarlægð og vefjagreining sýndi fram á sarp í gallblöðru.
Inngangur
Sarpar (diverticula) eru eins konar pokar sem bunga út úr vegg hols líffæris og eru vel þekkt fyrirbæri í meltingarvegi, sérlega í ristli. Sarpamyndun í gallblöðru er afar sjaldgæf. Raunsarpar (true diverticula) samanstanda af öllum vegglögum líf-færis og eru taldir vera meðfæddir, meðan sýndarsarpar (false diverticula) eru gjarnan afleiðing af undirliggjandi sjúkdómi eða kvillum í gallblöðru.1,2 Hvort sem um ræðir raun- eða sýndarsarpa er hætta á gallstíflu (biliary stasis) og einstaklingar sem greinast geta haft einkenni og teikn sem svipa til verkja vegna gallsteina (biliary colic), gallblöðrubólgu eða gallgangabólgu.3
Tilfelli
Um er að ræða 61 árs gamla konu sem leitar til læknis vegna kviðverkja. Nánar tiltekið endurteknir verkir og þrýstingseinkenni undir hægri rifjaboga og ofarlega fyrir miðjum kvið (epigastrium) í um það bil ár. Verkir voru staðbundnir og án leiðni. Í upphafi fylgdu ógleði og uppköst verkjunum. Hvorki upplifði hún sérstök tengsl við mat né önnur einkenni, svo sem hita eða breytingar á hægðavenjum. Í heilsufarssögu kom fram hækkun á blóðfitum ásamt aðgerð vegna botnlangabólgu mörgum árum fyrr.
Við skoðun hjá lækni voru þreifieymsli fyrir miðjum ofan-verðum kvið, undir hægri rifjaboga og í neðri hægri fjórðungi. Kviður var mjúkur, án sleppieymsla og garnahljóð voru eðlileg. Lífsmörk voru ekki skráð. Niðurstöður blóðrannsókna sýndu eðlileg gildi hvítra blóðkorna, CRP (C-reactive protein) og lifrarpróf voru innan eðlilegra marka.
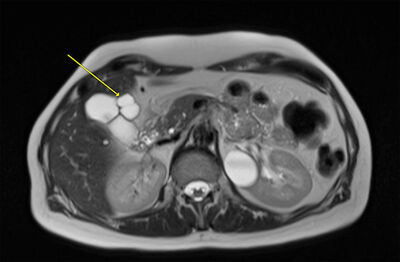
Ómskoðun sýndi belgmein eða blöðrulíkar breytingar miðlægt við gallblöðru sem höfðu einfalt útlit en uppruni þeirra var óljós. Ekki sáust gallsteinar í gallblöðru eða merki um gallblöðrubólgu. Í framhaldi var fengin segulómun af gall- og brisrás (magnetic resonance cholangiopancreatography, MRCP) og sást að um væri að ræða 2 cm stóra vökvafyllta, þunnveggja blöðru með þunnum hálsi inn að gallblöðru, það er að segja, tengsl voru við gallblöðru. Engin víkkun var á gallgöngum. Talið var að umræddar breytingar hefðu útlit sem samrýmdist helst gallblöðrusarpi (Mynd 1). Í uppvinnslu var einnig gerð magaspeglun sem var ómarkverð.
Í kjölfarið var konunni vísað til kviðarholsskurðlækna á Landspítala, þar sem farið var yfir niðurstöður myndgreininga og niðurstaðan sú að einkenni gætu vel tengst umræddri blöðru. Hún gekkst undir gallblöðrutöku nokkrum mánuðum síðar og gekk aðgerð vel. Í aðgerðinni var þess gætt að rjúfa ekki umrædda blöðru þar sem vefjasýni lá ekki fyrir. Útlit gat hins vegar samrýmst gallblöðrusarpi (Mynd 2). Gallblaðra var send í vefjarannsókn. Blaðran mældist 24x14x12 mm og var áföst vegg gallblöðrunnar á um 17x5 mm svæði (Mynd 3). Engin merki sáust um blöðruna á innanverðri gallblöðru. Við opnun á blöðrunni sást ljósgrænn vökvi og var blaðran með skilrúmum sem skipti henni upp í tvö til þrjú hólf. Veggþykkt blöðrunnar mældist innan við 1 mm. Við smásjárskoðun sást að sarpurinn var klæddur útflatri, góðkynja þekju og sáust sléttar vöðvafrumur í vegg sarpsins. Vefjagreining sýndi því fram á að um væri að ræða raunsarp (Mynd 4). Gangur eftir aðgerð var án fylgikvilla, hún varð einkennalaus og útskrifuð úr eftirliti.
Umræður
Sarpar eru vel þekktir í meltingarvegi og kallast raunsarpar, eins og áður hefur komið fram, þegar útbungun verður á öllum lögum hollíffæris sem þeir tilheyra, en annars sýndarsarpar. Raunsarpar eru mjög sjaldgæft fyrirbæri í gallblöðru en þeir sjást í aðeins um 0,0008% þeirra. Jafnframt telja raunsarpar einungis um 0,06% meðfæddra kvilla í gallblöðru.2,3 Í ofangreindu tilfelli er talið að um hafi verið að ræða raunsarp þar sem öll lög komu fram í vegg sarpsins.
Meinmyndun sarpa í gallblöðru er talin vera tvíþætt.2 Annars vegar geta gallblöðrusarpar verið áunnir (acquired) og er meinmyndunin þá líklega svipuð og í hefðbundnum sarpi annars staðar í meltingarvegi, það er þegar aukinn þrýstingur myndast innan gallblöðrunnar með tilheyrandi útbungun á svæðum gallblöðruveggs sem af einhverjum ástæðum er veiklaður. Megin áhættuþáttur fyrir myndun áunna sarpa er talinn vera langvarandi gallblöðrubólga.5,6 Hins vegar geta sarpar í gallblöðru verið meðfæddir (congenital) og teljast þá missmíð sem myndast á fósturskeiði (embryological malformation). Raunsarpar eru taldir myndast með þessum hætti.
Jafnvel þó að raunsarpar séu afar sjaldgæfir í gallblöðru er mikilvægt að þekkja til þeirra og hafa þá í huga sem mismunagreiningu þar sem þeir geta verið einkennagefandi eins og í umræddu tilfelli.

Mynd 1. Segulómun af gall- og brisrás (MRCP) sem sýnir vökvafyllta blöðru (ör) miðlægt við gallblöðru.

Mynd 2. Mynd úr aðgerð þar sem sjá má blöðruna (svört ör) á milli gallblöðru (hvít ör, vinstri) og lifrar (hvít ör, hægri).

Mynd 3. Gallblaðra þar sem þunnveggja blaðra sést vel neðan til (örvar), skorin í tvennu lagi.

Mynd 4. Smásætt útlit sarps. Veggur blöðrunnar sem samanstendur meðal annars af sléttum vöðvaþráðum og er klædd útflattri þekju.
Heimildir
| 1.
Al Saleem MA, AlSaeed ZM, Alhashim IW. Uncommon Presentation of
Xanthogranulomatous Cholecystitis in a True Gallbladder Diverticulum: A
Case Report and Literature Review. Am J Case Rep. 2024 May
17;25:e943843. PMID: 38755958; PMCID: PMC11106793. https://doi.org/10.12659/AJCR.943843 PMid:38755958 PMCid:PMC11106793 | ||||
| | ||||
| 2. Rajguru J, Jain S, Khare S, et al. Embryological basis and clinical correlation of the rare congenital anomaly of the human gall bladder: - "the diverticulum" - a morphological study. J Clin Diagn Res. 2013 Oct;7(10):2107-10. Epub 2013 Oct 5. PMID: 24298450; PMCID: PMC3843413. | ||||
| | ||||
| 3. Chen G, Sha Y, Guo N, et al. Gallbladder Diverticulum as a Rare Disease and a Therapeutic Challenge: A Case Report. Cureus. 2024 Jun 8;16(6):e61932. PMID: 38978901; PMCID: PMC11230613. | ||||
| | ||||
| 4. Chin NW, Chapman I. Carcinoma in a true diverticulum of the gallbladder. Am J Gastroenterol. 1988 Jun;83(6):667-9. PMID: 3132036. | ||||
| | ||||
| 5.
Printes TRM, Rabelo ÍEC, Cauduro JF, et al. Left-sided gallbladder
(LSG) associated with true diverticulum, a case report. AME Case Rep.
2020 Oct 30;4:26. PMID: 33178998; PMCID: PMC7608725. https://doi.org/10.21037/acr-20-55 PMid:33178998 PMCid:PMC7608725 | ||||
| | ||||
| 6.
Mark JB, Melnick GS. Diverticulosis of the gallbladder. Clinical and
radiographic features. Arch Surg. 1964 Mar;88:498-500. PMID: 14088283. https://doi.org/10.1001/archsurg.1964.01310210172028 PMid:14088283 | ||||
