09. tbl. 111. árg. 2025
Fræðigrein
Sjúkratilfelli. Ofhreyfingar í útlimum – óvanaleg birtingarmynd skammvinnrar blóðþurrðar í heila
Fyrirspurnum svarar Brynhildur Thors, bthors@gmail.com
Grein barst 7. mars 2025, samþykkt til birtingar 15. júlí 2025
Ágrip
Ein óvanaleg birtingarmynd skammvinns blóðþurrðarkasts í heila eru ofhreyfingar í útlimum sem má ranglega greina sem staðbundin flog. Algeng undirliggjandi orsök er alvarleg þrenging í hálsslagæðum og er dæmigert að einkenni komi fram þegar sjúklingur stendur á fætur eða lækkar í blóðþrýstingi. Þetta er vangreint ástand. Rétt greining er mikilvæg þar sem sjúklingar eru í töluverðri hættu á að fá alvarlegt slag vegna blóðflæðiskerðingar til heila eða sega frá rofinni skellu í hálsæðinni. Hér er lýst tilfelli 79 ára konu sem leitaði til læknis vegna ofhreyfinga í vinstri útlimum þar sem myndgreining sýndi alvarlega þrengingu (nær lokun) í hægri hálsslagæð og dreifð blóðþurrðarsvæði í samsvarandi heilahveli. Einkenni voru talin á grunni blóðflæðiskerðingar til heila, sem kom helst fram þegar konan stóð á fætur, og höfðu aukist með nýlega aukinni blóðþrýstingsmeðferð. Hún fór í hálsæðaraðgerð (carotid endarterectomy) og náði sér vel.
Inngangur
Skammvinnt blóðþurrðarkast í heila (transient ischemic attack, TIA) er stutt tímabil með einkennum heilablóðfalls sem ekki skilur eftir sig langtíma eftirstöðvar eða varanlegan skaða á heilavefnum. Slíkt kast getur verið undarfari heilaslags og er skjót greining því mikilvæg. TIA-kast með ofhreyfingum í útlimum (limb shaking TIA, LSTIA) er sjaldgæf birtingarmynd blóðþurrðar í heila og lýsir sér í stuttum köstum með ósjálfráðum rykkjóttum hreyfingum í handlegg og/eða fótlegg, stundum með dofa eða máttleysi í sömu útlimum.1 Ástandinu var fyrst lýst af Miller Fisher árið 1962,2 dæmigert er að köstin standi yfir í nokkrar mínútur og endurtaki sig, þannig getur verið snúið að aðgreina þessi einkenni frá staðbundnum flogum við fyrstu sýn.3 Alvarleg þrenging í gagnstæðri hálsslagæð (contralateral carotid artery) eða báðum hálsslagæðum er algeng undirliggjandi orsök og því mikilvægt að rétt greining komi fram þar sem þessi sjúklingahópur er í töluverðri hættu á að fá slag.4 Útleysandi þættir eru aðstæður þar sem blóðflæði um hálsslagæð skerðist, til dæmis við að standa upp, við áreynslu eða við notkun blóðþrýstingslækkandi lyfja.1 Faraldsfræði blóðþurrðarkasta með ofhreyfingum er illa þekkt og algengi var áður talið vera undir 1% TIA-kasta.5 Nýlegri rannsóknir á LSTIA sérstaklega benda þó til hærra algengis þessarar birtingarmyndar TIA-kasta, allt að 3,5-29%.1 Því má ætla að sjúkdómsmyndin sé vangreind og rannsóknir sýna að klínísk útkoma er verri samanborið við TIA-sjúklinga án ofhreyfinga.1 Algengt er að þessir sjúklingar fari í aðgerð á hálsslagæð.
Tilfelli
79 ára kona með háþrýsting, langvinnan lungnasjúkdóm með öndunarbilun (40 pakkaár að baki) og langvinnan nýrnasjúkdóm (stig 4) leitaði á heilsugæslu vegna endurtekinna kasta með ofhreyfingum í vinstri útlimum sem hún hafði fundið fyrir nær daglega í nokkurn tíma. Köstin versnuðu eftir að lerkanídipíni og fúrósemíði var bætt við fyrri blóðþrýstingsmeðferð. Hún hafði farið í víkkun á vinstri nýrnaslagæð árinu áður en þessi einkenni komu fram.
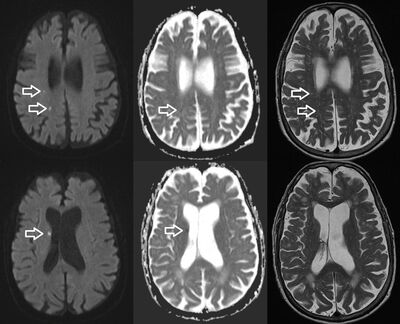
Einkenni komu aðeins fram þegar hún var á fótum, versn-uðu við áreynslu, til dæmis í handlegg þegar hún lyfti honum upp yfir axlarhæð. Hún var einkennalaus í hvíld (sitjandi eða liggjandi). Ofhreyfingarnar lýstu sér eins og grófur skjálfti í handlegg og fótlegg. Í handleggnum kom skjálftinn aðallega fram í framhandlegg og hendi og líktist hvorki hvíldarskjálfta í Parkinsonveiki, ættlægum skjálfta (essential tremor) né reglukenndum kippum eins og í staðflogi. Samhliða þessum ofhreyfingum varð hún dofin í vinstri hendi og fann ekki fyrir því sem hún hélt á og átti það til að missa hluti vegna þessa. Ekki var máttminnkun til staðar. Engin skerðing varð á meðvitund í köstunum sem flest voru mjög áþekk. Vegna þessara einkenna var hún nánast hætt að hreyfa sig, sat eða lá að mestu fyrir. Tölvusneiðmynd (TS) af heila hafði sýnt ósértækar lágþéttnibreytingar á grunni smáæðasjúkdóms, ekki sáust merki um blóðþurrð eða blæðingu. Konan fór í segulómun (MRI) af heila- og hálsmænu. MRI sýndi fjölda smærri blóðþurrðarbreytinga í hægra heilahveli (mynd 1).

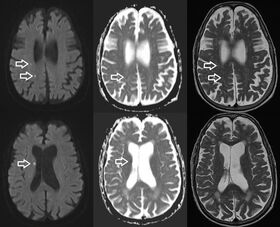
Vegna nýrnabilunar fór hún í ómun af hálsæðum sem sýndi töluverðar þrengingar í báðum fremri hálsslagæðum; nær lokun í innri hálsslagæð hægra megin og um 45% þrengingu í sömu æð vinstra megin (mynd 2). Taugaskoðun var eðlileg. Hún var sett á háskammta statínmeðferð og var fyrir á hjartamagnýli. Einnig var dregið úr blóðþrýstingsmeðferð sem hafði góð en ekki nægjanleg áhrif.
Konan fór í aðgerð á hægri hálsslagæð nokkrum vikum síðar þar sem innri hálsslagæð var opnuð við greiningu æðarinnar (bifurcation). Fjarlægð var skella (plaque) sem var samsett úr þéttu kólesteróli og blóðsega. Aðgerðin var gerð í slævingu og gekk vel. Sjúklingur útskrifaðist heim á fjórða degi eftir aðgerð og var þá laus við einkenni. Við endurmat átta vikum eftir aðgerð sást væg þrenging á æðinni, sem var viðbúið, og sjúklingur hefur áfram verið einkennalaus.
Umræða
Skammvinnt blóðþurrðarkast með ofhreyfingum í útlimum er sjaldgæf birtingarmynd blóðþurrðar í heila. Miller Fisher lýsti fyrstur þessu ástandi sem tengist oft þrengingu í gagnstæðri hálsslagæð eða báðum hálsslagæðum.2 Einkennin eru stutt köst ósjálfráðra hreyfinga í útlimum (yfirleitt < 5 sekúndur), jafnvel með dofa og máttminnkun.1 Hefðbundin TIA-einkenni eru „neikvæð“, það er brottfallseinkenni frá taugakerfi, á meðan ofhreyfingar eru yfirleitt flokkaðar sem „jákvæð“ einkenni í taugalækningum. Því er þessi einkennamynd óvenjuleg sem getur valdið töf á greiningu eða því að LSTIA sé ekki greint. Slíkt getur haft alvarlegar afleiðingar þar sem þessi sjúklingahópur er í töluverðri hættu á alvarlegu slagi vegna hálsæðaþrengingar.
Mismunagreiningar
Ein helsta mismunagreining LSTIA er staðbundið (focal) flogakast. Sú greining er nokkuð algeng hjá þessum hópi og sjúklingur er þá ranglega settur á flogameðferð.1 Nokkur klínísk einkenni geta hjálpað við að greina þessi köst frá flogaköstum. LSTIA fylgir langoftast stöðubreytingum og blóðþrýstingsfalli sem flog gera ekki, auk þess sem einkenni lagast þegar sjúklingur fer í sitjandi eða liggjandi stöðu. Staðbundnir flogakippir í annarri hlið dreifast oft frá handlegg upp í andlit (Jacksonian march), slík dreifing sést ekki í LSTIA. Algengast er að ofhreyfingar vegna LSTIA komi fram í efri útlimum og eru ofhreyfingar mun algengari í útlimum en andliti.1 Hreyfingarnar í LSTIA eru rykkjóttar og óreglulegri en í flogum og sjúklingur tapar ekki stjórn á útlimum nema kastinu fylgi máttminnkun.3 Tíðni hreyfinganna getur verið svipuð og í flogum (3-4Hz) og standa oft yfir í svipaðan tíma og flog (< 2 mínútur).1 LSTIA fylgir ekki flogaára, þvagmissir eða tungubit og meðvitund er yfirleitt eðlileg, ólíkt því sem sést í staðbundnum flogum með meðvitundarskerðingu. Eins er heilarit án flogabreytinga en getur sýnt hægbylgjuvirkni í því heilahveli sem verður fyrir blóðþurrðaráhrifum.3
Orsök og faraldsfræði
Algengt er að LSTIA sé á grunni marktækrar þrengingar í gagnstæðri hálsslagæð2 en algengast er að sjúklingar séu með þrengingar í báðum hálsslagæðum.1 Sú var raunin í þessu tilfelli. Ekki eru til neinar víðtækar rannsóknir á þessu fyrirbæri en því hefur þó oft verið lýst.1 Talið er að árlegt nýgengi einkennagefandi hálsæðaþrengingar sé um sex einstaklingar á hverja 100 þúsund íbúa og að hálsæðaþrenging sé orsök um 15% stærri heilablóðfalla (large artery infarctions).6 Samkvæmt íslenskri rannsókn frá 2013 voru 6% blóðþurrðarslaga vegna marktækra þrengsla í innri hálsslagæð.7 Stór kerfisbundin samantekt með safngreiningu frá 2024 sýndi að algengi LSTIA meðal TIA-sjúklinga var mjög breytilegt, eða 3,5%-29%.1 Rannsóknir hafa sýnt að algengi LSTIA hjá sjúklingum með einkennagefandi hálsæðaþrengingu er frá 11%8 upp í 28,6%.9 Einkennin eru í annarri hlið hjá flestum sjúklingum (83%) og þeim fylgir máttminnkun hjá um þriðjungi sjúklinga.1 Þessi sérstöku einkenni þessa hóps TIA-sjúklinga eru talin tvöfalda áhættu á alvarlegri útkomu bæði til skamms og lengri tíma og auka áhættu á endurteknum áföllum.9 Aðrar æðaþrengingar en hálsæðaþrenging geta legið að baki LSTIA, bæði innankúpu og utankúpu, en þær eru sjaldgæfar.8 Birt hafa verið tilfelli LSTIA á grunni þrengingar á innankúpuslagæð vegna Moyamoya--æðabreytinga,10 á grunni flysjunar í miðhjarnaslagæð (arteria cerebri media) og jafnvel þrengingar á arms- og höfuðsslagæð (arteria brachiocephalica).11Allar eiga þessar undirliggjandi orsakir það sameiginlegt að geta valdið skertu blóðflæði til heilans. Þrengingar hafa oftast þróast yfir lengri tíma og þá má sjá myndun hjáveitna (collateral arteries) á svæðinu. Við aðstæður þar sem blóðflæði svarar ekki eftirspurn, eins og við blóðþrýstingsfall, ná þessar smáu æðar ekki að viðhalda nægilegu blóðflæði til heilans og sjúklingur fær þá einkenni eins og átti við í okkar tilfelli. Einkenni ganga síðan hratt til baka þegar aðstæður lagast, til dæmis þegar sjúklingur sest niður, og er taugaskoðun þá eðlileg. Dæmigerðar aðstæður eru við æfingar, stöðubreytingar (algengast), ofréttingu á hálsi, blóðflæðisþurrð (þurrkur) og blóðþrýstingslækkandi meðferð.1
Ekki er fyllilega ljóst hvernig skert blóðflæði til heila (hypoperfusion) veldur skjálfta í útlimum. Ein tilgátan er sú að skerðingin trufli hreyfibrautir í djúpa hluta heilans (subcortical motor pathways).12 Það er vel þekkt að þessi djúpu svæði, meðal annars djúphnoðu (basal ganglia) og stúka (thalamus), eru mikil-væg í tilurð hreyfitruflunarsjúkdóma. Skerðing dregur úr hemjandi boðum milli djúphnoða og heilabarkar, sem getur orsakað ofhreyfingar eins og sjást í LSTIA. Allmargar rannsóknir hafa sýnt að starfsemi þessara sömu svæða heilans raskist hjá sjúklingum með blóðþurrðarslag og ofhreyfingar í útlimum.5
Greining
Greining felur í sér myndgreiningu af heila- sem og háls- og heilaslagæðum. Tölvusneiðmynd (TS), af æðum, ómun háls- eða heilaæða (Duplex, TCD), æðamynd með inngripi (digital subtraction angiography, DSA) og segulómun (MRI) eru allt aðferðir sem hjálpa til við greiningu. TS-rannsókn og flæðismyndraðir á segulómun geta sýnt svæði sem hafa orðið fyrir blóðþurrð og er þá dæmigert að þær breytingar séu á svokölluðum blóðrásarskilum (watershed) en þau svæði eru viðkvæmust fyrir skertu blóðflæði. Í þessu tilfelli var gerð hálsæðaómun til að greina flæði í hálsslagæðum, sú rannsókn krefst ekki notkunar á skuggaefni sem er óhagstætt hjá nýrnabiluðu fólki. Mat á skertu blóðflæði til heilans má nálgast með flæðirannsóknum eins og TS- eða MRI-flæðismyndum (perfusion), SPECT heilablóðflæðiskönnun eða jáeindarannsókn. Allt rannsóknir sem eru misaðgengilegar og hafa sína kosti og galla. Ekki er neinn gullstandard í þessu og notast er við þær rannsóknir sem finnast á hverjum stað fyrir sig. Í okkar tilfelli fór sjúklingur ekki í neina sérstaka flæðisrannsókn þar sem einkenni og myndrannsóknir þóttu nægjanlegar.
Meðferð
Meðferð þessara sjúklinga felst í því að koma á eðlilegu blóðflæði til heilans og draga úr frekari þróun undirliggjandi æðakölkunarsjúkdóms. Þegar um einkennagefandi hálsæðaþrengingu er að ræða er val á milli lyfjameðferðar, opinnar skurðaðgerðar á hálsæð og innæðaaðgerðar (endovascular -treatment). Sú aðgerð sem oftast verður fyrir valinu og var gerð í þessu tilfelli er opin skurðaðgerð (carotid endarterectomy, CEA eða thrombendarterectomy, TEA). Aðgerðin er ýmist gerð í svæfingu eða staðdeyfingu með slævingu og felur í sér skurð frá eyrnasnepli niður eftir hálsi þar sem æðin er opnuð og þrengingin hreinsuð út. Mögulegir fylgikvillar eru til dæmis dofi á hálssvæði, öndunarerfiðleikar vegna blæðingar og blóðsegarek til höfuðs. Árangur slíkrar meðferðar er yfirleitt mjög góður (88% urðu einkennalaus í fyrrnefndri safngreiningu).1 Tölfræði yfir árangur á Íslandi er ekki til staðar. Einnig er hægt að gera innæðaaðgerð með leiðara frá náraslagæð og leggja stoðnet í hálsæðina. Þessi aðferð hefur verið að ryðja sér til rúms á síðustu árum og sýnir sú tölfræði, sem til er um LSTIA, að árangur þessarar aðferðar er ívið betri en skurðaðgerðar.1 Sá munur hefur þó ekki sést í samanburði þessara meðferða í hálsæðaþrengingum almennt.13 Í völdum tilfellum er frekar farið í lyfjameðferð þar sem áhersla er lögð á að meðhöndla undirliggjandi áhættuþætti hjarta- og æðasjúkdóma og halda uppi viðunandi blóðþrýstingi. Sú meðferð getur skilað góðum árangri hjá sjúklingum með einhliða hálsæðaþrengingu1 og ekki síst við innankúpuþrengingu þar sem töluverð áhætta fylgir inngripi.14 Lyfjameðferð er alltaf sett inn á meðan sjúklingur bíður eftir aðgerð. Algengast er að notuð sé tvöföld blóðflöguhamlandi meðferð (eða önnur blóðþynning í samráði við æðaskurðlækna) og háskammta blóðfitulækkandi lyf. Enn er ekki til öflug tölfræði sem styður eina meðferð fram yfir aðra.
Samantekt
Skammvinn blóðþurrð með ofhreyfingum í útlimum er sjaldgæft og vangreint ástand sem orsakast oftast af þrengingum í hálsslagæð en getur einnig skýrst af öðrum aðstæðum sem valda blóðflæðitruflun til heila. Mikilvægt er að greina á milli þessara óvanalegu TIA-einkenna og flogakasta. Nauðsynlegt er að grípa til viðeigandi meðferðar þar sem þessir sjúklingar eru í hættu á að fá alvarlegt blóðþurrðarslag á grunni blóðflæðiskerðingar til heila eða að segi losni upp til heilans við rof á kólesterólskellu í hálsæðinni. Sjúklingur er ýmist settur á öfluga lyfjameðferð eða flyst á borð æðaskurðlækna. Nýjar rannsóknir benda til að innæðameðferð sé einnig árangursrík og tíðni fylgikvilla lág.
Mynd 1. Segulómun af höfði sýnir litlar segulskærar breytingar í hægra heilahveli á B1000 myndum (örvar í fyrsta dálki) sem að hluta til eru sýnilegar á T2-vigtuðum myndum (örvar í þriðja dálki) en bara nokkrar eru með lágu segulskini á ADC-korti (örvar í öðrum dálki) eins og við skert flæði (diffusionsskerðingu). Þetta útlit bendir til blóðþurrðarbreytinga af mismunandi aldri.
Mynd 2. Ómun með blóðflæðirannsókn af hálsslagæðum. Kalkanir (örvar) sjást í veggnum á hægri innri hálsslagæð (mynd A) og vinstri innri hálsslagæð (mynd B). Erfitt er að fá gott flæðissnið frá hægri innri hálsslagæð, en hámarkshraði blóðflæðis er metinn á að minnsta kosti 227 cm/s og því virðist um rúmlega 90% þrengingu eða jafnvel nær lokun á æðinni að ræða. Vinstra megin er blóðflæðihraðinn í innri hálsslagæð um 111 cm/s í útfallsfasa og um 16 cm/s í aðfallsfasa, sem svarar til minna en 50% þrengingar.
Heimildir
| 1. Haasdijk EJ, Sadigh Y, Yildirim G, et al. Limb-Shaking Transient Ischemic Attacks in Patients with Carotid Occlusion or Stenosis: A Systematic Review and Individual Patient Data Meta-Analysis. Neuroepidemiology. 2024;1:1-10. https://doi.org/10.1159/000538977 PMid:38631313 | ||||
| 2. Fisher CM. Concerning recurrent transient cerebral ischemic attacks. Can Med Assoc J. 1962;24:1091-9. | ||||
| 3. Dinç Y, Bican Demir A, Doğan EA, et al. Differential Diagnosis of Focal Onset Seizure, Limg-shaking Transischeamic Attaks. Arch Epilepsy. 2024;3:96-9. https://doi.org/10.4274/ArchEpilepsy.2024.24120 | ||||
| 4. M. Klijn CJ, Kappelle LJ, Van Huffelen AC, et al. Recurrent ischemia in symptomatic carotid occlusion: Prognostic value of hemodynamic factors. Neurology. 2000 Dec 26;55(12):1806-12. https://doi.org/10.1212/WNL.55.12.1806 PMid:11134377 | ||||
| 5. Ghika-Schmid F, Ghika J, Regli F, et al. Hyperkinetic movement disorders during and after acute stroke: The Lausanne Stroke Registry. J Neurol Sci. 1997;2:109-16. https://doi.org/10.1016/S0022-510X(96)00290-0 PMid:9077506 | ||||
| 6. Flaherty ML, Flemming KD, McClelland R, et al. Population-Based Study of Symptomatic Internal Carotid Artery Occlusion: Incidence and Long-Term Follow-Up. Stroke. 2004;8: e349 - 52. https://doi.org/10.1161/01.STR.0000135024.54608.3f PMid:15232124 | ||||
| 7. Hilmarsson A, Kjartansson O, Olafsson E. Incidence of First Stroke: A Population Study in Iceland. Stroke. 2013;6:1714-6. https://doi.org/10.1161/STROKEAHA.111.000222 PMid:23660845 | ||||
| 8. Persoon S, Kappelle LJ, Klijn CJM. Limb-shaking transient ischaemic attacks in patients with internal carotid artery occlusion: a case-control study. Brain. 2010;3:915-22. https://doi.org/10.1093/brain/awq009 PMid:20157011 | ||||
| 9. Knoflach M, Matosevic B, Meinhart M, et al. Prognostic Relevance of Limb Shaking in Symptomatic Carotid Artery Occlusion. Cerebrovasc Dis. 2011;1:35-40. https://doi.org/10.1159/000326076 PMid:21576941 | ||||
| 10. Das S, Ghosh R, Dubey S, et al. Limb-shaking TIA in Moyamoya angiopathy. Clin Neurol Neurosurg. 2021;207:106783. https://doi.org/10.1016/j.clineuro.2021.106783 PMid:34225004 | ||||
| 11. Goldstein ED, Cannistraro R, English S, et al. Brachiocephalic Arterial Occlusive Disease Presenting as Limb-Shaking Transient Ischemic Attacks. J Stroke Cerebrovasc Dis. 2018;2:e34-5. https://doi.org/10.1016/j.jstrokecerebrovasdis.2017.09.052 PMid:29102392 | ||||
| 12. Bogousslavsky J, Regli F. Unilateral watershed cerebral infarcts. Neurology. 1986;3:373. https://doi.org/10.1212/WNL.36.3.373 PMid:3951705 | ||||
| 13. Müller MD, Lyrer PA, Brown MM, et al. Carotid Artery Stenting Versus Endarterectomy for Treatment of Carotid Artery Stenosis. Stroke. 2021;1:e3-5. https://doi.org/10.1161/STROKEAHA.120.030521 PMid:33370200 | ||||
| 14. Derdeyn CP, Chimowitz MI, Lynn MJ, et al. Aggressive medical treatment with or without stenting in high-risk patients with intracranial artery stenosis (SAMMPRIS): the final results of a randomised trial. The Lancet. 2014;9914:333-41. https://doi.org/10.1016/S0140-6736(13)62038-3 PMid:24168957 | ||||
