03. tbl. 112. árg. 2026
Fræðigrein
Sjúkratilfelli. Berklasýking í sári við endaþarmsop
doi 10.17992/lbl.2026.03.883 Fyrirspurnum svarar Ásdís Kristjánsdóttir, asdikris@landspitali.is
Greinin barst 11. desember 2025, samþykkt til birtingar 10. febrúar 2026
Ágrip
Berklasýking við endaþarmsop er mjög sjaldgæf birtingarmynd berkla. Hér er lýst nýlegu tilfelli 41 árs hrausts manns sem greinist með ígerð við endaþarmsop sem þarfnaðist skoðunar og tæmingar á skurðstofu. Þar sem sárið eftir aðgerðina greri illa næstu mánuði voru tekin ný ræktunar- og vefjasýni. Vefjagreining sýndi bólguhnúða með drepi ásamt sýruföstum stöfum og vakti grun um berkla. Nánari uppvinnsla leiddi í ljós lungnaberkla. Sjúklingur fékk sex mánaða sýklalyfjameðferð og náði algjörum bata. Sárið við endaþarmsopið greri vel í kjölfar meðferðar. Berklar eru mikilvæg mismunagreining ef sár eða meinsemd við endaþarmsop eða annars staðar grær illa eða kemur endurtekið upp.
Inngangur
Berklar eru enn í dag alvarlegt og alþjóðlegt heilsufarsvandamál. Greining þeirra er þó fremur sjaldgæf á Íslandi en um það bil tíu til tuttugu tilfelli greinast hér á landi á ári hverju.1 Algengast er að berklasýking af völdum Mycobacterium tuberculosis valdi lungnaberklum (pulmonary tuberculosis), en bakterían getur einnig sýkt önnur líffærakerfi.2 Berklar utan lungna (extrapulmonary tuberculosis) voru 16% af heildartilfellum berkla á heimsvísu árið 2020 samkvæmt skýrslu Alþjóðaheilbrigðismálastofnunarinnar (World Health Organization, WHO).3 Auknar líkur á því að þróa með sér sjúkdóminn eru hjá einstaklingum með HIV og við ákveðna áhættuþætti eins og vannæringu, sykursýki, reykingar og áfengisneyslu.2
Um 0,5-2% einstaklinga sem veikjast af berklum þróa með sér berklasýkingu í meltingarvegi (gastrointestinal tuberculosis) og geta allir hlutar hans sýkst.4,5,6 Það getur verið erfitt að greina berkla í meltingarvegi vegna ósértækrar birtingarmyndar og líkinda við aðra sjúkdóma, eins og bólgusjúkdóma í meltingarvegi (inflammatory bowel disease) og illkynja sjúkdóma.6,7 Berklasýkingu umhverfis endaþarmsop og á spöng hefur sjaldan verið lýst og er hún talin vera aðeins um 1% berklasýkinga í meltingarvegi.6,8
Hér er lýst nýlegu tilfelli á Landspítalanum.
Tilfelli
Fjörutíu og eins árs gamall hraustur maður leitaði á heilsugæslu vegna verks við endaþarmsop og gruns um gyllin-æð. Hann reyndist vera með ígerð við endaþarmsop (perianal abscess) og var ákveðið að hefja meðferð með sýklalyfjum. Sama dag fór hann til útlanda og var þar slæmur af verkjum en batnandi af einkennum þegar ígerðin opnaðist. Við heimkomu fékk hann aftur verki við endaþarmsop og var í kjölfarið vísað á bráðamóttöku Landspítalans í Fossvogi til nánari skoðunar.
Við skoðun á bráðamóttöku var sjúklingur hitalaus og ekki bráðveikindalegur. Ígerð sást á spöng hægra megin tvo til þrjá sentímetra frá endaþarmsopi og þaðan vall gröftur út. Blóðprufur sýndu væga hækkun á hvítum blóðkornum og CRP (C-Reactive Protein). Þar sem einkenni höfðu ekki batnað þrátt fyrir að ígerðin hefði opnast og sýklalyf ekki skilað nægum árangri, var honum vísað til skurðlækna þar sem var ákveðið að gera skoðun í svæfingu sama kvöld. Í aðgerðarlýsingu er lýst opnu sári á spöng sem þarfnaðist ekki frekari tæmingar. Sjúklingur útskrifaðist heim samdægurs með leiðbeiningar um daglegar skolanir án sýklalyfja og var gefinn endurkomutími hjá sérfræðingi eftir þrjár vikur.
Við það tilefni var sárið enn opið og hafði lítið dregist saman. Ákveðin var frekari eftirfylgd hjá hjúkrunarfræðingum á göngudeild. Sárið varð grynnra en lokaðist ekki á næstu fjórum mánuðum. Því var ákveðið að taka sjúkling aftur til skoðunar í svæfingu þar sem sást sár, en ekki merki um ígerð eða sýkingu. Hins vegar var tilkominn grunnur fistill við endaþarmsop sem í var settur seton-þráður. Í aðgerðinni var tekið sýni úr sárinu og það sent í almenna ræktun ásamt því að tveir vefjabitar voru sendir í meinafræðirannsókn.
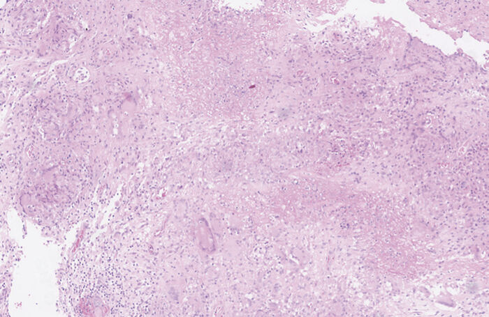
Í svari meinafræðideildar sást vefur úr sári með kröftugri bráðri bólgu og hnúðabólgu (granulomatous inflammation) með drepi (Mynd 1).

Mynd 1a. Smásjármynd af H&E lituðu vefjasýni frá sjúklingi sem tekið er frá sári við endaþarmsop. Hér sést drepmyndandi hnúðabólga.

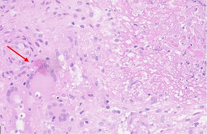
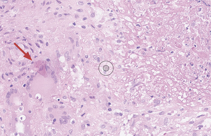
Mynd 1b. Nærmynd þar sem rauða örin bendir á bólguhnúð (granuloma).
Einnig sáust fáeinir sýrufastir stafir og því vaknaði sterkur grunur um sýkingu af völdum mýkóbaktería. Í framhaldinu var haft samráð við smitsjúkdómalækni sem ráðlagði frekari uppvinnslu með röntgenmynd af lungum og nýju sýni úr sári sem var sent í berklaræktun.
Lungnamyndin sýndi breytingar í báðum lungum sem voru grunsamlegar fyrir berkla og því var í framhaldinu ráðlögð tölvusneiðmynd (TS) af lungum og kviðarholi til nánari myndgreiningar.

Mynd 2. Tölvusneiðmynd af lungum hjá sjúklingi sem sýnir íferðarfláka ofan til í báðum lungum með holumyndun (cavitation) (rauð ör).
TS af lungum sýndi umtalsverðar breytingar í efri lungnablöðum, en þar sáust nokkrir íferðarflákar í báðum lungum ásamt byrjandi holumyndun (Mynd 2). TS af kviðarholi var án athugasemda. Berklar voru taldir vera líklegasta greiningin út frá þessum rannsóknum þrátt fyrir lítil einkenni. Í framhaldinu var ráðlagt að fá þrjú hrákasýni og senda í litun fyrir sýruföstum stöfum og í berklaræktun. Einnig var sent blóðsýni í HIV-rannsókn og IGRA-próf (interferon gamma release assay) (Quantiferon®).
Við nánari sögutöku var sjúklingi lýst sem áður hraustum manni sem bjó með eiginkonu og þremur börnum. Hann hafði ekki haft hita, hroll eða nætursvita síðastliðna mánuði. Matarlyst hafði verið góð og ekki var saga um nýlega megrun. Hann neitaði hósta, uppgangi, blóðhósta og mæði. Hann hafði enga þekkta útsetningu fyrir berklum. Sjúklingur vann hefðbundið skrifstofustarf og hafði aldrei unnið í ferðaþjónustu eða öðrum störfum sem væru líkleg til að auka hættu á berklaútsetningu. Ferðasaga gaf ekki tilefni til að gruna sérstaka hættu á útsetningu. Meðan á uppvinnslu stóð var honum ráðlagt að hafa hægt um sig, forðast fjölmenni og nota grímu.
Niðurstöður litana fyrir sýruföstum stöfum í þremur hrákasýnum reyndust allar neikvæðar. Hann reyndist HIV-neikvæður en IGRA-próf var jákvætt. Í framhaldinu var ráðlögð berkjuspeglun og sýni send í frumurannsókn og ræktun. Hann var þarna algjörlega einkennalaus og ekki talinn smitandi í ljósi neikvæðra litana.
Rétt rúmum mánuði frá berkjuspegluninni tóku sýrufastir stafir að vaxa úr berkjuskoli frá báðum lungum. Staðfestingarpróf með PCR-aðferð staðfesti að um M. tuberculosis var að ræða og leit að ónæmisgenum fyrir rífampíni og ísóníazíði var neikvæð. Berklameðferð var því hafin samdægurs með ísóníazíði, rífampíni, ethambútóli og pýrazínamíði ásamt pyridoxíni (B6-vítamín). Næmispróf sýndu fram á vel næma berkla og var ráðlögð sex mánaða meðferð. Að lokum uxu berklar úr þremur hrákasýnum að auki. Á meðan á meðferð stóð, sem sjúklingur þoldi vel, sýndu lungnamyndir batamerki.
Sárið við endaþarmsopið greri vel eftir að lyfjameðferð var hafin en hann þurfti að gangast undir þrjár aðgerðir eftir að lyfjameðferð lauk vegna fyrrnefnds fistils. Sjúklingur hefur lokið meðferð við berklum og náð góðum bata. Hann er laus úr eftirliti.
Umræða
Berklasýking í meltingarvegi er eins og áður segir sjaldgæf birtingarmynd berkla utan lungna. Algengast er að svæði dausgarnar (ileum) og botnristils (coecum) sýkist en allir hlutar meltingarvegarins geta sýkst. Aðeins lítill hluti þróar með sér sjúkdóm umhverfis endaþarmsop.6 Berklar geta sýkt alla, óháð kyni og aldri, en almennt virðist tíðni berkla og berklasýkinga umhverfis endaþarmsop vera mun hærri hjá karlmönnum á fullorðinsaldri.2,8,9
Berklar umhverfis endaþarmsop birtast yfirleitt samhliða eða sem afleiðing lungnaberkla.8,9 Talið er að dreifing bakteríunnar til endaþarms sé oftast með þeim hætti að einstaklingur kyngir hráka eða vökva frá öndunarvegi (respiratory secretions) sem inniheldur sýrufasta stafi sem þola magasýrur og þannig nái bakterían að dreifa sér niður í meltingarveg. Aðrar mögulegar dreifingarleiðir eru með blóði hjá einstaklingum með endurvirkjun óvirkra berkla, bein dreifing frá nálægum líffærum sem eru sýkt með berklabakteríunni eða sem dreifing vessa frá nálægum eitlum hjá einstaklingum með berklasýkingu í meltingarvegi eða þvagfærum.8,10
Það getur verið áskorun að greina berkla umhverfis endaþarmsop og greiningin getur verið óvænt, líkt og í tilfellinu sem lýst er hér. Líklegt er að ef sjúklingur hefði ekki greinst á þessu stigi, hefði sjúkdómurinn þróast í þá átt að verða smit-andi innan fárra mánaða. Bæði einstaklingar með skert ónæmis-kerfi og þeir sem eru með heilbrigt ónæmiskerfi geta sýkst. Berklasýking umhverfis endaþarmsop getur líkst öðrum sjúkdómum á þessu svæði, sem getur gert greiningu erfiða. Aðrar mismunagreiningar eru til dæmis bólgusjúkdómar í meltingarvegi eins og Crohn‘s sjúkdómur, svitakirtlaígerð -(hidradenitis suppurativa), sárasótt og illkynja sjúkdómar.6,7,9,10
Ef berklar greinast í meltingarvegi þarf að vinna sjúkling frekar upp með tilliti til lungnaberkla eða berklasýkingar í öðrum líffærakerfum. Taka þarf ítarlega sögu sem snýr að einkennum lungnaberkla, eins og hósta, hita, nætursvita og megrun, fá myndgreiningu af lungum og huga að einangrun.8 Sömuleiðis er mikilvægt að fá TS af kviðarholi og í sumum tilfellum er rétt að gera ristilspeglun til að útiloka sýkingu í meltingarvegi.10 Í þessu tilfelli voru sýkinga- og bólgumerki í blóði (hvít blóðkorn og CRP) yfirleitt innan eðlilegra marka á meðan á uppvinnslu stóð en í örfáum tilfellum voru þau lítillega hækkuð. Mikilvægt er að minna á að einstaklingur getur verið með útbreidda berkla en fremur eðlilegar blóðprufur líkt og í þessu tilfelli.4 Sökk í blóði mældist alltaf innan marka hjá sjúklingi.
Hefðbundin meðferð við lyfjanæmum berklum er yfirleitt fjögurra sýklalyfja meðferð eins og veitt var í þessu tilviki, en á Íslandi eru ónæmir berklar sjaldgæfir. Meðferðin er yfirleitt sex mánaða löng. Í þeim tilfellum sem fistlar eða ígerðir eru til staðar umhverfis endaþarmsop eru skurðaðgerðir oft nauðsynlegar. Í þessu tilfelli náðist góður bati eftir að lyfjameðferð hófst.
Berklasýking ætti að vera mismunagreining þegar mein-semdir eins og sár, fistlar eða ígerðir umhverfis endaþarmsop gróa illa eða koma endurtekið upp. Þá er mikilvægt að fá vefja- og ræktunarsýni og biðja um berklaræktun frá svæðinu til að útiloka berkla eins og gert var í þessu tilfelli.6 Þekking og opinn hugur meðhöndlandi lækna er nauðsynleg forsenda greiningar.
Heimildir
| 1. Ársskýrsla sóttvarna 2024. Embætti landlæknis. Júní 2025. https://island.is/smitsjukdomar-ao/farsottaskyrsla - september 2025. | ||||
| 2. Global tuberculosis report 2024. Geneva: World Health Organization; 2024. https://www.who.int/publications/i/item/9789240101531 - september 2025 | ||||
| 3. Global tuberculosis report 2020. Geneva: World Health Organization; 2020. https://www.who.int/publications/i/item/9789240013131 - september 2025. | ||||
| 4. Tahiri M, Goh KL, Abbas Z, et al. Digestive Tract Tuberculosis Guideline. J Clin Gastroenterol. 2023;57(7):643-650. https://doi.org/10.1097/MCG.0000000000001819 PMid:37428083 | ||||
| 5. Loscalzo J, Fauci A, Kasper D, et al, Harrison's Principles of Internal Medicine, 21e. McGraw-Hill Education; 2022. | ||||
| 6. Kentley J, Ooi JL, Potter J, et al. Intestinal tuberculosis: a diagnostic challenge. Trop Med Int Health. 2017;22(8):994-999. https://doi.org/10.1111/tmi.12908 PMid:28609809 | ||||
| 7. Kim SH, Kim JW, Jeong JB, et al. Differential diagnosis of Crohn's disease and intestinal tuberculosis in patients with spontaneous small-bowel perforation. Dig Surg. 2014;31(2):151-156. https://doi.org/10.1159/000363066 PMid:24970687 | ||||
| 8. Tago S, Hirai Y, Ainoda Y, et al. Perianal tuberculosis: A case report and review of the literature. World J Clin Cases. 2015;3(9):848-852. https://doi.org/10.12998/wjcc.v3.i9.848 PMid:26380834 PMCid:PMC4568536 | ||||
| 9. Mathew S. Anal tuberculosis: report of a case and review of literature. Int J Surg. 2008;6(6):e36-e39. https://doi.org/10.1016/j.ijsu.2006.11.005 PMid:19059132 | ||||
| 10. Takahashi AAR, Bassaneze T, Longo KS, et al J. Primary extensive perianal cutaneous tuberculosis: A challenging diagnosis. Case report and a review of the literature. Braz J Infect Dis. 2023;27(1):102722. https://doi.org/10.1016/j.bjid.2022.102722 PMid:36462576 PMCid:PMC9727625 | ||||
