11. tbl. 90. árg. 2004
Fræðigrein
Hættuleg hálsbólga
Sjúkratilfelli
Sjúkrasaga
Þrjátíu og þriggja ára gamall bóndi, áður hraustur, kom á bráðamóttöku Fjórðungssjúkrahússins á Akureyri (FSA). Hann hafði veikst sex dögum áður með háum hita, miklum slappleika og verkjum aftan í hálsi. Hann var alveg rúmfastur, kastaði mikið upp en var ekki með niðurgang. Allan tímann var hann með óstöðvandi hiksta. Kona hans tók eftir að hann var móður og svaf illa. Hann mældist með hita um 40° C og fór að lokum til heilsugæslulæknis sem sá að hann var gulur og fárveikur og sendi hann á bráðamóttöku FSA.
Við komu á FSA var hann fárveikur (septískur), lá á bekk, vakandi og áttaður, mjög þvoglumæltur, og skalf mikið. Blóðþrýstingur var 140/85 mmHg liggjandi og 128/64 mmHg sitjandi. Púls 119/mín, reglulegur. Öndunartíðni 36/mín. Hiti 39,8°C í endaþarmi. Hann var gulur á húð og í augnhvítu. Mikil þreifieymsli voru í hnakka og aftan á hálsi en ekki hnakkastífleiki. Hann var mjög þurr á vörum, með blóðskorpur í munni og brúnleita, að því er virtist, fláka af yfirborðsdrepi á tungu. Hann var mjög bólginn í koki. Fíngert brak heyrðist yfir hægra lunga. Við hjartahlustun heyrðust eðlilegir hjartatónar og slagbilsóhljóð (systólískt). Kviður var aumur undir hægri rifjaboga en engar líffærastækkanir né aðrar fyrirferðaraukningar fundust. Hann var með kylfufingur (talið vera meðfætt) og flísablæðingar sáust undir nöglum. Nöglin á hægri stórutá var inngróin og talsvert sár og bólguholdgun (granulation) umhverfis en ekki merki um bráða sýkingu.
Maðurinn var að nálgast sýkingalost án augljósrar orsakar.
Vegna gruns um yfirþyrmandi blóðsýkingu (fulminant sepsis) var hann fluttur án tafar á gjörgæsludeild. Blóðprufur við komu (tafla I) sýndu merki um alvarlega, undirliggjandi sýkingu með mikilli truflun á efnaskiptum og lifrarstarfsemi, bráðri nýrnabilun og alvarlegri blóðflagnafæð sem gat þýtt byrjandi útbreidda segamyndun (disseminated intravascular coagulation).
Fyrst eftir komu lá ekki ljóst fyrir hver væri orsök þessa alvarlega sýkingarástands. Á röntgenmynd af lungum (mynd 1) mátti sjá hringlaga þéttingar útlægt í báðum lungum, allt að 3 cm í þvermál. Blóðgös reyndust vera pH 7,38, pCO2 32 mmHg, pO2 111mmHg, HCO3- 18 mmól/L, BE -5 mmól/L og O2 mettun 98%. Gerð var hjartaómun (transthoracal) þegar á bráðamóttöku vegna gruns um bráða hjartaþelsbólgu en ekki sáust merki um slíkt. Ómskoðun af kvið sýndi eðlilega lifur, gallblöðru, gallvegi, bris og nýru ásamt milta og ekkert annað athugavert. Ómskoðun á hálsi sýndi einungis einn rúmlega 1 cm stóran eitil undir húð, aftan til á hálsi hægra megin. Teknar voru ræktanir frá hálsi, hráka, blóði og þvagi og síðan hafin meðferð með kloxacillín 2 gm x 4, ceftríaxón 1 gm x 2 og gentamícín 300 mg x 1 í æð. Kloxacillín var fljótlega hætt vegna kláða og útbrota. Við komu á gjörgæslu var hann í sýkingarlosti (septic shock) og þurfti töluvert vökvamagn í æð til að halda uppi blóðþrýstingi og þvagútskilnaði. Næsta dag sýndi röntgenmynd af lungum meiri íferðir. Hann var þá orðinn algerlega háður jákvæðum innöndunarþrýstingi með BiPAP vél til að halda uppi súrefnismettun. Lífsmörk voru þó stöðug og þvagútskilnaður þokkalegur. Sýklarannsóknadeild FSA tilkynnti að ræktun úr hálsi sýndi einungis eðlilega hálsflóru. Fyrstu niðurstöður hráka- og blóðræktana bentu til vaxtar af hemolytískum streptókokkum af flokki C, (síðar greint sem Streptococcus milleri).
Í Grams litunum frá ræktunarflöskum fyrir loftfælnar bakteríur, sáust Gram neikvæðir stafir en óvíst af hvaða gerð.
Fljótlega eftir komu var talið líklegast að útgangspunktur sýkingarinnar væri í hálsi. Sjúklingur var mjög bólginn í koki og aðrar orsakir fundust ekki. Andnauð hans jókst uns hann nær örmagnaðist. Á þriðja degi eftir innlögn var hann svæfður, barkaþræddur og settur í öndunarvél. Eftir það fór ástand hans batnandi, lungnamyndir sýndu minnkandi íferðir, kreatinín fór lækkandi, blóðflögur hækkuðu en CRP hélst þó áfram hátt, um 200-250. Gram neikvæðu stafirnir í blóðinu vildu ekki vaxa frekar og því talið líklegt að þeir væru loftfælnir. Var sýklalyfjameðferð þá breytt. Haldið var áfram með ceftríaxón en bætt við klindamýsín 900 mg x 3 í æð.
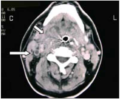
Voru þessar bakteríur sendar á sýklafræðideild Landspítala til frekari greiningar. Þar var staðfest að um var að ræða loftfælna Gram neikvæða stafi sem ekki gerjuðu sykra (asaccharolytic), líklega Fusobacterium sp. Gott næmi var fyrir penicillíni, klindamycíni og metronídazóli. Ákveðið var að senda þær til Statens Seruminstitut í Kaupmannahöfn, til staðfestingar og frekari greiningar. Á fimmta degi eftir innlögn er sogað var úr hálsi sjúklings áður en skipt skyldi um barkarennu, vall fram talsvert magn af illalyktandi greftri í munnhol hans. Tölvusneiðmynd af hálsi (mynd 2) sýndi þá mikla bólgu í kokeitlabeðnum hægra megin og hliðrun á barkarennu til vinstri yfir miðlínu. Ekki sást nein ígerð né fyrirferðaraukning í aftankoksrými (retropharyngealt). Ekkert loft sást umhverfis barkarennuna og benti það til þess að loftvegurinn væri verulega þrengdur. Einnig kom í ljós að hægri innri hóstarbláæð (vena jugularis interna dxt.) var algerlega stífluð af segamyndun á öllu hálssvæðinu, alveg upp að kúpubotni.
Tölvusneiðmynd af höfði sýndi enga skuggaefnisfyllingu í hægri bugastokk (sinus sigmoideus), var það talið merki um segafyllingu. Seginn teygði sig upp að mótum bugastokks og þverstokks (sinus transversus). Tölvusneiðmynd af brjóstkassa (CT thorax) sýndi fjölmarga misstóra hnúta, 1-3 cm í þvermál. Sumir hnútanna voru loftfylltir og var þetta túlkað sem sýktir blóðsegar til lungna (mynd 3). Haldið var áfram meðferð með ceftríaxón og klindamýsín og fór ástand hans smám saman batnandi. CRP lækkaði eftir að graftarkýli í hálsi hafði tæmst. Barkarenna var fjarlægð á 8. degi og hann útskrifaðist af gjörgæslu yfir á lyfjadeild á 13. degi eftir innlögn. Sýklalyfjameðferð var hætt á 18. degi. Hafði hann þá fengið ceftríaxón í 18 daga og klindamýsín í 12 daga.
Á 18. degi eftir innlögn voru allar blóðprufur orðnar eðlilegar og sjúklingur búinn að ná sér að mestu. Eymsli og verkur í hálsi og koki voru horfin og hann farinn að matast eðlilega. Hann var þó með hitaslæðing sem hvarf 3-4 dögum eftir að sýklalyfjum var hætt. Hjartaómskoðun var endurtekin 24 dögum eftir innlögn og var hún eðlileg. Þrjátíu dögum eftir innlögn, þegar komið var að útskrift, voru röntgenrannsóknir endurteknar. Tölvusneiðmyndir af höfði og hálsi sýndu að innri hóstarbláæð og bugastokkur hægra megin voru enn segafyllt en önnur bólga nánast horfin. Tölvusneiðmynd af lungum sýndi enn fjölmarga misstóra hnúta í lungum er fóru minnkandi.
Eftir útskrift kom í ljós að loftfælna bakterían Fusobacterium necrophorum af undirflokknum necrophorum hafði vaxið úr blóðræktunum.
Sjúklingurinn kom í eftirlit á göngudeild rúmum mánuði eftir útskrift og var við góða heilsu. Röntgen rannsóknir sýndu þá að ástandið var óbreytt með tilliti til segamyndunar í innri hóstarbláæð og bugastokk hægra megin en að hnútar í lungum voru nánast horfnir.
Heilkenni Lemierres
Þetta sjúkratilfelli er dæmigert fyrir heilkenni Lemierres (Lemierre?s syndrome). Okkur er ekki kunnugt um að slíku tilfelli hafi áður verið lýst á Íslandi.
Árið 1936 birtist grein í Lancet eftir Lemierre, prófessor í sýklafræði og smitsjúkdómum við Hôpital Claude Bernard í París (1). Þar lýsti hann 20 tilfellum blóðeitrunar af völdum loftfælinna baktería. Hann skilgreindi ákveðna sjúkdómsmynd sem hann taldi svo dæmigerða að greina mætti hana örugglega út frá klínískum einkennum fyrst og fremst, áður en niðurstöður sýklarannsókna lægju fyrir. Hann skilgreindi sjúkdómsmynd þessa þannig:
1) Hálsbólga (pharyngotonsillitis) eða graftarkýli í hálseitlum (peritonsillar abscess) í ungum, og áður hraustum, einstaklingum. (Einnig vel þekkt eftirköst miðeyrabólgu (otitis media) hjá börnum.)
2) Í kjölfarið kemur bólga og eymsli yfir höfuðvendivöðvanum (m.sternocleido-mastoideus) vegna bláæðabólgu (septískur thrombo phlebitis) í innri hóstarbláæð sömu megin.
3) Innan viku fær sjúklingurinn háan hita, kuldahroll ásamt dreifðum (metastatic) og sýktum blóðsegum sem valda graftarkýlum víða, aðallega í beinum og lungum. Sjúklingur verður í flestum tilfellum septískur og dauðvona.
4) Orsökin er loftfælnar bakteríur, Fusobacteria.
18 af sjúklingum Lemierres létust.
Sjúklingur okkar uppfyllti öll þessi skilyrði.
Þessi sjúkdómsmynd eða klíníska heilkenni hefur síðan borið nafn hans og verið kallað "Lemierre's Syndrome".
Orsök þessarar sjúkdómsmyndar er loftfælin baktería, Fusobacterium necrophorum. Hún hefur verið þekkt sem orsök sýkinga bæði í mönnum og dýrum allt síðan á seinni hluta 19. aldar (2). Ýmsum sjúkdómum af völdum Fusobacterium í húsdýrum hefur verið lýst, meðal annars graftarkýlum í lifur og lungum hjá sauðfé, svínum og nautgripum.
Áður en Lemierre skilgreindi þetta heilkenni voru sýkingar af völdum Fusobacterium í mönnum vel þekktar en ekki vel skilgreindar og gengu þær því undir ýmsum nöfnum, meðal annars ,,postanginal sepsis", ,,anaerobic postanginal septicemia" og fleira. Í dag er heilkenni Lemierres og aðrar sýkingar af völdum F. necrophorum nefndar "necrobacillosis" á alþjóðlegu fræðimáli.
Fusobacterium necrophorum var einnig illa skilgreind og gekk undir ýmsum nöfnum. Fyrsta lýsingin á sýkingu í mönnum er frá árinu 1900 þegar lýst var sjúklingi er lést úr sepsis eftir bráða hálsbólgu (tonsillitis) (3). Úr blóði hans ræktaðist loftfælin stafbaktería. Í kjölfar þessarar lýsingar fylgdu margar tímaritsgreinar næstu áratugina sem lýstu svipuðum sýkingum af völdum loftfælinnar stafbakteríu sem þá var oftast nefnd Bacillus funduliformis.
Árið 1955 birtist grein er sagði frá 280 tilfellum af necrobacillosis (4). Í þeim hópi voru 94 sjúklingar frá Þýskalandi, 87 frá Bandaríkjunum, 31 frá Frakklandi, 24 frá Ungverjalandi, 21 frá Bretlandi, 15 frá Hollandi, 6 frá Frönsku Indókína og 2 frá Skandinavíu.
Á áratugunum 1960-1990 fækkaði mikið lýsingum á heilkenni Lemierres. Er sennilegt að aukin notkun penisillíns við hálsbólgu og sýkingum í öndunarvegi hafi átt þátt í því (5). Síðar, eða á árunum 1980 til 1995, hefur orðið veruleg aukning á lýsingum á slíkum tilfellum. Það getur stafað af meira aðhaldi við notkun sýklalyfja og/eða aukinni tækni við ræktun og greiningu loftfælinna baktería.
Fjölmargar tegundir loftfælinna Gram neikvæðra stafbaktería eru þekktar, en aðallega fjórar þeirra valda sýkingum hjá mönnum, það er Bacteroides, Prevotella, Porphyromonas og Fusobacterium. Nákvæm greining þeirra krefst oft tækni sem flestar sýklarannsóknastofur ráða ekki yfir.
Oftast vaxa aðrar bakteríur mun hraðar en Fusobacterium og því auðvelt að missa af henni vegna yfirvaxtar þeirra.
Á undanförnum áratugum hafa hins vegar orðið miklar framfarir við ræktun á loftfælnum bakteríum og hefur sú þróun leitt í ljós hversu miklu hlutverki slíkar bakteríur gegna í sýkingum hjá mönnum.
Heilkenni Lemierres hefur því fyrst og fremst verið greint út frá klínískum einkennum.
Árið 1954 kom fram tillaga um að skipta F. necrophorum í 3 undirflokka, A, B og C (6). Flokkur C er í dag álitin sérstök tegund (species) og nefnist Fusobacterium pseudonecrophorum. Hinir tveir undir-flokkarnir, A og B, eru ólíkir hvað snertir útlit og líffræðilega og lífefnafræðilega eiginleika og er flokkur A nú nefndur F. necrophorum af necrophorum og flokkur B er nefndur F. necrophorum af funduliforme.
F. necrophorum af necrophorum er mun ágengari (virulent) og meira sjúkdómsvaldandi (pathogenic) en F. necrophorum af funduliforme.
Flestar fyrri greinar um sýkingar af völdum F. necrophorum í mönnum hafa ekki tiltekið um hvora undirtegundina var að ræða, það er necrophorum eða funduliforme.
F. necrophorum er hluti af eðlilegri bakteríuflóru í munnholi, meltingarvegi og þvagfærum manna og dýra (7). Sýnt hefur verið fram á mótefnamyndun gegn F. necrophorum, bæði hjá heilbrigðum og sýktum einstaklingum, væntanlega vegna eðlilegrar tilvistar hennar í munnholi og koki. Hvers vegna bakterían nær að brjótast í gegnum slímhúð og valda sýkingu er ekki alveg þekkt. Veiktir varnarhættir, til dæmis vegna hálssýkinga af völdum annarra baktería eða veira, eiga sennilega sinn þátt í því. Frá um þriðjungi sjúklinga með heilkenni Lemierres hafa ræktast aðrar bakteríur úr blóði sem tilheyra munnflóru. Þannig var einnig í okkar tilfelli.
F. necrophorum er næm fyrir mörgum lyfjum, penisillínum, kefalósporínum, metrónídazól, klindamýcin, tetracýklínum og klóramfenikóli (8). Sem meðferð er oftast ráðlagt penisillín ásamt metrónídazóli eða klindamýcini eingöngu. Ráðlögð er meðferð í 2-6 vikur (9). Mikilvægur hluti meðferðar er tæming á graftarkýlum sem kunna að myndast. Aðgerð á bláæðabólgu (thrombophlebitis) á æðum í hálsi er ekki ráðlögð nema í sérstökum tilvikum. Lokun á þessum æðum gengur ekki til baka.
Sýkingar af völdum Fusobacterium, eða necrobacillosis, hjá mönnum má skipta í tvennt. Annars vegar er heilkenni Lemierres sem hér er til umræðu. Hins vegar getur necrobacillosis komið fyrir hjá eldra fólki með aðra undirliggjandi sjúkdóma þar sem upphafsstaður sýkingarinnar er þá gjarnan annars staðar en í hálsi eða höfði, til dæmis í meltingarvegi eða þvagfærum.
Sýnt hefur verið fram á að heilkenni Lemierres er um 46-82% af öllum necrobacillosis tilfellum hjá mönnum og að allt að 75% sjúklinga eru karlmenn.
Áður en sýklalyf komu til var dánartíðni af völdum þessarar sýkingar talin vera á bilinu 30% til 90%. Síðar hefur hún verið metin um 17%.
Heilkenni Lemierres er mjög sjaldgæft. Í danskri rannsókn var nýgengi þess um það bil 1 per milljón (10). Ekki liggja fyrir neinar framsýnar (prospective) rannsóknir sem sýna hvert hið raunverulega nýgengi þessarar sjúkdómsmyndar er enda erfitt að framkvæma slíka rannsókn (11).
Heimildir
1. Lemierre A. On certain septicaemias due to anaerobic organisms. Lancet 1936; 1: 701-3.
2. Langworth BF. Fusobacterium necrophorum: its characteristics and role as an animal pathogen. Bacteriol Rev 1977; 41: 373-90.
3. Courmont P, Cade A. Sur une septico-pyochemie de l´homme simulant la peste et causee par un strepto-bacille anaérobique. Archives de Medecine Experimentale et d´Anatomie Pathologique. 1900; 12: 393-418.
4. Alston JM. Necrobacillosis in Great Britain. BMJ 1955; 2: 1524-8.
5. Weesner CL, Cisek JL. Lemierre syndrome: the forgotten disease. Ann Emerg Med 1993; 22: 256-8.
6. Beerens H. Procédé de differenciation entre Spherophorus necrophorus (Schmorl 1891) et Spherophorus funduliformis (Hallé 1898). Ann Institut Pasteur (Lille) 1954; 86: 384-6.
7. Bennett KW, Eley A. Fusobacteria: new taxonomy and related diseases. J Med Microbiol 1993; 39: 246-54.
8. Tunér K, Nord CE. Antibiotic susceptibility of anaerobic bacteria in Europe. Clin Infect Dis 1993; 16(Suppl 4): S387-9.
9. Gudiol F, Manresa F, Pallares R, Dorca J, Rufi G, Boada J, et al. Clindamycin vs penicillin for anaerobic lung infections. High rate of penicillin failures associated with penicillin-resistant Bacteroides melaninogenicus. Arch Intern Med 1990; 150: 2525-9.
10. Hagelskjaer LH, Prag J,Malczynski J, Kristensen JH. Incidence and clinical epidemiology of necrobacillosis, including Lemierre´s syndrome, in Denmark. 1990-1995. Eur J Clin Microbiol Infect Dis 1998; 17: 561-5.
11. Hagelskjaer, Kristensen JH, Prag J. Human Necrobacillosis, with Emphasis on Lemierre´s Syndrome. Clin Infect Dis 2000; 31: 524-32.
