02. tbl. 112. árg. 2026
Fræðigrein
Sjúkratilfelli. Lendarkviðslit – Petit-kviðslit
Lumbar hernia – Petit hernia. A case report and discussion of the disease
Fyrirspurnum svarar Ellen María Gunnarsdóttir, ellenmgun@gmail.com
Greinin barst 4. september 2025, samþykkt til birtingar 11. nóvember 2025
Ágrip
Lendarkviðslit eru sjaldgæf tegund kviðslita sem flest eru staðsett í efri og neðri lendarþríhyrningum. Neðra lendarkviðslit er einnig nefnt Petit-kviðslit. Hér verður farið yfir tilfelli konu sem greindist með Petit-kviðslit og var meðhöndluð á kviðarholsskurðdeild Landspítala.
Inngangur
Til eru margar mismunandi tegundir kviðslita og þekkja flestir til dæmis nára- og naflakviðslit og einkenni þeirra. Lendarkviðslit (lumbar hernia) eru hins vegar sjaldgæf en engu að síður mikilvæg mismunagreining hjá sjúklingum með fyrir-ferð á lendarsvæði. Lendarkviðslitum er gjarnan skipt í efri og neðri lendarkviðslit. Neðra lendarkviðslit eða Petit-kviðslit er nefnt eftir franska líffræðingnum Jean Louis Petit (1674-1750) sem var fyrstur til að lýsa líffræðilegum landamerkjum þess. Landamerkin eru mjaðmakambur (iliac crest) að neðan, ytri skávöðvi kviðar (m. obliqus externus abdominis) hliðlægt og bakbreiðarvöðvi (m. latissimus dorsi) miðlægt, en saman mynda þau Petit-þríhyrninginn. Efra lendarkviðslit myndast í Grynfeltt-Lesshaft-þríhyrningnum sem afmarkast að ofan af tólfta rifi og neðri aftari sagarvöðva (m. serratus posterior inferior), hliðlægt af innri skávöðva kviðar (m. obliqus internus abdominis) og miðlægt af ferhyrnuvöðva lendar (m. quadratus lumborum) (mynd 1).1,2,3 Um 95% lendarkviðslita koma fram í fyrrgreindum þríhyrningum en einnig hefur dreifðum lendarkviðslitum verið lýst sem koma yfirleitt fram í kjölfar áverka, fyrri skurðaðgerða eða sýkinga.4 Hér verður farið yfir tilfelli af Petit-kviðsliti hjá konu á miðjum aldri.
Mynd 1. Staðsetning og landamerki lendarkviðslita

Tilfelli
Um var að ræða 48 ára gamla áður hrausta konu frá Gíneu sem var vísað til kviðarholsskurðlækna vegna lendarkviðslits. Í heilsufarssögu kom fram að hún hafði áður farið í skurðaðgerðir vegna nárakviðslits beggja vegna og þrívegis farið í keisaraskurð. Þá hafði hún fengið stóra blæðingu hægra megin í aftanskinu (retroperitoneum) árið 2014, stuttu eftir þriðja keisaraskurðinn. Æðaþræðing sýndi sýndargúlp (pseudo-aneurysm) á hægri kynkirtilsslagæð (gonadal artery) og var gerð slagæðastíflun (embolization). Að öðru leyti var hún hraust, tók engin lyf að staðaldri og hafði enga markverða áverkasögu.
Sjúklingurinn var með tveggja ára sögu um óþægindi í hægri síðu og baki. Auk þess fann hún fyrirferð á samsvarandi svæði sem kom fram þegar leið á daginn, sérstaklega eftir langa vinnudaga.
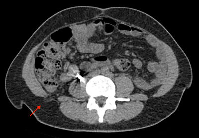
Hún leitaði í fyrstu til lýtalæknis og vaknaði þá grunur um fituæxli (lipoma). Fengin var ómskoðun af kviðvegg og hægri síðu þar sem lýst var kviðsliti í hægri síðu með rúmlega 1 cm kviðslitsopi og um 5 cm kviðslitssekk. Til nánari kortlagningar var gerð tölvusneiðmynd af kvið sem sýndi lendarkviðslit sem gæti samrýmst Petit-kviðsliti og innihélt fituvef frá aftanskinu (mynd 2). Í framhaldi var henni vísað til skurðlæknis á stofu en vegna óvanalegrar staðsetningar var henni vísað áfram á göngudeild kviðarholsskurðlækninga á Landspítala. Þar gaf hún söguna sem lýst er að ofan. Við skoðun var enga fyrirferð að finna á hægri síðu eða baki.
Mynd 2.Tölvusneiðmynd af kviðarholi sýnir neðra lendarkviðslit sem inniheldur fituvef frá aftanskinu.

Þar sem um einkennagefandi kviðslit var að ræða var ákveðið að taka hana til valkvæðrar skurðaðgerðar. Aðgerðin var gerð í kviðsjá þar sem farið var meðal annars í gegnum áður óþekkt naflakviðslit. Tvö önnur 5 mm op voru sett, annars vegar í miðlínu strax fyrir ofan lífbein og hins vegar hliðlægt vinstra megin í kvið. Byrjað var á að losa hægri hluta ristilsins hliðlægt. Þar á bak við, í aftanskinu, sást kviðslitsop sem var um 1-2 cm í þvermál og fituvefur sem gekk inn í það. Opið afmarkaðist af ytri skávöðva kviðar (m. obliqus externus abdominis) og bakbreiðarvöðva (m. latissimus dorsi). Allur fituvefur í kringum kviðslitsopið var fjarlægður til að auðveldara væri að koma fyrir neti og festa það. Sett var 12 cm hringlaga SymbotexTM net sem komið var fyrir utan lífhimnunnar (preperitoneal) og það síðan fest með smáum sjálfeyðandi skrúfum (Vicryl®) (mynd 3). Sárinu í lífhimnunni var lokað með V-LocTM saum og að því loknu var vöðvafelli í nafla og skurðsárum lokað.
Mynd 3a. Frá aðgerð. Kviðslitsopið þegar búið var að losa hægri ristil hliðlægt. Mynd 3b. 12 cm hringlaga SymbotexTM neti komið fyrir utan lífhimnunnar.

Að lokinni aðgerð útskrifaðist sjúklingurinn samdægurs. Engir snemmbúnir fylgikvillar komu upp og við eftirlit mánuði eftir aðgerð hafði hún jafnað sig að mestu leyti. Hún fann þó ennþá fyrirferð þar sem kviðslitið var áður en við skoðun var ekki merki um endurkomu.
Umræða
Lendarkviðslit eru sjaldgæf og hefur einungis verið greint frá um 300 tilfellum frá því að fyrsta tilfellinu var lýst árið 1672. Því byggjast flestar greinar á umfjöllun fárra tilfella.5 Í kringum 66% lendarkviðslita koma fram hjá körlum og eru flest þeirra áunnin, eða um 80%, en önnur eru meðfædd.3,4 Sömu áhættuþættir eru fyrir því að mynda lendarkviðslit eins og önnur kviðslit. Þessir þættir eru meðal annars aukinn þrýstingur í kviðarholi, reykingar, hækkandi aldur, vöðva- og bandvefssjúkdómar og mikið þyngdartap. Þá spilar líkamsbygging og stærð á þríhyrningum einnig hlutverk í áhættu á myndun lendarkviðslits.5,6
Algengasta birtingarmynd lendarkviðslits er mjúk fyrirferð sem stækkar við aukinn þrýsting í kviðarholi. Einnig er algengt að sjúklingar kvarti undan verkjum eða óþægindum í mjóbaki. Í um 30% tilvika gengur innihald kviðslitsins ekki til baka inn í kviðarholið og er þá talað um að kviðslitið sé innklemmt (incarceration). Oftast er um að ræða fituvef sem er innklemmdur en einnig er þekkt að hluti garnar eða þvagvega gangi út í kviðslitið, sem getur leitt til garnastíflu, þvagteppu, blóðmigu eða verkja sem líkjast nýrnasteinaverkjum.1,5
Greining lendarkviðslita getur verið krefjandi þar sem einkenni eru oft óljós og benda frekar til annarra mismunagreininga. Helstu mismunagreiningar eru fituæxli, sarkmein, fyrirferð í nýra, ígerð og margúll.1,5 Mælt er með tölvusneiðmynd af kviðarholi ef grunur vaknar um Petit-kviðslit hvort heldur sem er til greiningar eða útilokunar á öðrum greiningum. Einnig gagnast tölvusneiðmynd til undirbúnings fyrir skurðaðgerð.6,7
Eins og við aðrar tegundir kviðslita þá er náttúrulegur gangur lendarkviðslita sá að þau stækka með tímanum og verða meira einkennagefandi. Ef merki eru um innklemmt lendarkviðslit eða blóðflæðisskerðingu þá er mælt með bráðaaðgerð. Annars eru flestir sammála því að gerð sé viðgerð á kviðslitinu í valaðgerð nema frábending fyrir aðgerð sé til staðar.1,5,8
Viðgerð á lendarkviðsliti er hægt að framkvæma opið eða í kviðsjá.3,9 Mikið hefur verið notast við þekkingu og reynslu á meðferð annarra algengra tegunda kviðslita við meðferð lendarkviðslita.1,5 Viðgerð með neti (t.d. polypropylene) er sú skurðaðgerð sem flestir skurðlæknar hafa tileinkað sér, ýmist með kviðsjártækni eða í opinni aðgerð. Það er vel þekkt að endurkomutíðni kviðslita er lægri þegar notað er net. Aðgerðir þar sem ekki er sett net, eins og flipaviðgerðir eða viðgerð einvörðungu með saumum, hafa ekki sýnt ásættanlegan árangur og því eru þær sjaldan framkvæmdar.3,9
Kostir kviðsjáraðgerðar umfram opna aðgerð eru minni verkir og minni verkjalyfjanotkun, styttri sjúkrahúslega og sjúklingar eru fljótari að komast í fyrra líkamlegt horf. Almennt er mælt með kviðsjáraðgerð þegar kviðslit eru undir 5 cm að stærð. Hjá einstaklingum með kviðslit sem eru stærri en 5 cm þarf bæði að meta einstaklinginn og áhættuþætti hans með tilliti til þess hvort framkvæma eigi opna aðgerð eða kviðsjáraðgerð. Mælt er með að íhuga opna aðgerð fyrir stærri kviðslit sem tengd eru sögu um áverka, dreifð kviðslit eða þegar um er að ræða endurkomu á kviðsliti eftir kviðsjáraðgerð.1,5,8 Í tilfellinu var um að ræða kviðslit minna en 5 cm og því ákveðið að gera við það með neti í kviðsjá í samræmi við það sem mælt er með.
Sjúklingurinn hafði sögu um meðgöngur sem áhættuþátt fyrir myndun á kviðsliti. Þá hafði hún einnig sögu um skurðaðgerðir vegna nárakviðslita beggja vegna auk þess að naflakviðslit uppgötvaðist í aðgerðinni. Í ljósi þess má velta því fyrir sér hvort hún sé með óþekktan bandvefssjúkdóm en engar rannsóknir hafa verið gerðar hjá henni til að skoða þann möguleika. Þá er einnig áhugavert að blæðingin sem sjúklingurinn hlaut í aftanskinu eftir meðgöngu reyndist vera sömu megin og lendarkviðslitið. Því er hugsanlegt að þrýstingur frá blæðingunni hafi veikt bakhluta kviðveggjarins og þannig stuðlað að kviðslitinu.
Heimildir
| 1. van Steensel S, Bloemen A, van den Hil LCL, et al. Pitfalls and clinical recommendations for the primary lumbar hernia based on a systematic review of the literature. Hernia 2019; 23: 107-117. https://doi.org/10.1007/s10029-018-1834-9 PMid:30315438 PMCid:PMC6394702 | ||||
| 2. Loukas M, Tubbs RS, El-Sedfy A, et al. The clinical anatomy of the triangle of Petit. Hernia 2007; 11: 441-444. https://doi.org/10.1007/s10029-007-0232-5 PMid:17492342 | ||||
| 3. Heemskerk J, Leijtens JWA, van Steensel S. Primary lumbar hernia, review and proposal for standardized treatment. J Abdom Wall surg. 2023; 2: 11754 https://doi.org/10.3389/jaws.2023.11754 PMid:38312404 PMCid:PMC10831689 | ||||
| 4. Stamatiou D, Skandalakis JE, Skandalakis LJ, et al. Lumbar hernia: surgical anatomy, embryology, and technique of repair. Am Surg. 2009; 75: 202-207. https://doi.org/10.1177/000313480907500303 PMid:19350853 | ||||
| 5. Moreno-Egea A, Baena EG, Calle MC, et al. Controversies in the current management of lumbar hernias. Arch Surgery. 2007; 142: 82-88. https://doi.org/10.1001/archsurg.142.1.82 PMid:17224505 | ||||
| 6. Suarez S, Hernandez JD. Laparoscopic repair of a lumbar hernia: report of a case and extensive review of the literature. Surg Endosc. 2013; 27: 3421-3429. https://doi.org/10.1007/s00464-013-2884-9 PMid:23636518 | ||||
| 7. Baker ME, Weinerth JL, Andriani RT, et al. Lumbar hernia: diagnosis by CT. AJR Am J Roentgenol. 1987; 148: 565-567. https://doi.org/10.2214/ajr.148.3.565 PMid:3492886 | ||||
| 8. Moreno-Egea A, Alcaraz AC, Cuervo MC. Surgical options in lumbar hernia: laparoscopic versus open repair. A long-term prospective study. Surg Innov. 2013; 20: 331-344. https://doi.org/10.1177/1553350612458726 PMid:22956401 PMCid:PMC6722153 | ||||
| 9. Arca MJ, Heniford BT, Pokorny R, et al. Laparoscopic repair of lumbar hernias. J Am Coll Surg. 1998; 187: 147-152. https://doi.org/10.1016/S1072-7515(98)00124-0 PMid:9704960 | ||||

